Girbal E, Sebbag M, Gomès-Daudrix V, Simon M, Vincent C, Serre G
Department of Biology and Pathology of the Cell, Purpan Medical School, University of Toulouse III, France.
Ann Rheum Dis. 1993 Oct;52(10):749-57. doi: 10.1136/ard.52.10.749.
An attempt was made to characterise the antigens recognised by serum IgG antibodies directed to the stratum corneum of rat oesophagus epithelium, the so-called 'antikeratin antibodies', which were shown to be highly specific for rheumatoid arthritis (RA) and thus to have an actual diagnostic value.
Immunoblotting was performed with RA serum samples on different extracts of rat oesophagus epithelium separated by various monodimensional and two dimensional electrophoreses.
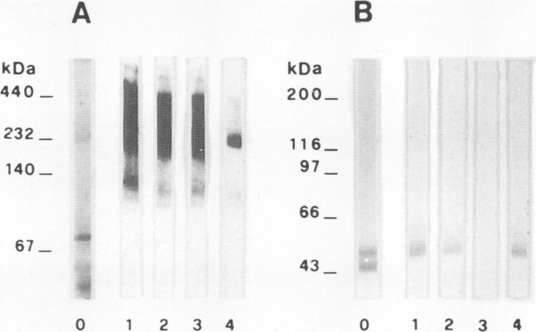
Three low-salt-soluble antigens sensitive to proteinase K and, therefore, of protein nature were identified. Two proteins, with apparent molecular masses of 210 and 120-90 kilodaltons, shared isoelectric points ranging from 5.8 to 8.5; the third protein exhibited isoelectric points from 4.5 to 7.2 while its molecular mass ranged from 130 to 60 kilodaltons. Immunoadsorption of RA serum samples onto cytokeratins extracted from the stratum corneum of rat oesophagus epithelium did not change their immunoreactivity towards the three antigenic proteins. Widely used deglycosylation and dephosphorylation methods failed to modify either the electrophoretic migration of the proteins or their immunoreactivity with RA serum samples.
The so-called 'antikeratin antibodies' do not react with cytokeratins. They specifically recognise three late epithelial differentiation proteins which had not been previously described. These proteins may be related to (pro)filaggrin.
尝试对由针对大鼠食管上皮角质层的血清IgG抗体所识别的抗原进行特性分析,这些抗体即所谓的“抗角蛋白抗体”,已证明其对类风湿性关节炎(RA)具有高度特异性,因而具有实际诊断价值。
使用RA血清样本对经各种一维和二维电泳分离的大鼠食管上皮不同提取物进行免疫印迹分析。
鉴定出三种对蛋白酶K敏感、因此具有蛋白质性质的低盐溶性抗原。两种表观分子量分别为210和120 - 90千道尔顿的蛋白质,其等电点范围为5.8至8.5;第三种蛋白质的等电点为4.5至7.2,分子量范围为130至60千道尔顿。将RA血清样本免疫吸附到从大鼠食管上皮角质层提取的细胞角蛋白上,并未改变其对这三种抗原性蛋白质的免疫反应性。广泛使用的去糖基化和去磷酸化方法既未改变蛋白质的电泳迁移率,也未改变其与RA血清样本的免疫反应性。
所谓的“抗角蛋白抗体”不与细胞角蛋白反应。它们特异性识别三种先前未描述过的晚期上皮分化蛋白。这些蛋白质可能与(原)丝聚合蛋白有关。