• 文献检索
  • 文档翻译
  • 深度研究
  • 学术资讯
  • Suppr Zotero 插件Zotero 插件
  • 邀请有礼
  • 套餐&价格
  • 历史记录
应用&插件
Suppr Zotero 插件Zotero 插件浏览器插件Mac 客户端Windows 客户端微信小程序
定价
高级版会员购买积分包购买API积分包
服务
文献检索文档翻译深度研究API 文档MCP 服务
关于我们
关于 Suppr公司介绍联系我们用户协议隐私条款
关注我们

Suppr 超能文献

核心技术专利:CN118964589B侵权必究
粤ICP备2023148730 号-1Suppr @ 2026

文献检索

告别复杂PubMed语法,用中文像聊天一样搜索,搜遍4000万医学文献。AI智能推荐,让科研检索更轻松。

立即免费搜索

文件翻译

保留排版,准确专业,支持PDF/Word/PPT等文件格式,支持 12+语言互译。

免费翻译文档

深度研究

AI帮你快速写综述,25分钟生成高质量综述,智能提取关键信息,辅助科研写作。

立即免费体验

合成孕激素 - 雌激素制剂与子宫内膜形态

Synthetic progestagen-oestrogen preparations and endometrial morphology.

作者信息

Ober W B

出版信息

J Clin Pathol. 1966 Mar;19(2):138-47. doi: 10.1136/jcp.19.2.138.

DOI:10.1136/jcp.19.2.138
PMID:5909695
原文链接:https://pmc.ncbi.nlm.nih.gov/articles/PMC473209/
Abstract

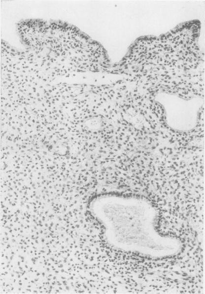
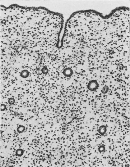
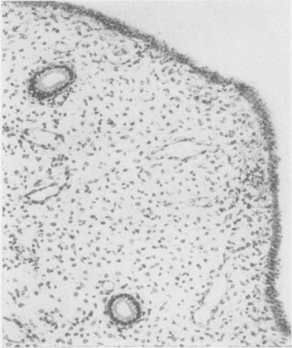
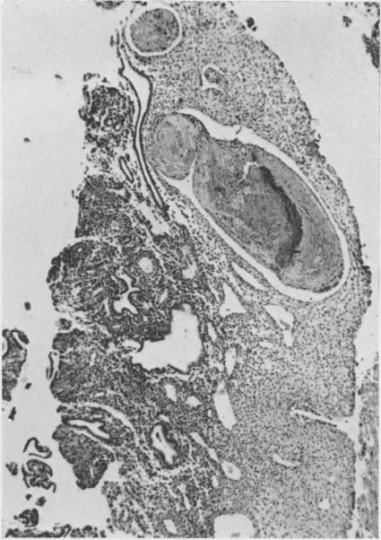
19-nor steroids in high and medium dosage in continuous or cyclic combined regimens with oestrogen produce an endometrium characterized by hyperinvoluted glands, a prominent predecidual reaction, suppressed arterioles, and dilated venules. When daily dosage is decreased to 2.0 mg. or less, the endometrium is composed of hyperinvoluted glands in an inert stroma; predecidual reactions are weak and infrequent; venules are rarely dilated, but spiral arterioles are suppressed.17-alpha-Acetoxyprogesterone derivatives in high and medium dosage given in a cyclic combined regimen with oestrogen produce similar but less intense effects to the 19-nor steroids. When given in cyclic sequential regimen, they produce an early secretory endometrium closely resembling normal patterns, chronologically retarded by about five days; in some instances a regressing, undatable secretory pattern is found, but predecidual response is minimal, and dilated venules are not seen.19-nor steroids in medium dosage given for 20 days without added oestrogen produce a late secretory endometrium with unpredictable variation from patient to patient and even from site to site within the same endometrium. Inhibition of the development of spiral arterioles is a common denominator in all progestagenoestrogen regimens. Modification of this element within the target tissue may be decisive for the morphogenesis of later vascular and stromal changes. Using synthetic progestagen-oestrogen regimens, endometrial gland secretion appears only after progestagen, whether given ab initio concomitantly with oestrogen or begun after a phase of oestrogen priming. Secretory vacuoles become evident about four to five days after progestagen is administered. The role of progestagen in secretion is interpreted as an indirect effect whereas its role in the development of decidual-like changes is construed as direct.

摘要

19-去甲甾体类药物以高剂量和中等剂量与雌激素连续或周期性联合使用时,会使子宫内膜呈现出以下特征:腺体过度退化、明显的蜕膜前反应、小动脉受抑制以及小静脉扩张。当每日剂量降至2.0毫克或更低时,子宫内膜由处于惰性基质中的过度退化腺体组成;蜕膜前反应微弱且不常见;小静脉很少扩张,但螺旋小动脉受到抑制。17-α-乙酰氧基孕酮衍生物以高剂量和中等剂量与雌激素周期性联合使用时,会产生与19-去甲甾体类药物相似但程度较轻的效果。当以周期性序贯方案给药时,它们会产生一种早期分泌期子宫内膜,与正常模式非常相似,但时间上延迟约五天;在某些情况下,会发现一种退行性、无法确定日期的分泌模式,但蜕膜前反应极小,且未见小静脉扩张。19-去甲甾体类药物以中等剂量连续20天给药且不添加雌激素时,会产生晚期分泌期子宫内膜,不同患者之间甚至同一子宫内膜内不同部位之间都存在不可预测的差异。抑制螺旋小动脉的发育是所有孕激素-雌激素方案的共同特征。在靶组织内对这一要素的改变可能对后期血管和基质变化的形态发生起决定性作用。使用合成孕激素-雌激素方案时,无论孕激素是一开始就与雌激素同时给药,还是在雌激素预处理阶段之后开始给药,子宫内膜腺体分泌都只会在给予孕激素之后出现。在给予孕激素约四到五天后,分泌空泡变得明显。孕激素在分泌中的作用被解释为间接作用,而其在蜕膜样变化发展中的作用则被认为是直接作用。

https://cdn.ncbi.nlm.nih.gov/pmc/blobs/4cdd/473209/d7aade61c80b/jclinpath00361-0044-a.jpg
https://cdn.ncbi.nlm.nih.gov/pmc/blobs/4cdd/473209/c739fbf2309c/jclinpath00361-0038-a.jpg
https://cdn.ncbi.nlm.nih.gov/pmc/blobs/4cdd/473209/f306376e5405/jclinpath00361-0038-b.jpg
https://cdn.ncbi.nlm.nih.gov/pmc/blobs/4cdd/473209/3569720444b9/jclinpath00361-0038-c.jpg
https://cdn.ncbi.nlm.nih.gov/pmc/blobs/4cdd/473209/48b84f64d4f5/jclinpath00361-0038-d.jpg
https://cdn.ncbi.nlm.nih.gov/pmc/blobs/4cdd/473209/08dcfdb43ea2/jclinpath00361-0039-a.jpg
https://cdn.ncbi.nlm.nih.gov/pmc/blobs/4cdd/473209/c1b0aef9e7bd/jclinpath00361-0039-b.jpg
https://cdn.ncbi.nlm.nih.gov/pmc/blobs/4cdd/473209/67f149a095f7/jclinpath00361-0040-a.jpg
https://cdn.ncbi.nlm.nih.gov/pmc/blobs/4cdd/473209/586510ea1622/jclinpath00361-0040-b.jpg
https://cdn.ncbi.nlm.nih.gov/pmc/blobs/4cdd/473209/68f580290bb0/jclinpath00361-0040-c.jpg
https://cdn.ncbi.nlm.nih.gov/pmc/blobs/4cdd/473209/e8c97cc0233d/jclinpath00361-0041-a.jpg
https://cdn.ncbi.nlm.nih.gov/pmc/blobs/4cdd/473209/7531bcde8819/jclinpath00361-0041-b.jpg
https://cdn.ncbi.nlm.nih.gov/pmc/blobs/4cdd/473209/840fe446eec1/jclinpath00361-0042-a.jpg
https://cdn.ncbi.nlm.nih.gov/pmc/blobs/4cdd/473209/83d6f9526c31/jclinpath00361-0042-b.jpg
https://cdn.ncbi.nlm.nih.gov/pmc/blobs/4cdd/473209/778f44703c9c/jclinpath00361-0042-c.jpg
https://cdn.ncbi.nlm.nih.gov/pmc/blobs/4cdd/473209/d8304965fe98/jclinpath00361-0043-a.jpg
https://cdn.ncbi.nlm.nih.gov/pmc/blobs/4cdd/473209/584946f3beb3/jclinpath00361-0043-b.jpg
https://cdn.ncbi.nlm.nih.gov/pmc/blobs/4cdd/473209/0553e68450da/jclinpath00361-0043-c.jpg
https://cdn.ncbi.nlm.nih.gov/pmc/blobs/4cdd/473209/d7aade61c80b/jclinpath00361-0044-a.jpg
https://cdn.ncbi.nlm.nih.gov/pmc/blobs/4cdd/473209/c739fbf2309c/jclinpath00361-0038-a.jpg
https://cdn.ncbi.nlm.nih.gov/pmc/blobs/4cdd/473209/f306376e5405/jclinpath00361-0038-b.jpg
https://cdn.ncbi.nlm.nih.gov/pmc/blobs/4cdd/473209/3569720444b9/jclinpath00361-0038-c.jpg
https://cdn.ncbi.nlm.nih.gov/pmc/blobs/4cdd/473209/48b84f64d4f5/jclinpath00361-0038-d.jpg
https://cdn.ncbi.nlm.nih.gov/pmc/blobs/4cdd/473209/08dcfdb43ea2/jclinpath00361-0039-a.jpg
https://cdn.ncbi.nlm.nih.gov/pmc/blobs/4cdd/473209/c1b0aef9e7bd/jclinpath00361-0039-b.jpg
https://cdn.ncbi.nlm.nih.gov/pmc/blobs/4cdd/473209/67f149a095f7/jclinpath00361-0040-a.jpg
https://cdn.ncbi.nlm.nih.gov/pmc/blobs/4cdd/473209/586510ea1622/jclinpath00361-0040-b.jpg
https://cdn.ncbi.nlm.nih.gov/pmc/blobs/4cdd/473209/68f580290bb0/jclinpath00361-0040-c.jpg
https://cdn.ncbi.nlm.nih.gov/pmc/blobs/4cdd/473209/e8c97cc0233d/jclinpath00361-0041-a.jpg
https://cdn.ncbi.nlm.nih.gov/pmc/blobs/4cdd/473209/7531bcde8819/jclinpath00361-0041-b.jpg
https://cdn.ncbi.nlm.nih.gov/pmc/blobs/4cdd/473209/840fe446eec1/jclinpath00361-0042-a.jpg
https://cdn.ncbi.nlm.nih.gov/pmc/blobs/4cdd/473209/83d6f9526c31/jclinpath00361-0042-b.jpg
https://cdn.ncbi.nlm.nih.gov/pmc/blobs/4cdd/473209/778f44703c9c/jclinpath00361-0042-c.jpg
https://cdn.ncbi.nlm.nih.gov/pmc/blobs/4cdd/473209/d8304965fe98/jclinpath00361-0043-a.jpg
https://cdn.ncbi.nlm.nih.gov/pmc/blobs/4cdd/473209/584946f3beb3/jclinpath00361-0043-b.jpg
https://cdn.ncbi.nlm.nih.gov/pmc/blobs/4cdd/473209/0553e68450da/jclinpath00361-0043-c.jpg
https://cdn.ncbi.nlm.nih.gov/pmc/blobs/4cdd/473209/d7aade61c80b/jclinpath00361-0044-a.jpg

相似文献

1
Synthetic progestagen-oestrogen preparations and endometrial morphology.合成孕激素 - 雌激素制剂与子宫内膜形态
J Clin Pathol. 1966 Mar;19(2):138-47. doi: 10.1136/jcp.19.2.138.
2
Effects of hormone therapy on the endometrium.激素疗法对子宫内膜的影响。
Mod Pathol. 1993 Jan;6(1):94-106.
3
OPTIMUM DOSAGE FOR ESTROGEN-PROGESTOGEN BALANCE TO INHIBIT OVULATION.雌激素-孕激素平衡抑制排卵的最佳剂量
Int J Fertil. 1964 Jan-Mar;9:75-86.
4
Cyclic hormone therapy in climacteric and menopausal women in Iran. Report of 600 cases.伊朗更年期及绝经后女性的周期性激素治疗。600例报告。
Int Surg. 1971 Aug;56(2):78-81.
5
Morphometric, immunohistological and three-dimensional evaluation of the endometrium of menopausal women treated by oestrogen and Crinone, a new slow-release vaginal progesterone.
Hum Reprod. 1996 Feb;11(2):357-63. doi: 10.1093/humrep/11.2.357.
6
Risk of endometrial cancer in relation to use of oestrogen combined with cyclic progestagen therapy in postmenopausal women.绝经后女性使用雌激素联合周期性孕激素治疗与子宫内膜癌风险的关系。
Lancet. 1997 Feb 15;349(9050):458-61. doi: 10.1016/S0140-6736(96)07365-5.
7
Post natal oestrogen administration stimulates precocious endometrial gland development in the horse.产后雌激素给药可刺激马的子宫内膜腺过早发育。
Equine Vet J. 2009 Sep;41(7):678-84. doi: 10.2746/042516409x429428.
8
Endometriosis: treatment with hormonal pseudopregnancy and-or operation.子宫内膜异位症:激素假孕治疗和/或手术治疗。
Am J Obstet Gynecol. 1974 Mar 1;118(5):643-51. doi: 10.1016/s0002-9378(16)33739-5.
9
Dysfunctional menstrual disorders in adolescence.青春期功能失调性月经紊乱
Clin Obstet Gynecol. 1971 Dec;14(4):975-87. doi: 10.1097/00003081-197112000-00003.
10
Hormonal pathology of the endometrium.子宫内膜的激素病理学
Mod Pathol. 2000 Mar;13(3):285-94. doi: 10.1038/modpathol.3880050.

引用本文的文献

1
Synthetic progestogen-oestrogen therapy and uterine changes.合成孕激素 - 雌激素疗法与子宫变化
J Clin Pathol. 1967 Sep;20(5):731-8. doi: 10.1136/jcp.20.5.731.
2
Hormonal steroid contraceptives. I. Physiological and pharmacological considerations.激素甾体避孕药。I. 生理学和药理学考量。
Drugs. 1971;1(5):399-420. doi: 10.2165/00003495-197101050-00003.
3
[Histologic and radioautographic studies of the human endometrium under sequential oral contraceptive conditions (author's transl)].[序贯口服避孕药条件下人体子宫内膜的组织学和放射自显影研究(作者译)]

本文引用的文献

1
HISTOLOGY OF THE UTERUS AND OVARIES AFTER LONG-TERM CYCLIC NORETHYNODREL THERAPY.长期周期性炔诺酮治疗后子宫和卵巢的组织学变化
Am J Obstet Gynecol. 1964 Nov 15;90:715-25. doi: 10.1016/0002-9378(64)90933-0.
2
NEW ORAL CONTRACEPTIVE: SEQUENTIAL ESTROGEN AND PROGESTIN.新型口服避孕药:序贯雌激素和孕激素。
Am J Obstet Gynecol. 1964 Oct 1;90:404-11.
3
CLASSIFICATION OF ENDOMETRIAL RESPONSE TO SYNTHETIC PROGESTOGEN-ESTROGEN COMPOUNDS.子宫内膜对合成孕激素 - 雌激素化合物反应的分类
Arch Gynakol. 1973;215(3):325-42. doi: 10.1007/BF00672816.
4
Hormonal steroid contraceptives. IV. Adverse reactions and management of the patient.激素甾体避孕药。IV. 不良反应及患者管理
Drugs. 1971;2(2):138-64. doi: 10.2165/00003495-197102020-00003.
Fertil Steril. 1964 Mar-Apr;15:143-63. doi: 10.1016/s0015-0282(16)35163-9.
4
COMPARISON OF THE LONG-TERM ENDOMETRIAL EFFECTS OF SYNTHETIC PROGESTINS USED IN FERTILITY CONTROL.生育控制中使用的合成孕激素的长期子宫内膜效应比较
Am J Obstet Gynecol. 1963 Oct 15;87:429-33. doi: 10.1016/0002-9378(63)90550-7.
5
THE ENDOMETROPIC EFFECTS OF PROVEST IN OVULATORY AND ANOVULATORY PATIENTS.普罗维斯对排卵和不排卵患者的子宫内膜影响。
Int J Fertil. 1963 Jul-Sep;8:619-34.
6
EFFECTS OF PROVEST ON THE ENDOMETRIUM.普洛维斯特对子宫内膜的影响。
Int J Fertil. 1963 Jul-Sep;8:605-18.
7
Comparison of the endometrial activity of 3 svnthetic progestins used in fertility control.用于生育控制的3种合成孕激素的子宫内膜活性比较。
Am J Obstet Gynecol. 1963 Feb 15;85:427-32. doi: 10.1016/s0002-9378(16)35484-9.
8
Secretory behavior of endometrium in tissue culture.组织培养中子宫内膜的分泌行为。
Obstet Gynecol. 1961 Apr;17:416-33.