Suppr超能文献

潘氏细胞表达高水平的CD95配体转录本:这是胃肠道上皮细胞中的一种独特特性。

Paneth cells express high levels of CD95 ligand transcripts: a unique property among gastrointestinal epithelia.

作者信息

Möller P, Walczak H, Reidl S, Sträter J, Krammer P H

机构信息

Institute of Pathology of the University of Ulm, Germany.

出版信息

Am J Pathol. 1996 Jul;149(1):9-13.

Abstract

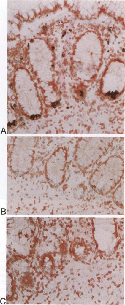
CD95 (APO-1/Fas), a cell surface receptor and member of the tumor necrosis factor receptor superfamily, induces apoptosis upon oligomerization. CD95 is broadly expressed in normal tissues. The CD95 ligand (CD95L) is a member of the tumor necrosis factor family of cytokines and exists in a membrane-bound and in a soluble form. In vitro, CD95L is expressed and released by activated T lymphocytes. The range of cell types capable of expressing CD95L in vivo is unknown so far. Using a specific probe for human CD95L and sensitive in situ hybridization, we examined CD95L mRNA expression along the gastrointestinal tract. The scarce lymphohistiocytic infiltrate within the lamina propria contained small subsets of medium-sized labeled cells, some of which bad short cytoplasmic protrusions and others of which were lymphoid in morphology. Autochthonous cells of the gastrointestinal tract did not contain any detectable transcripts except for Paneth cells that expressed CD95L mRNA at high levels. In ulcerative colitis, CD95L mRNA-positive inflammatory cells were increased in number, and metaplastic Paneth cells were the only epithelial cells expressing CD95L. Paneth cells are CD95 negative. Therefore, these cells may not commit CD95-mediated autocrine suicide. By secreting soluble CD95L, however, the Paneth cells might contribute to mucosal integrity.

摘要

CD95(APO-1/Fas)是一种细胞表面受体,属于肿瘤坏死因子受体超家族成员,寡聚化后可诱导细胞凋亡。CD95在正常组织中广泛表达。CD95配体(CD95L)是细胞因子肿瘤坏死因子家族的成员,以膜结合形式和可溶性形式存在。在体外,活化的T淋巴细胞可表达并释放CD95L。目前尚不清楚体内能够表达CD95L的细胞类型范围。我们使用针对人CD95L的特异性探针和灵敏的原位杂交技术,检测了胃肠道中CD95L mRNA的表达情况。固有层内稀少的淋巴细胞-组织细胞浸润中含有少量中等大小的标记细胞亚群,其中一些细胞有短的胞质突起,另一些细胞在形态上呈淋巴细胞样。除了高水平表达CD95L mRNA的潘氏细胞外,胃肠道的自身细胞未检测到任何可检测到的转录本。在溃疡性结肠炎中,CD95L mRNA阳性炎症细胞数量增加,化生的潘氏细胞是唯一表达CD95L的上皮细胞。潘氏细胞CD95呈阴性。因此,这些细胞可能不会发生CD95介导的自分泌自杀。然而,通过分泌可溶性CD95L,潘氏细胞可能有助于黏膜完整性。

https://cdn.ncbi.nlm.nih.gov/pmc/blobs/8ac1/1865214/a5559c45d935/amjpathol00031-0018-a.jpg

文献AI研究员

20分钟写一篇综述,助力文献阅读效率提升50倍。

立即体验

用中文搜PubMed

大模型驱动的PubMed中文搜索引擎

马上搜索

文档翻译

学术文献翻译模型,支持多种主流文档格式。

立即体验