Laurence B H, Cotton P B
Br Med J. 1980 Feb 23;280(6213):522-3. doi: 10.1136/bmj.280.6213.522.
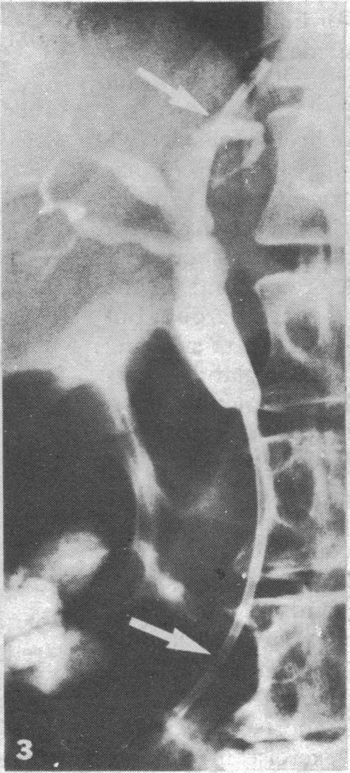
Interest is increasing in non-operative methods of relieving malignant obstruction of the bile duct, and drainage tubes and prostheses may be placed in the bile duct via the percutaneous transhepatic route. Two cases are described, however, in which a duodenoscope was used and the approach was via the papilla of Vater. This method allows temporary or permanent drainage tubes to be placed through malignant strictures. This endoscopic approach is less invasive and should be safer than that by the transhepatic route; furthermore, removing and replacing a blocked endoprosthesis should be easier. Further study is needed, as the procedure is technically more difficult and its role in managing biliary strictures has yet to be defined.
缓解恶性胆管梗阻的非手术方法越来越受到关注,引流管和假体可通过经皮肝穿刺途径放置在胆管中。然而,本文描述了两例使用十二指肠镜并经十二指肠乳头入路的病例。这种方法允许通过恶性狭窄放置临时或永久性引流管。这种内镜入路的侵入性较小,应该比经肝途径更安全;此外,取出和更换堵塞的内置假体应该更容易。由于该手术在技术上更困难,其在处理胆管狭窄中的作用尚未明确,因此需要进一步研究。