Suppr超能文献

豚鼠远端结肠内神经元成分对辣根过氧化物酶的摄取及其随后向肠系膜下神经节的逆行运输:一项使用完整神经元系统的体外研究。

The uptake of horseradish peroxidase by neuronal elements within the guinea-pig distal colon and its subsequent retrograde transport to the inferior mesenteric ganglion: an in vitro study using an intact neuronal system.

作者信息

Anderson P N, Mitchell J, Mayor D

出版信息

J Anat. 1980 Jan;130(Pt 1):153-7.

Abstract

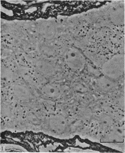
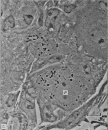
An in vitro guinea-pig preparation comprising the inferior mesenteric ganglion (IMG), the colonic nerves, and a segment of the distal colon was used to study the uptake and retrograde transport of horseradish peroxidase by intact neurons. Peroxidase rapidly penetrated the colonic wall from the lumen and was taken into autonomic nerves by pinocytotic vesicles, usually of the coated variety. The peroxidase subsequently appeared in long vesicles within the axons, and, 24 hours later, could be detected in many neuronal perikarya throughout the IMG. The similarities between the modes of uptake of peroxidase by damaged and intact axons are discussed.

摘要

采用一种包含肠系膜下神经节(IMG)、结肠神经和一段远端结肠的体外豚鼠制备物,来研究辣根过氧化物酶在完整神经元中的摄取和逆向运输。过氧化物酶迅速从肠腔穿透结肠壁,并通过通常为有被小泡类型的胞饮小泡被摄取到自主神经中。过氧化物酶随后出现在轴突内的长小泡中,并且在24小时后,可在整个IMG的许多神经元胞体中检测到。文中讨论了受损轴突和完整轴突摄取过氧化物酶方式之间的相似性。

https://cdn.ncbi.nlm.nih.gov/pmc/blobs/6fd3/1233119/e2d51c588eaa/janat00233-0155-a.jpg

文献AI研究员

20分钟写一篇综述,助力文献阅读效率提升50倍。

立即体验

用中文搜PubMed

大模型驱动的PubMed中文搜索引擎

马上搜索

文档翻译

学术文献翻译模型,支持多种主流文档格式。

立即体验