Suppr超能文献

外眦部软组织起源的软骨母细胞瘤样软骨瘤:一例报告

Chondroblastoma-Like Chondroma of Soft Tissue Arising at the Outer Canthus: A Case Report.

作者信息

Rašić Dejan M, Vasović Dolika D, Sopta Jelena

机构信息

Eye Hospital University Clinical Centre of Serbia, Belgrade, Serbia.

Faculty of Medicine, University of Belgrade, Belgrade, Serbia.

出版信息

Case Rep Ophthalmol Med. 2025 Jul 16;2025:2036386. doi: 10.1155/crop/2036386. eCollection 2025.

Abstract

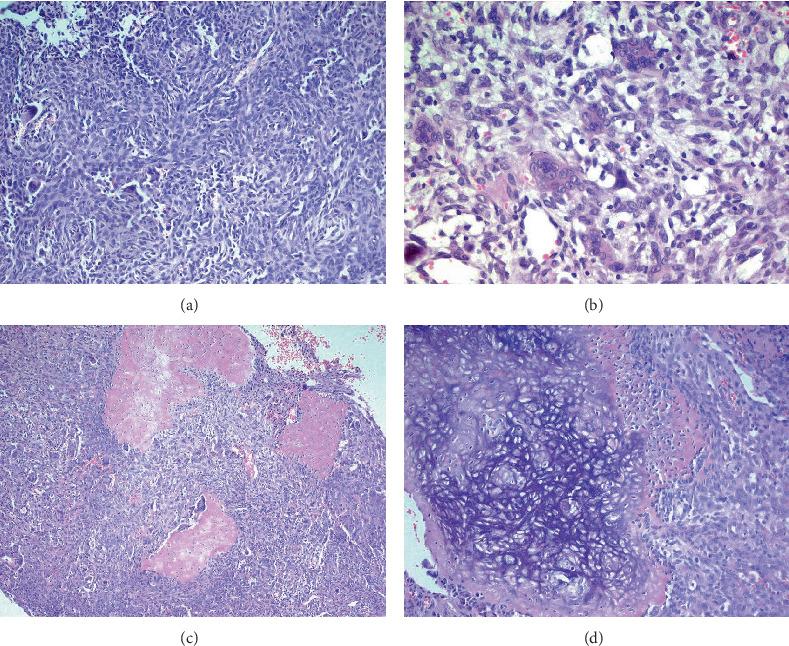
Chondroblastoma-like chondroma is a rare variant of soft tissue chondroma that can mimic bone-origin chondroblastoma histologically. Its occurrence in the periocular region is extremely rare. We report a 31-year-old woman with a painless, slowly enlarging nodule at the right outer canthus. Histopathological evaluation revealed a dermal tumor composed of polygonal mononuclear cells, multinucleated giant cells, and chondroid matrix with "chicken-wire" calcifications. Immunohistochemistry supported a diagnosis of chondroblastoma-like chondroma. This case highlights the diagnostic complexity of periocular soft tissue chondromas and underscores the critical role of histopathology in achieving accurate diagnosis and informing treatment decisions.

摘要

软骨母细胞瘤样软骨瘤是软组织软骨瘤的一种罕见变体,在组织学上可模仿骨源性软骨母细胞瘤。其发生于眼周区域极为罕见。我们报告一名31岁女性,在右外眦有一个无痛、缓慢增大的结节。组织病理学评估显示真皮肿瘤由多边形单核细胞、多核巨细胞和具有“筛状”钙化的软骨样基质组成。免疫组织化学支持软骨母细胞瘤样软骨瘤的诊断。该病例突出了眼周软组织软骨瘤的诊断复杂性,并强调了组织病理学在实现准确诊断和指导治疗决策中的关键作用。

https://cdn.ncbi.nlm.nih.gov/pmc/blobs/bb61/12286695/22fbe8051f9a/CRIOPM2025-2036386.001.jpg

文献AI研究员

20分钟写一篇综述,助力文献阅读效率提升50倍。

立即体验

用中文搜PubMed

大模型驱动的PubMed中文搜索引擎

马上搜索

文档翻译

学术文献翻译模型,支持多种主流文档格式。

立即体验