Boyle R, Thomas M, Adams J H
Postgrad Med J. 1980 Mar;56(653):149-58. doi: 10.1136/pgmj.56.653.149.
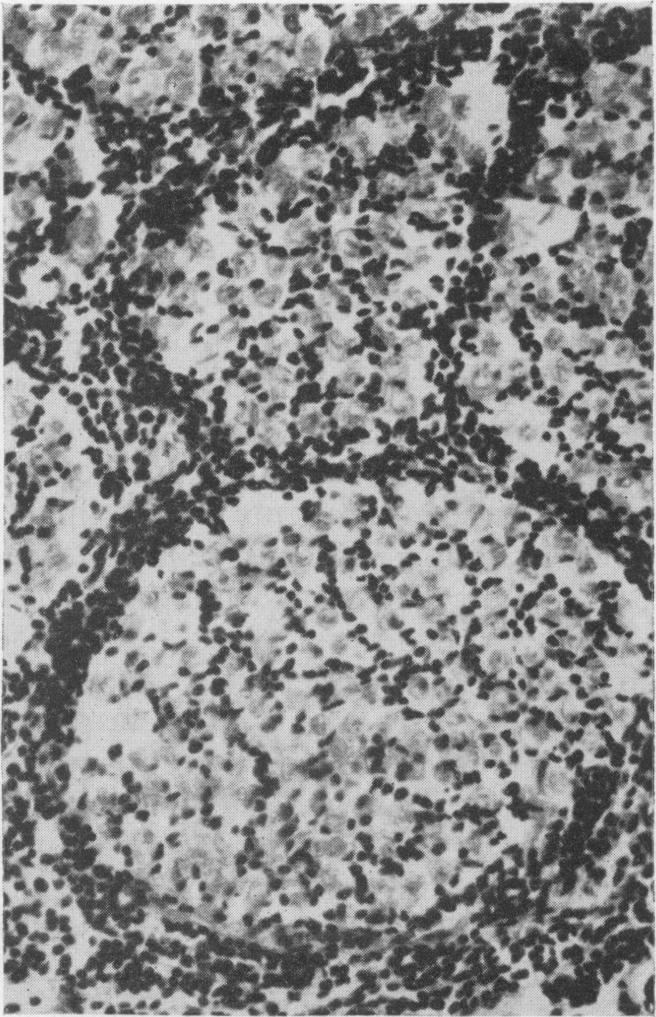
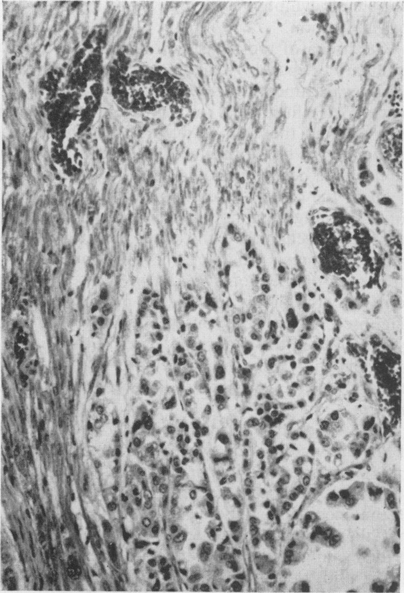
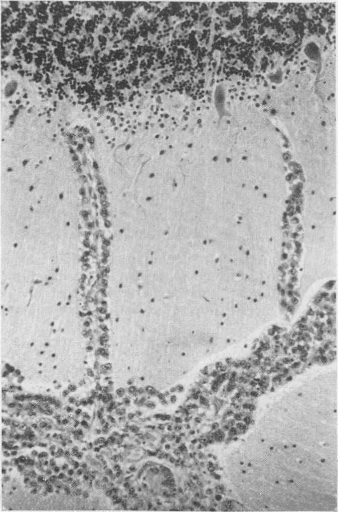
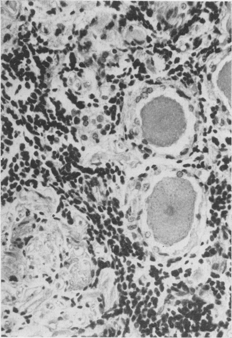
The clinical and pathological features of 63 cases of post-mortem-proved diffuse infiltration of the leptomeninges by tumour are presented. A wide variety of tumours of the nervous system, both primary and secondary, was found to give rise to such involvement, with adenocarcinoma having a particular propensity to behave in this manner. Dysfunction of cranial and spinal nerves, a confusional state and headache were prominent clinical features. Examination of the cerebro-spinal fluid was found to be less useful diagnostically in cases of primary tumours of the nervous system with leptomeningeal involvement than in cases of diffuse infiltration of the meninges by carcinoma.
本文呈现了63例经尸检证实软脑膜被肿瘤弥漫浸润的临床和病理特征。研究发现,多种原发性和继发性神经系统肿瘤均可导致这种浸润,其中腺癌尤其容易出现这种情况。颅神经和脊神经功能障碍、意识模糊状态和头痛是突出的临床特征。结果显示,对于伴有软脑膜受累的原发性神经系统肿瘤病例,脑脊液检查在诊断上不如癌性脑膜炎弥漫浸润病例有用。