Suppr超能文献

辛克莱小型猪皮肤黑色素瘤的生长与消退

Growth and regression of cutaneous melanomas in Sinclair miniature swine.

作者信息

Oxenhandler R W, Berkelhammer J, Smith G D, Hook R R

出版信息

Am J Pathol. 1982 Dec;109(3):259-69.

Abstract

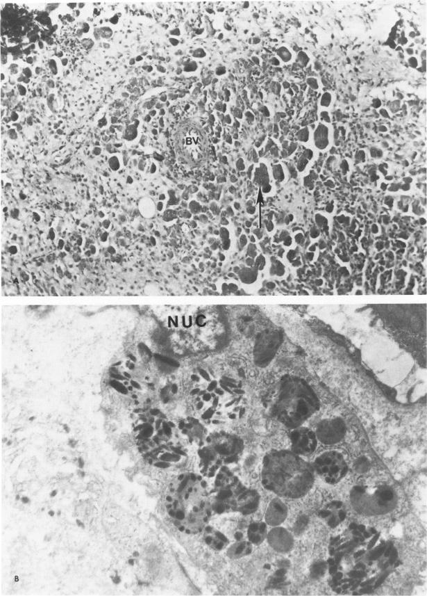
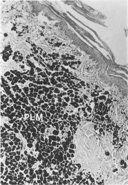
Previous studies have demonstrated pathologic similarities between human melanoma and the spontaneous melanoma in the Sinclair miniature swine (SMS) with respect to cutaneous histologic features and patterns of metastasis. The current biopsy series, correlating growth curves and histopathologic features of cutaneous melanomas, was undertaken for documentation of the histologic events associated with the successful regression of melanoma in the SMS. Cutaneous growth and regression was characterized by a series of cellular events that eventually led to depigmentation and scar formation. Mononuclear inflammatory infiltrates, seen in over half of the 104 biopsies, showed several temporal and topographic distribution patterns, similar to that described in human melanoma. Histopathologic observations in the SMS confirm clinical observations that the host can, with consistent effectiveness, react with the tumors to modify their biologic aggressiveness. Although regression is associated with lymphocytic and macrophage infiltration, the exact role of the immune response in the regression of the cutaneous melanoma remains to be elucidated.

摘要

先前的研究已经证明,在皮肤组织学特征和转移模式方面,人类黑色素瘤与辛克莱小型猪(SMS)的自发性黑色素瘤存在病理相似性。目前的活检系列研究将皮肤黑色素瘤的生长曲线与组织病理学特征相关联,旨在记录与SMS中黑色素瘤成功消退相关的组织学事件。皮肤的生长和消退以一系列细胞事件为特征,最终导致色素脱失和瘢痕形成。在104份活检样本中,超过一半出现了单核炎性浸润,呈现出几种时间和地形分布模式,类似于人类黑色素瘤中所描述的情况。SMS中的组织病理学观察结果证实了临床观察,即宿主能够持续有效地与肿瘤发生反应,从而改变其生物学侵袭性。虽然消退与淋巴细胞和巨噬细胞浸润有关,但免疫反应在皮肤黑色素瘤消退中的确切作用仍有待阐明。

https://cdn.ncbi.nlm.nih.gov/pmc/blobs/06de/1916120/caebf6decda7/amjpathol00201-0013-a.jpg

引用本文的文献

2
Preclinical murine tumor models: a structural and functional perspective.
Elife. 2020 Jan 28;9:e50740. doi: 10.7554/eLife.50740.
4
Acorn-related acquired pseudomelanosis in Calabrian black pigs.
BMC Vet Res. 2019 Jun 4;15(1):186. doi: 10.1186/s12917-019-1934-5.
5
Performance of Molecular Lymphosonography for Detection and Quantification of Metastatic Involvement in Sentinel Lymph Nodes.
J Ultrasound Med. 2019 Aug;38(8):2103-2110. doi: 10.1002/jum.14906. Epub 2018 Dec 27.
6
Engineered Swine Models of Cancer.
Front Genet. 2016 May 9;7:78. doi: 10.3389/fgene.2016.00078. eCollection 2016.

本文引用的文献

1
Growth of Sinclair swine melanoma in the hamster cheek pouch.
Transplantation. 1980 Mar;29(3):193-5. doi: 10.1097/00007890-198003000-00005.
2
Melanoma: Sinclair swine melanoma.
Am J Pathol. 1982 Jul;108(1):130-3.
4
A diffusible factor restoring contact inhibition of growth to malignant melanocytes.
Proc Natl Acad Sci U S A. 1974 Mar;71(3):849-53. doi: 10.1073/pnas.71.3.849.
5
Spontaneous regression of melanoma.
Pathology. 1975 Apr;7(2):91-9. doi: 10.3109/00313027509092702.
7
In vitro lymphocyte reactivity to soluble tumor extracts in Sinclair melanoma swine.
Int J Cancer. 1979 Nov 15;24(5):673-8. doi: 10.1002/ijc.2910240523.

文献AI研究员

20分钟写一篇综述,助力文献阅读效率提升50倍。

立即体验

用中文搜PubMed

大模型驱动的PubMed中文搜索引擎

马上搜索

文档翻译

学术文献翻译模型,支持多种主流文档格式。

立即体验