Doucette J R, Kiernan J A, Flumerfelt B A
J Anat. 1983 Aug;137 (Pt 1)(Pt 1):1-19.
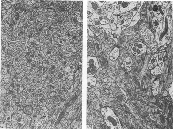
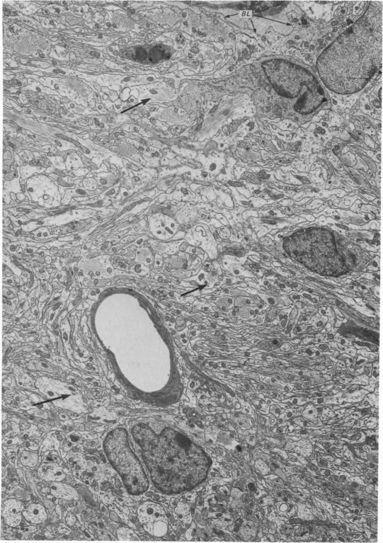
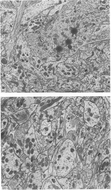
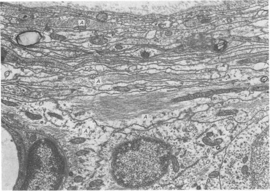
The re-innervation of the olfactory bulb has been studied in rats in which the primary afferent axons were transected either in the peripheral nervous system, on the intracranial side of the cribriform plate, or in the central nervous system, in the nerve fibre layer of the bulb. Both procedures resulted in denervation of glomeruli on the dorsal surface of the olfactory bulb. Re-innervation of these glomeruli was first seen approximately three weeks after operation and was largely completed by the sixth week, irrespective of the site of the lesion. The similarity of the timing of re-innervation following the two procedures indicates that the cut fibres did not regenerate from their sites of transection. It is much more probable that the re-innervation axons were those of neurons newly generated in the olfactory epithelium. This view is supported by the results of other investigations, in which retrograde degeneration and subsequent replacement of the neurons have been found to follow transection of the olfactory nerves. After transection of the olfactory nerves, the new axons entering the bulb grew through the site of the lesion, across the interface between peripheral and central nervous tissue, through the nerve fibre layer and into the glomeruli. Thus, they followed the same course as normally growing primary olfactory axons. After the afferent fibres had been cut within the olfactory bulb, the site of transection was transformed into a scar composed largely of astrocytes. No olfactory axons grew through the scar and none passed beneath it in the deeper layers of the bulb. However, by tracing the anterograde axonal transport of horseradish peroxidase, it has been shown that axons immediately rostral to the lesion terminated in the re-innervated glomeruli. These denervated glomeruli were, therefore, probably re-innervated by axons that grew through the intact central nervous tissue of the nerve fibre layer on either side of the lesion.
在大鼠中对嗅球的再支配进行了研究,这些大鼠的初级传入轴突要么在外周神经系统、筛板颅内侧被横断,要么在中枢神经系统、嗅球的神经纤维层被横断。这两种操作均导致嗅球背表面的肾小球去神经支配。这些肾小球的再支配在术后约三周首次出现,并在第六周基本完成,与损伤部位无关。两种操作后再支配时间的相似性表明,切断的纤维并未从其横断部位再生。更有可能的是,再支配轴突是嗅上皮中新生成的神经元的轴突。这一观点得到了其他研究结果的支持,在这些研究中发现,嗅神经横断后会发生逆行性变性以及随后神经元的替代。嗅神经横断后,进入嗅球的新轴突穿过损伤部位,穿过外周和中枢神经组织之间的界面,穿过神经纤维层并进入肾小球。因此,它们遵循与正常生长的初级嗅觉轴突相同的路径。在嗅球内传入纤维被切断后,横断部位转变为主要由星形胶质细胞组成的瘢痕。没有嗅觉轴突穿过瘢痕,也没有在嗅球更深层的瘢痕下方通过。然而,通过追踪辣根过氧化物酶的顺行轴突运输,已表明紧邻损伤部位前方的轴突在再支配的肾小球中终止。因此,这些去神经支配的肾小球可能是由穿过损伤部位两侧神经纤维层完整中枢神经组织生长的轴突再支配的。