Suppr超能文献

脊髓灰质炎病毒进入细胞并不需要低pH步骤。

Entry of poliovirus into cells does not require a low-pH step.

作者信息

Pérez L, Carrasco L

机构信息

Centro de Biología Molecular Severo Ochoa (Consejo Superior de Investigaciones Cientificas-Universidad Autónoma de Madrid), Universidad Autónoma de Madrid, Spain.

出版信息

J Virol. 1993 Aug;67(8):4543-8. doi: 10.1128/JVI.67.8.4543-4548.1993.

Abstract

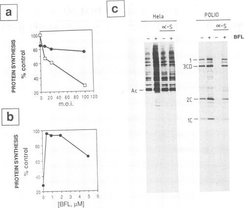
The requirement of a low-pH step during poliovirus entry was investigated by using the macrolide antibiotic bafilomycin A1, which is a powerful and selective inhibitor of the vacuolar proton-ATPases. Thus, viruses such as Semliki Forest virus and vesicular stomatitis virus that enter cells through endosomes and need their acidification, are potently inhibited by bafilomycin A1, whereas poliovirus infection is not affected by the antibiotic. The presence of lysosomotropic agents such as chloroquine, amantadine, dansylcadaverine, and monensin during poliovirus entry did not inhibit infection, further supporting the idea that poliovirus does not depend on a low-pH step to enter the cytoplasm. The effect of bafilomycin A1 on other members of the Picornaviridae family was also assayed. Encephalomyocarditis virus entry into HeLa cells was not affected by the macrolide antibiotic, whereas rhinovirus was sensitive. Coentry of toxins, such as alpha-sarcin, with viral particles was potently inhibited by bafilomycin A1, indicating that an active vacuolar proton-ATPase is necessary for the early membrane permeabilization (coentry of alpha-sarcin) induced by poliovirus to take place.

摘要

利用大环内酯类抗生素巴弗洛霉素A1研究了脊髓灰质炎病毒进入过程中对低pH步骤的需求,该抗生素是液泡质子ATP酶的一种强效且选择性的抑制剂。因此,诸如通过内体进入细胞且需要其酸化的塞姆利基森林病毒和水疱性口炎病毒等病毒,会被巴弗洛霉素A1有效抑制,而脊髓灰质炎病毒感染不受该抗生素影响。在脊髓灰质炎病毒进入过程中存在溶酶体促渗剂如氯喹、金刚烷胺、丹磺酰尸胺和莫能菌素时,感染并未受到抑制,这进一步支持了脊髓灰质炎病毒进入细胞质不依赖低pH步骤这一观点。还检测了巴弗洛霉素A1对小RNA病毒科其他成员的影响。脑心肌炎病毒进入HeLa细胞不受该大环内酯类抗生素影响,而鼻病毒则敏感。毒素如α-肌动蛋白与病毒颗粒的共进入被巴弗洛霉素A1有效抑制,表明有活性的液泡质子ATP酶对于脊髓灰质炎病毒诱导的早期膜通透化(α-肌动蛋白的共进入)的发生是必需的。

https://cdn.ncbi.nlm.nih.gov/pmc/blobs/9a4f/237838/0e4f998ab2f4/jvirol00029-0100-a.jpg

文献AI研究员

20分钟写一篇综述,助力文献阅读效率提升50倍。

立即体验

用中文搜PubMed

大模型驱动的PubMed中文搜索引擎

马上搜索

文档翻译

学术文献翻译模型,支持多种主流文档格式。

立即体验