Suppr超能文献

92-kD IV型胶原酶/明胶酶B在人肝细胞癌中的细胞分布

Cellular distribution of 92-kd type IV collagenase/gelatinase B in human hepatocellular carcinoma.

作者信息

Ashida K, Nakatsukasa H, Higashi T, Ohguchi S, Hino N, Nouso K, Urabe Y, Yoshida K, Kinugasa N, Tsuji T

机构信息

First Department of Internal Medicine, Okayama University Medical School, Japan.

出版信息

Am J Pathol. 1996 Dec;149(6):1803-11.

Abstract

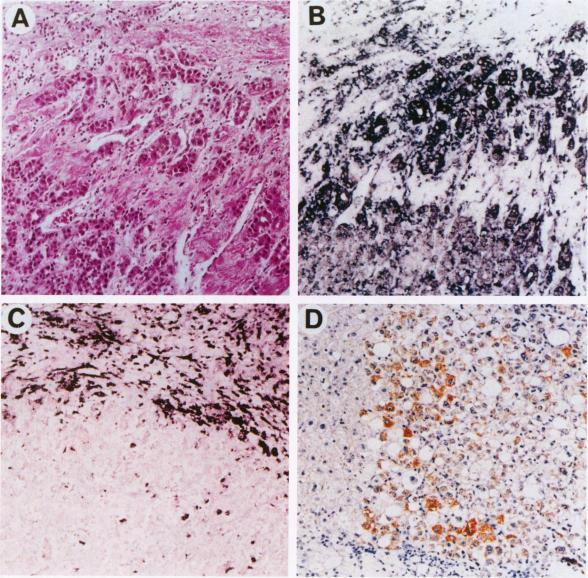
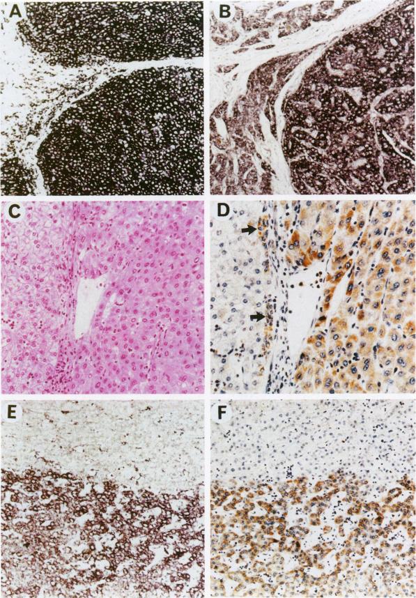
To examine the possible involvement of gelatinase B in human hepatocellular carcinoma (HCC), cellular localization of transcripts and protein of gelatinase B were studied by using in situ hybridization and immunohistochemistry. Transcripts for gelatinase B were observed in tumor cells in 22 cases of 27 HCCs and also in dysplastic nodules. However, there was no significant difference in the expression among histological grades of HCC. The expression was mostly homogeneous, but the intensity varied with the nodules. Of 13 cases with capsular invasion, 12 expressed gelatinase B, whereas 10 of 14 without capsular invasion did (P < 0.05). Gelatinase B transcripts were commonly observed in the sinusoidal cells of the hepatic lobules, in mesenchymal cells both in fibrous capsules and around the necrosis, and also in some undefined cells of the portal tracts of noncancerous liver. Localization of gelatinase B protein was mostly similar to but sometimes different from that of the transcripts in cancer nodules. In conclusion, the expression of gelatinase B appears to be an important characteristic of malignant transformation of hepatocytes. The findings suggest that gelatinase B synthesized by cancer cells plays an important role in the growth and invasion of HCC by degrading surrounding extracellular matrices.

摘要

为研究明胶酶B在人类肝细胞癌(HCC)中的可能作用,采用原位杂交和免疫组化方法研究了明胶酶B转录本和蛋白的细胞定位。在27例HCC中的22例肿瘤细胞以及发育异常结节中观察到了明胶酶B的转录本。然而,HCC不同组织学分级之间的表达无显著差异。表达大多是均匀的,但强度因结节而异。在13例有包膜侵犯的病例中,12例表达明胶酶B,而在14例无包膜侵犯的病例中有10例表达(P<0.05)。在肝小叶的窦状细胞、纤维包膜和坏死灶周围的间充质细胞以及非癌肝脏门管区的一些未明确细胞中普遍观察到明胶酶B转录本。明胶酶B蛋白的定位在癌结节中大多与转录本相似,但有时也有所不同。总之,明胶酶B的表达似乎是肝细胞恶性转化的一个重要特征。这些发现表明,癌细胞合成的明胶酶B通过降解周围的细胞外基质在HCC的生长和侵袭中起重要作用。

https://cdn.ncbi.nlm.nih.gov/pmc/blobs/4605/1865362/8c93258e19c4/amjpathol00036-0023-a.jpg

文献AI研究员

20分钟写一篇综述,助力文献阅读效率提升50倍。

立即体验

用中文搜PubMed

大模型驱动的PubMed中文搜索引擎

马上搜索

文档翻译

学术文献翻译模型,支持多种主流文档格式。

立即体验