Suppr超能文献

肥厚型梗阻性心肌病合并乳头肌直接异常插入二尖瓣前叶及左前降支冠状动脉“锯鳐”样收缩期狭窄。

Hypertrophic obstructive cardiomyopathy in combination with anomalous insertion of papillary muscle directly into anterior mitral leaflet and "sawfish" systolic narrowing of the left anterior descending coronary artery.

作者信息

Taşdemir O, Küçükaksu D S, Kural T, Bayazit K

机构信息

Cardiovascular Surgery Clinic, Türkiye Yüksek Ihtisas Hospital, Ankara, Turkey.

出版信息

Tex Heart Inst J. 1994;21(4):317-20.

Abstract

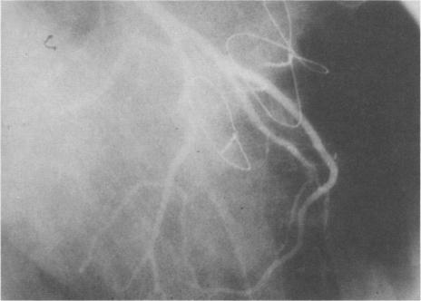
This report describes an unusual case of subaortic stenosis in which hypertrophic obstructive cardiomyopathy was found in combination with both anomalous insertion of papillary muscle directly into the anterior mitral leaflet and "sawfish" systolic narrowing of the left anterior descending coronary artery. Definitive diagnosis was made on operation. We freed the left anterior descending coronary artery by incising the muscular bridge, resected both papillary muscles, and replaced the mitral valve.

摘要

本报告描述了一例罕见的主动脉瓣下狭窄病例,该病例中肥厚型梗阻性心肌病与乳头肌直接异常插入二尖瓣前叶以及左前降支冠状动脉“锯鳐”样收缩期狭窄同时存在。手术时做出了明确诊断。我们通过切开肌桥松解了左前降支冠状动脉,切除了两个乳头肌,并置换了二尖瓣。

https://cdn.ncbi.nlm.nih.gov/pmc/blobs/ecc2/325197/bbe33713b931/thij00039-0080-a.jpg

文献AI研究员

20分钟写一篇综述,助力文献阅读效率提升50倍。

立即体验

用中文搜PubMed

大模型驱动的PubMed中文搜索引擎

马上搜索

文档翻译

学术文献翻译模型,支持多种主流文档格式。

立即体验