Suppr超能文献

猫肥厚性心肌病:大体解剖学和定量组织学特征

Feline hypertrophic cardiomyopathy: gross anatomic and quantitative histologic features.

作者信息

Liu S K, Maron B J, Tilley L P

出版信息

Am J Pathol. 1981 Mar;102(3):388-95.

Abstract

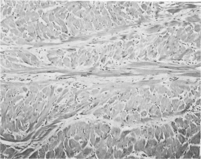
Gross anatomic features and the pattern and extent of cardiac muscle cell disorganization were studied in the hearts of 51 with spontaneously occurring hypertrophic cardiomyopathy. Each cat had a hypertrophied, but nondilated, left ventricle. Ventricular septal disorganization was extensive, involving 5% or more of the relevant areas of the tissue section, in 14 (27%) of the 51 cats. Marked septal disorganization occurred only in those cats with asymmetric septal hypertrophy (ventricular septal to left ventricular free wall thickness ratio of greater than or equal to 1.1) Disorganization of cardiac muscle cells was uncommon and less extensive in the left ventricular free wall of the cats with hypertrophic cardiomyopathy. Disorganization involved the free wall of only 7 cats, each with asymmetric septal hypertrophy, and occupied greater than 5% of the free wall tissue sections in just 3. Hence, about one fourth of this population of cats had hypertrophic cardiomyopathy resembling the human form of this disease, with asymmetric left ventricular hypertrophy and marked disorganization of cardiac muscle cells in the ventricular septum. The majority of cats (about 75%), however, demonstrated a form of hypertrophic cardiomyopathy characterized by symmetric ventricular hypertrophy and normal arrangement of cardiac muscle cells.

摘要

对51只患有自发性肥厚型心肌病的猫的心脏进行了大体解剖特征以及心肌细胞紊乱的模式和范围的研究。每只猫都有一个肥厚但未扩张的左心室。在51只猫中的14只(27%),室间隔紊乱广泛,累及组织切片相关区域的5%或更多。明显的间隔紊乱仅发生在那些伴有不对称间隔肥厚(室间隔与左心室游离壁厚度比大于或等于1.1)的猫中。在肥厚型心肌病的猫的左心室游离壁中,心肌细胞紊乱不常见且范围较小。紊乱仅累及7只猫的游离壁,每只猫都有不对称间隔肥厚,且仅在3只猫中占据游离壁组织切片的5%以上。因此,这群猫中约四分之一患有类似于人类这种疾病形式的肥厚型心肌病,表现为不对称左心室肥厚和室间隔心肌细胞明显紊乱。然而,大多数猫(约75%)表现出一种以对称性心室肥厚和心肌细胞正常排列为特征的肥厚型心肌病形式。

https://cdn.ncbi.nlm.nih.gov/pmc/blobs/ec45/1903724/ae73aa2d4b20/amjpathol00222-0098-a.jpg

文献AI研究员

20分钟写一篇综述,助力文献阅读效率提升50倍。

立即体验

用中文搜PubMed

大模型驱动的PubMed中文搜索引擎

马上搜索

文档翻译

学术文献翻译模型,支持多种主流文档格式。

立即体验