Suppr超能文献

与切尔诺贝利辐射暴露相关的脑肿瘤:病例研究与历史视角。实例分析。

Brain tumors linked to Chernobyl radiation exposure: a case study and historical perspective. Illustrative cases.

作者信息

Suffren Brianna, Croft Zoey, Singha Souvik, Ferreira Marcio Yuri, Mittelman Laura, Lakhina Iuliia, Eshkol Omer, Duehr James, Sulaimanova Aruuke, Asiry Saeed, Knopman Jared, Boockvar John A

机构信息

Department of Neurosurgery, Lenox Hill Hospital, Donald and Barbara Zucker School of Medicine at Hofstra/Northwell, New York, New York.

Neuroendovascular Intervention Program, University of Maryland Medical Center, Baltimore, Maryland.

出版信息

J Neurosurg Case Lessons. 2025 Sep 1;10(9). doi: 10.3171/CASE25272.

Abstract

BACKGROUND

Brain tumors associated with the 1986 Chernobyl nuclear explosion are rarely reported compared with thyroid malignancies. Studies have drawn a strong correlation between CNS tumor development and ionizing radiation, especially given age and level of exposure. However, extensive latency periods prompt misrepresentation and difficult diagnosis. Herein, the authors report 2 brain tumor cases in a family with proximity to Chernobyl and a simultaneous exposure period. They explore the potential linkage to brain tumor formation and excessive radiation released.

OBSERVATIONS

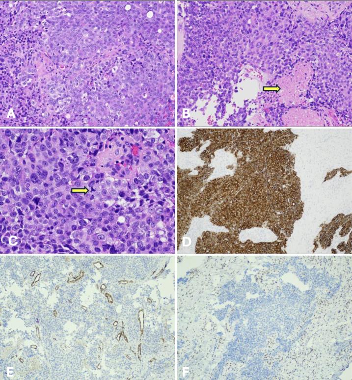
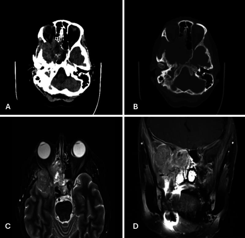
Decades after exposure each patient developed distinct brain tumors, a WHO grade I meningioma and a SMARCB1-deficient sinonasal carcinoma. Following craniotomies for resection and adjuvant therapy, only 1 patient's tumor progressed. Literature revealed radiation exposure analogous for these tumor's etiologies and identified various Chernobyl exposure groups parallel to these patients like cleanup workers, evacuees, and residents of highly contaminated areas and their descendants.

LESSONS

Brain tumors linked to Chernobyl radiation exposure may represent a rare but clinically significant long-term complication, manifesting years afterward. Further research into these tumors' mechanisms is essential given the millions exposed. This report provides insights that identifies index cases, emphasizes needs for investigation, and raises caution to mitigate risk. https://thejns.org/doi/10.3171/CASE25272.

摘要

背景

与1986年切尔诺贝利核爆炸相关的脑肿瘤与甲状腺恶性肿瘤相比报道较少。研究表明中枢神经系统肿瘤的发生与电离辐射之间存在密切关联,尤其是考虑到年龄和暴露水平。然而,较长的潜伏期导致误诊和诊断困难。在此,作者报告了一个与切尔诺贝利邻近且有同时暴露期的家庭中的2例脑肿瘤病例。他们探讨了与脑肿瘤形成和过量辐射释放的潜在联系。

观察结果

暴露数十年后,每位患者都患上了不同的脑肿瘤,一例是世界卫生组织一级脑膜瘤,另一例是SMARCB1缺陷型鼻窦癌。在进行开颅手术切除和辅助治疗后,只有1例患者的肿瘤进展。文献显示这些肿瘤病因的辐射暴露情况类似,并确定了与这些患者类似的切尔诺贝利暴露群体,如清理工人、撤离人员、高污染地区居民及其后代。

经验教训

与切尔诺贝利辐射暴露相关的脑肿瘤可能是一种罕见但具有临床意义的长期并发症,多年后才会显现。鉴于数百万人受到辐射暴露,对这些肿瘤的发病机制进行进一步研究至关重要。本报告提供了见解,确定了索引病例,强调了调查需求,并提高了对降低风险的警惕。https://thejns.org/doi/10.3171/CASE25272

https://cdn.ncbi.nlm.nih.gov/pmc/blobs/3344/12400840/d8dd07ed5ef9/CASE25272_figure_1.jpg

文献AI研究员

20分钟写一篇综述,助力文献阅读效率提升50倍。

立即体验

用中文搜PubMed

大模型驱动的PubMed中文搜索引擎

马上搜索

文档翻译

学术文献翻译模型,支持多种主流文档格式。

立即体验