Suppr超能文献

伴有或不伴有颈部病变的牙龈退缩的临床管理:一项决策方案建议

Clinical Management of Gingival Recessions with or Without Cervical Lesions: A Decisional Scheme Proposal.

作者信息

Coccoluto Luca, Speroni Stefano, Rotundo Roberto

机构信息

Vita-Salute San Raffaele University, IRCCS San Raffaele, 20132 Milan, Italy.

出版信息

J Clin Med. 2025 Aug 29;14(17):6134. doi: 10.3390/jcm14176134.

Abstract

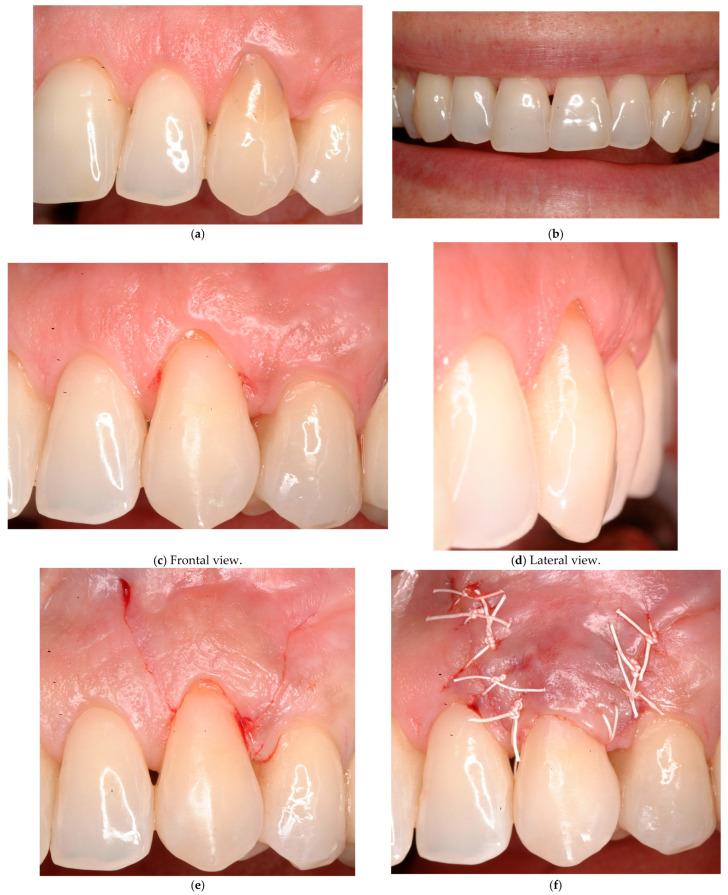
: Treatment of gingival recessions starts from an accurate diagnosis considering both periodontal tissue status and adjacent exposed dental tissues. Based on current scientific evidence and the authors' clinical experience, a decisional scheme has been proposed for the management of gingival recession defects, with or without non-carious cervical lesions, taking into account gingival thickness and interproximal attachment levels. To illustrate its practical application, a series of representative clinical cases is presented, documenting the rationale and outcomes of the therapeutic decisions. : According to the 2017 World Workshop Classification of Periodontal and Peri-Implant Diseases and Conditions, the gingival recession defect classifications have been used to build up a decision-making therapeutic process. Combined periodontal and restorative treatments in presence or absence of dental lesions have been performed. : In case of an identifiable cemento-enamel junction (CEJ) with or without non-carious cervical lesions (class A+ and class A-, respectively) and absence of interproximal attachment loss (RT1), flap approaches alone or in combination with connective tissue graft (CTG) were suggested. In case of an unidentifiable CEJ without cervical lesion (class B-), flap approaches alone were proposed in presence of adequate residual keratinized tissue (KT) and absence of interproximal attachment loss (RT1); if KT is extremely reduced, flap approaches + CTG may be performed. If the unidentifiable CEJ is associated with cervical lesions involving both root and crown surfaces (class B+), the combined restorative-periodontal treatment results as the most indicated approach. The adjunctive use of CTG should be also considered in presence of interproximal attachment loss (RT2 and RT3) and reduced gingival thickness (<1 mm). : The proposed decisional scheme could be useful to address the clinicians during the decision-making process in the treatment of gingival recessions.

摘要

牙龈退缩的治疗始于准确诊断,需同时考虑牙周组织状况和相邻暴露的牙体组织。基于当前的科学证据和作者的临床经验,针对有无非龋性颈部病变的牙龈退缩缺损管理,提出了一种决策方案,其中考虑了牙龈厚度和邻面附着水平。为说明其实际应用,呈现了一系列具有代表性的临床病例,记录了治疗决策的依据和结果。根据2017年世界牙周病与种植周疾病及状况研讨会分类,牙龈退缩缺损分类已被用于构建治疗决策过程。针对有无牙体病变进行了联合牙周和修复治疗。对于可识别的牙骨质-釉质界(CEJ),无论有无非龋性颈部病变(分别为A+类和A-类)且无邻面附着丧失(RT1),建议单独采用瓣手术或联合结缔组织移植(CTG)。对于无法识别的CEJ且无颈部病变(B-类),在有足够的残余角化组织(KT)且无邻面附着丧失(RT1)的情况下,建议单独采用瓣手术;如果KT极度减少,可进行瓣手术+CTG。如果无法识别的CEJ与累及牙根和冠面的颈部病变相关(B+类),联合修复-牙周治疗是最适用的方法。在存在邻面附着丧失(RT2和RT3)且牙龈厚度减小(<1mm)的情况下,也应考虑辅助使用CTG。所提出的决策方案在牙龈退缩治疗的决策过程中可能对临床医生有所帮助。

https://cdn.ncbi.nlm.nih.gov/pmc/blobs/525f/12429785/6e475b9349a7/jcm-14-06134-g001.jpg

文献AI研究员

20分钟写一篇综述,助力文献阅读效率提升50倍。

立即体验

用中文搜PubMed

大模型驱动的PubMed中文搜索引擎

马上搜索

文档翻译

学术文献翻译模型,支持多种主流文档格式。

立即体验