Suppr超能文献

染料中性红作为胰岛的一种特异性、无毒的活体染色剂的应用。

The use of the dye neutral red as a specific, non-toxic, intra-vital stain of islets of Langerhans.

作者信息

Gray D W, Millard P R, McShane P, Morris P J

出版信息

Br J Exp Pathol. 1983 Oct;64(5):553-8.

Abstract

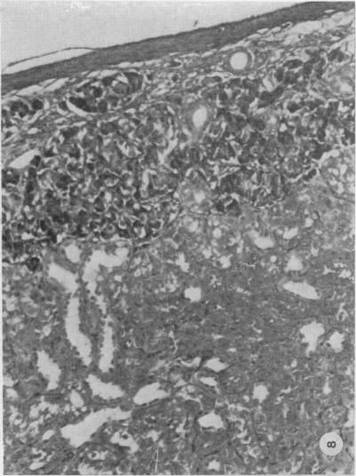
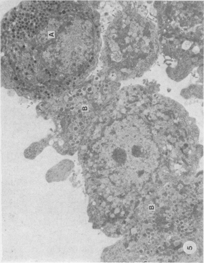
The development of improved methods of islet isolation from the pancreas is hampered by difficulty in identification of islets. A method described by Bensley in 1911 uses neutral red to stain the islets selectively. In the present study the method has been simplified and selective staining of islets in the rat, dog and pig demonstrated by use of light and electron microscopy. Staining of islets with neutral red does not appear to affect their viability as judged by insulin secretion and transplantation in rats.

摘要

胰岛从胰腺中分离出来的改良方法的发展受到胰岛识别困难的阻碍。1911年本斯利描述的一种方法使用中性红对胰岛进行选择性染色。在本研究中,该方法已被简化,并通过光学显微镜和电子显微镜证明了在大鼠、狗和猪中胰岛的选择性染色。根据大鼠的胰岛素分泌和移植情况判断,用中性红对胰岛进行染色似乎不会影响其活力。

https://cdn.ncbi.nlm.nih.gov/pmc/blobs/e048/2040820/a8a15d7f900e/brjexppathol00101-0092-a.jpg

文献AI研究员

20分钟写一篇综述,助力文献阅读效率提升50倍。

立即体验

用中文搜PubMed

大模型驱动的PubMed中文搜索引擎

马上搜索

文档翻译

学术文献翻译模型,支持多种主流文档格式。

立即体验