Zhang Honghua, Chen Wendong, Li Xiuxian, Song Zhixiao, Liu Yang, Liu Shaoru, Su Zhiyang, Wu Wenrui, Chen Huiying, Qin Chao, Lin Shusheng, Zhang Fapeng, Lu Xinjun, Tang Qibin, Yu Xianhuan, Xu Leibo, Liu Chao
Department of Biliary-Pancreatic Surgery, Sun Yat-sen Memorial Hospital, Sun Yat-sen University, Guangzhou, China.
Guangzhou Key Laboratory of Precise Diagnosis and Treatment of Biliary Tract Cancer, Sun Yat-sen Memorial Hospital, Sun Yat-sen University, Guangzhou, China.
JHEP Rep. 2025 Jul 10;7(10):101514. doi: 10.1016/j.jhepr.2025.101514. eCollection 2025 Oct.
BACKGROUND & AIMS: Tumor necrosis is a pathological feature of solid tumors that is associated with poor prognosis and aggressive characteristics. However, its prognostic significance and underlying mechanisms in perihilar cholangiocarcinoma (pCCA) remain unclear. This study aimed to investigate the prognostic impact, clinic-pathological relevance, molecular regulation, and microenvironment alterations associated with tumor necrosis in pCCA.
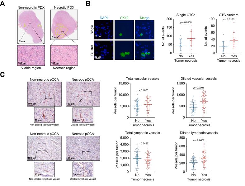
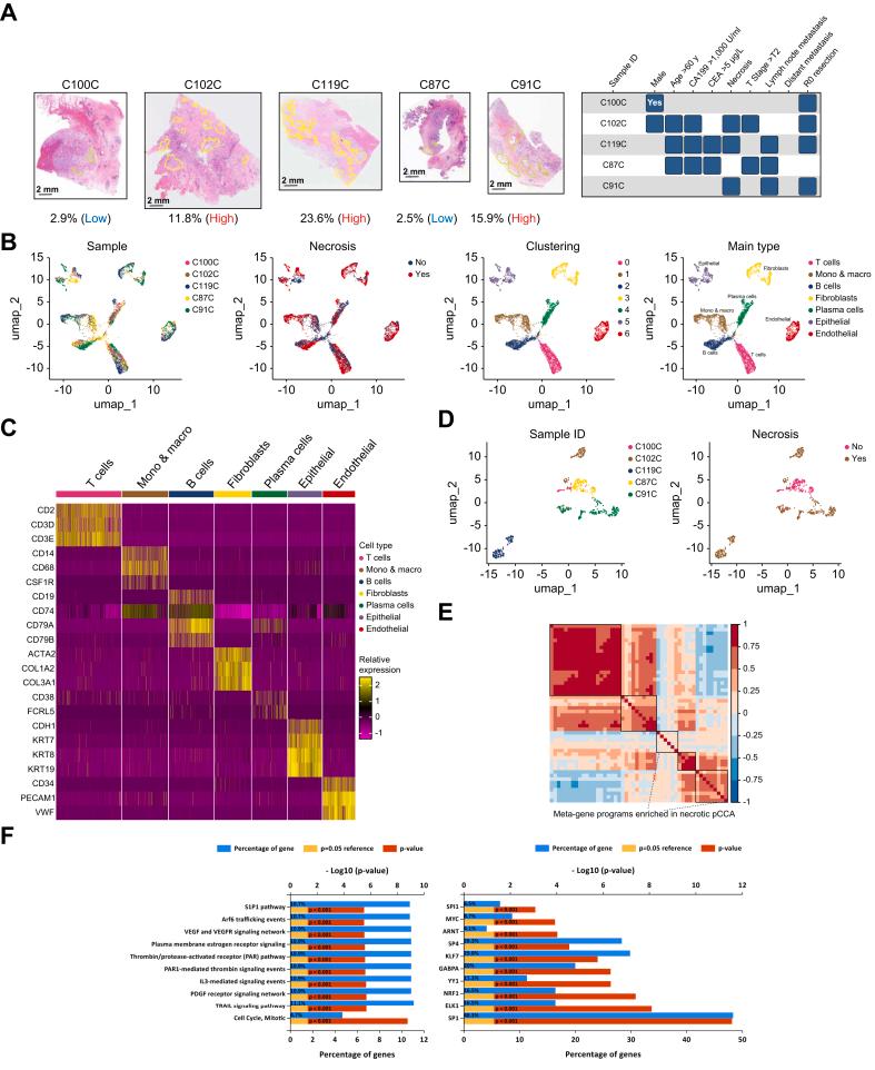
We recruited 306 eligible patients with pCCA to assess the prognostic impact and clinic-pathological relevance of pathological tumor necrosis. Laser capture microdissection coupled with high-resolution mass spectrometry was used to identify the molecular changes in pCCA cells within peri-necrotic regions. Single-cell RNA sequencing was performed to elucidate the microenvironment alterations associated with tumor necrosis.
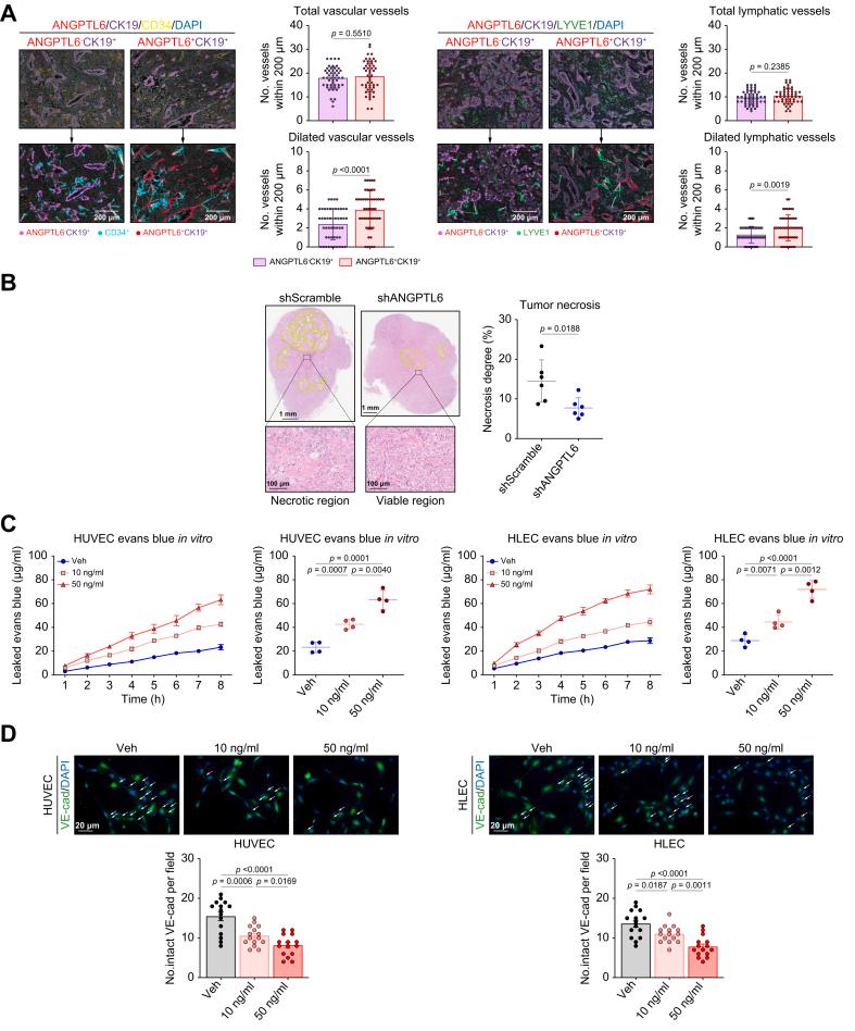
Tumor necrosis was present in 52.9% (162/306) of patients with pCCA and was identified as an independent risk factor associated with adverse prognosis (hazard ratio 1.42, 95% CI 1.02-1.97, = 0.039), tumor dissemination, cancer embolus, and aggressive progression. Spatial proteomics identified angiopoietin-like 6 (ANGPTL6) as a tumor-specific protein enriched in pCCA cells in peri-necrotic regions. and studies demonstrated that ANGPTL6 promoted pCCA progression by increasing vessel permeability, leading to tumor dissemination, increased metastatic burden, and poorer prognosis. Furthermore, pathological tumor necrosis was found to be associated with an immunosuppressive microenvironment in pCCA tumors.
Pathological tumor necrosis leads to augmented vessel permeability and tumor dissemination in pCCA. ANGPTL6 is a potential target for mitigating the metastatic burden in pCCA.
Pathological tumor necrosis has been identified as an independent risk factor in perihilar cholangiocarcinoma (pCCA), showing positive correlation with metastatic burden. Spatial proteomics and / experiments elucidated the detrimental effects of angiopoietin-like 6 (ANGPTL6) in necrotic tumors through augmenting vessel permeability for tumor dissemination. A transition toward an immunosuppressive microenvironment was revealed in pCCA tumors with pathological tumor necrosis. Our findings provide a rationale for mitigating the metastatic burden in pCCA.