Suppr超能文献

Ilimaquinone-induced lipophagy diminishes lipid accumulation via AMPK activation.

作者信息

Yang Eun-Sun, Cheon Se-Yun, Park Ji Yeong, Park Yeseul, Park Wonyoung, Meshram Snehal Chandrakant, Jo Yunju, Bae Sung-Jin, Ryu Dongryeol, Kim Taekyung, Ha Ki-Tae

机构信息

Research Institute for Korean Medicine, Pusan National University, Yangsan 50612, Korea.

Department of Biology Education, Pusan National University, Pusan 46241, Korea.

出版信息

BMB Rep. 2025 Sep;58(9):415-423. doi: 10.5483/BMBRep.2025-0042.

Abstract

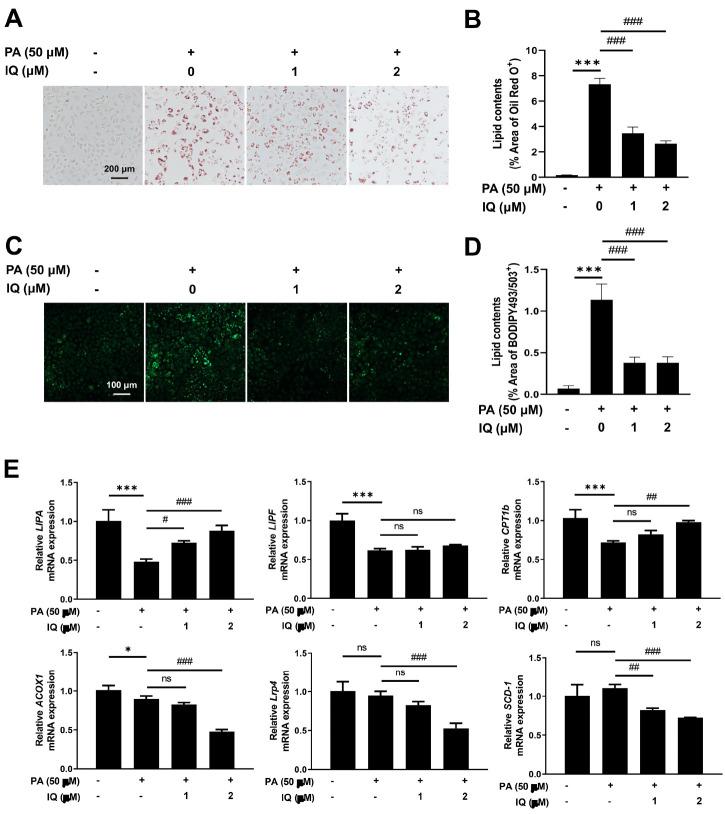
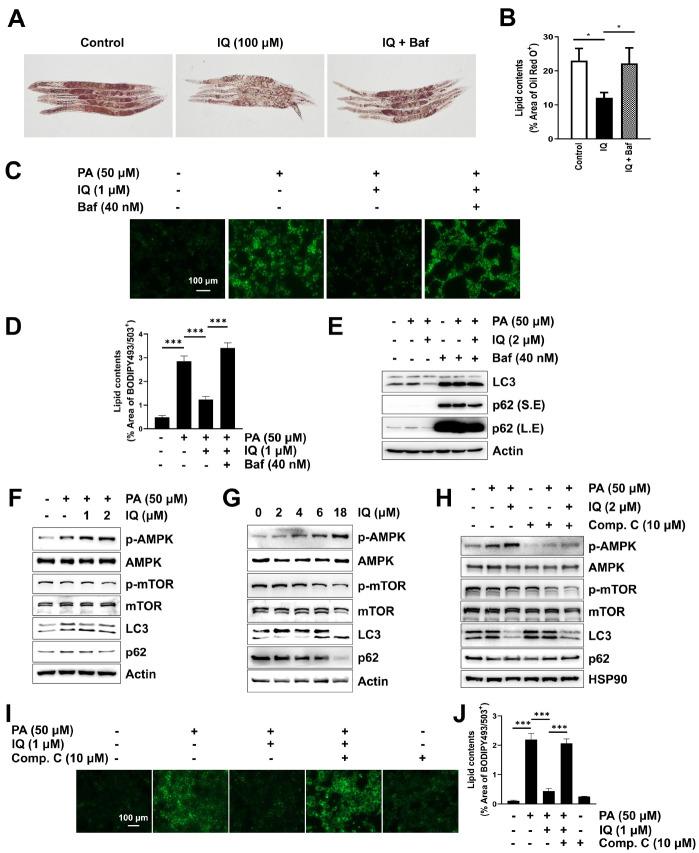
Lipid metabolism plays an important role in aging and longevity, and lipophagy-a specialized form of autophagy that targets lipid vesicles-regulates lipid homeostasis and alleviates metabolic diseases such as metabolic dysfunctionassociated steatotic liver disease (MASLD). Ilimaquinone (IQ), a sesquiterpene extracted from the sea, is well-known for its various biological effects; however, its effects on lipid metabolism and longevity have not yet been elucidated. In this study, IQ acted in a dose-dependent manner, extending the lifespan of Caenorhabditis elegans (C. elegans) by up to 50%, causing transcriptional changes in 1,878 genes related to fatty acid degradation and longevity pathways. Additionally, IQ reduced lipid accumulation in C. elegans and mouse AML12 cells, as confirmed by Oil Red O staining. RNA sequencing and quantitative reverse transcription polymerase chain reaction validation showed that the expression of key lipid metabolism genes, such as lipl-4 in worms and Lipa in mammalian cells, increased with IQ treatment. Lipophagy has been identified as the key mechanism underlying the lipid-lowering effects of IQ. The inhibition of autophagy by Bafilomycin A1 reversed the reduction in lipid accumulation in both C. elegans and AML12 cells, indicating the involvement of autophagic flux. Western blot analysis demonstrated that IQ activates AMPK, a key regulator of autophagy and lipid metabolism, and inhibits mTOR. IQ increased the turnover of LC3-II and decreased p62 levels, confirming autophagosome formations and increased lysosomal degradation. These findings suggest that IQ promotes autophagy, alleviates lipid accumulation, and has a therapeutic potential for metabolic diseases. In addition, AMPK activation and mTOR inhibition pathways may have contributed to the extension of C. elegans lifespan. Future studies should investigate the potential of IQ in lipid metabolism regulation and lifespan extension. [BMB Reports 2025; 58(9): 415-423].

摘要
https://cdn.ncbi.nlm.nih.gov/pmc/blobs/a57f/12481285/513b58d54631/bmb-58-9-415-f1.jpg

文献AI研究员

20分钟写一篇综述,助力文献阅读效率提升50倍。

立即体验

用中文搜PubMed

大模型驱动的PubMed中文搜索引擎

马上搜索

文档翻译

学术文献翻译模型,支持多种主流文档格式。

立即体验