Thomas J M, Redding W H, Sloane J P
Br J Cancer. 1979 Oct;40(4):540-7. doi: 10.1038/bjc.1979.219.
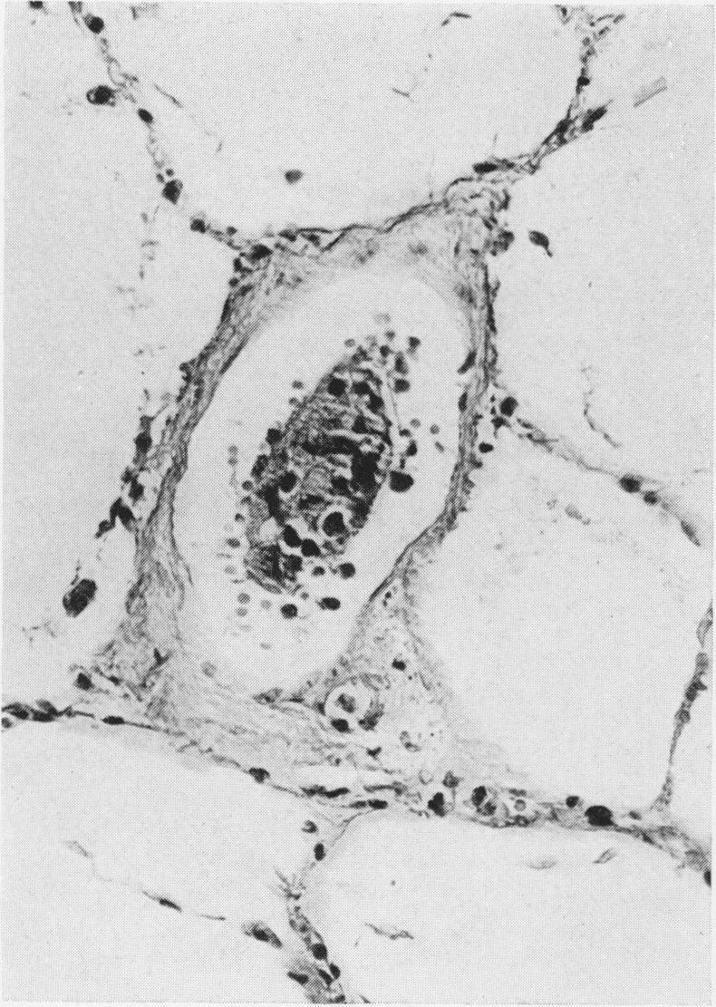
Detailed necropsies were performed on 26 individuals who had died of disseminated breast carcinoma, to assess the frequency of spread to the lungs, pleura and pericardium, and to determine the likely routes of spread to these sites. Tumour was present in the lung parenchyma in 67% of the lungs examined, in the visceral pleura in 75% and the parietal pleura in 50%. Although even small deposits of pleural tumour were invariably visible to naked-eye examination, lung parenchymal involvement was almost invariably microscopic, despite its frequently extensive distribution. This finding draws attention to the difficulties of clinical staging with respect to lung metastases. Tumour in lymphatics predominated over that in blood vessels in both lung and pleura and this, together with the widespread mediastinal lymphnode infiltration found, suggests that the lymphatic system forms the dominant route of spread of breast carcinoma to the thorax. The possible role of mediastinal lymphatics in the dissemination of breast cancer to bone and liver is also discussed. Our findings suggests that the fields of adjuvant irradiation after primary surgery should include the mediastinal lymphatic network.