Suppr超能文献

葡萄牙首例儿童经口内镜下肌切开术报告病例。

The First Reported Case of Peroral Endoscopic Myotomy in a Child in Portugal.

作者信息

Rodrigues Inês Coelho, Rodrigues Luís, Lopes Ana I, Correia Luís, Moura Miguel

机构信息

Serviço de Gastrenterologia e Hepatologia, Hospital de Santa Maria, ULS Santa Maria, Lisboa, Portugal.

Faculdade de Medicina, Clínica Universitária de Gastrenterologia e Hepatologia, Universidade de Lisboa, Lisboa, Portugal.

出版信息

GE Port J Gastroenterol. 2024 Nov 22;32(4):281-287. doi: 10.1159/000542776. eCollection 2025 Jul.

Abstract

INTRODUCTION

Achalasia is a rare disorder, with few cases occurring during childhood. It is also part of the Allgrove syndrome phenotype and a clinical feature that has a major impact on children's development. Timely diagnosis and effective treatment of symptoms are essential. The novel peroral endoscopic myotomy (POEM) may represent an effective alternative in children.

CASE PRESENTATION

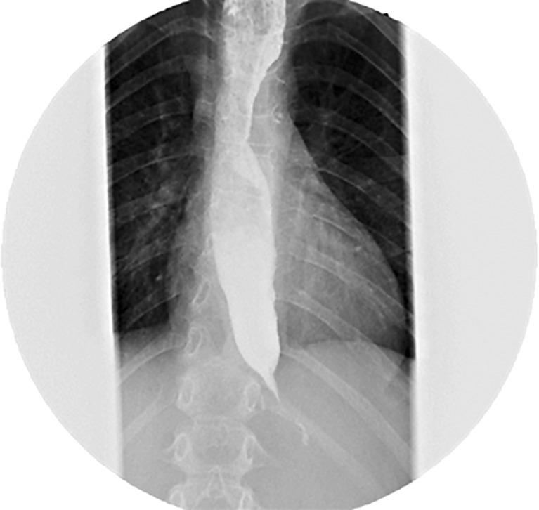
We present the case of a female child born in 2013, without relevant family history or perinatal events. At 6 years old, she presented with seizures related to recurrent hypoglycemia episodes, and adrenal insufficiency was diagnosed. Two years later, the patient was referred to our institution due to regurgitation and vomiting, causing failure to thrive. After an upper endoscopy with no significant findings, high-resolution manometry revealed type II achalasia. Alacrima was also part of the clinical picture, and Allgrove syndrome was genetically confirmed. Due to significant symptoms, an endoscopic pneumatic dilation was performed, with transient relief of symptoms. After a second pneumatic dilation and several hospitalizations due to achalasia complications, a POEM was considered. She underwent POEM in March 2024, without adverse events and excellent short-term outcomes.

DISCUSSION

Although there is limited literature on POEM in children, the results demonstrate an encouraging success rate, compared to pneumatic dilation and laparoscopic Heller's myotomy. We present the first reported case of POEM performed in a child in Portugal. The long-term efficacy of this promising minimally invasive procedure should be assessed in the pediatric population.

摘要

引言

贲门失弛缓症是一种罕见疾病,儿童期发病病例较少。它也是奥尔格罗夫综合征表型的一部分,是对儿童发育有重大影响的临床特征。及时诊断和有效治疗症状至关重要。新型经口内镜下肌切开术(POEM)可能是儿童的一种有效替代治疗方法。

病例介绍

我们报告一例2013年出生的女童病例,无相关家族史或围产期事件。6岁时,她因反复低血糖发作出现癫痫发作,被诊断为肾上腺功能不全。两年后,患者因反流和呕吐导致发育不良转诊至我院。上消化道内镜检查未发现明显异常,高分辨率测压显示为Ⅱ型贲门失弛缓症。无泪也是临床表现之一,经基因检测确诊为奥尔格罗夫综合征。由于症状严重,进行了内镜下气囊扩张术,症状得到短暂缓解。在第二次气囊扩张术及因贲门失弛缓症并发症多次住院后,考虑进行POEM。她于2024年3月接受了POEM手术,无不良事件发生,短期效果良好。

讨论

尽管关于儿童POEM的文献有限,但结果显示与气囊扩张术和腹腔镜下赫勒肌切开术相比,成功率令人鼓舞。我们报告了葡萄牙首例儿童POEM手术病例。这种有前景的微创手术的长期疗效应在儿科人群中进行评估。

https://cdn.ncbi.nlm.nih.gov/pmc/blobs/1d42/12296213/148c9dba46c8/pjg-2025-0032-0004-542776_F01.jpg

文献AI研究员

20分钟写一篇综述,助力文献阅读效率提升50倍。

立即体验

用中文搜PubMed

大模型驱动的PubMed中文搜索引擎

马上搜索

文档翻译

学术文献翻译模型,支持多种主流文档格式。

立即体验