Suppr超能文献

实验性肺结核病程中白细胞介素-1α、肿瘤坏死因子-α和转化生长因子-β的局部动力学及定位分析

Analysis of the local kinetics and localization of interleukin-1 alpha, tumour necrosis factor-alpha and transforming growth factor-beta, during the course of experimental pulmonary tuberculosis.

作者信息

Hernandez-Pando R, Orozco H, Arriaga K, Sampieri A, Larriva-Sahd J, Madrid-Marina V

机构信息

Department of Pathology, National Institute of Nutrition Salvador Zubiran, Mexico City, Mexico.

出版信息

Immunology. 1997 Apr;90(4):607-17. doi: 10.1046/j.1365-2567.1997.00193.x.

Abstract

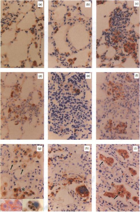
A mouse model of pulmonary tuberculosis induced by the intratracheal instillation of live and virulent mycobacteria strain H37-Rv was used to examine the relationship of the histopathological findings with the local kinetics production and cellular distribution of tumour necrosis factor-alpha (TNF-alpha), interleukin-1 alpha (IL-1 alpha) and transforming growth factor-beta (TGF-beta). The histopathological and immunological studies showed two phases of the disease: acute or early and chronic or advanced. The acute phase was characterized by inflammatory infiltrate in the alveolar-capillary interstitium, blood vessels and bronchial wall with formation of granulomas. During this acute phase, which lasted from 1 to 28 days, high percentages of TNF-alpha and IL-1 alpha immunostained activated macrophages were observed principally in the interstium-intralveolar inflammatory infiltrate and in granulomas. Electron microscopy studies of these cells, showed extensive rough endoplasmic reticulum, numerous lysosomes and occasional mycobacteria. Double labelling with colloid gold showed that TNF-alpha and IL-1 alpha were present in the same cells, but were confined to separate vacuoles near the Golgi area, and mixed in larger vacuoles near to cell membrane. The concentration of TNF-alpha and IL-1 alpha as well as their respective mRNAs were elevated in the early phase, particularly at day 3 when the bacillary count decreased. A second peak was seen at days 14 and 21-28 when granulomas appeared and evolved to full maturation. In contrast, TGF-beta production and numbers of immunoreactive cells were low in comparison with the advanced phase of the disease. The chronic phase was characterized by histopathological changes indicative of more severity (i.e. pneumonia, focal necrosis and extensive interstitial fibrosis) with a decrease in the TNF-alpha and IL-1 alpha production that coincided with the highest level of TGF-beta. The bacillary counts were highest as the macrophages became large, vacuolated foamy cells, and containing numerous bacilli with immunoreactivity to mycobacterial lipids and lipoarabinomannan (LAM). These macrophages displayed poor and scarce TNF-alpha and IL-1 alpha immunostaining but still strong immunoreactivity to TGF-beta. These cytokine production kinetics and the spatial relationship between immunostained cells and lung lesions corroborate the important role of TNF-alpha and IL-1 alpha in the constitution of granulomas and immune protection during the early phase of the infection, and also suggest an important if not primary role for TGF-beta in the immunopathogenesis of the advanced forms of pulmonary tuberculosis.

摘要

采用气管内注入活的强毒分枝杆菌菌株H37-Rv诱导的肺结核小鼠模型,来研究组织病理学结果与肿瘤坏死因子-α(TNF-α)、白细胞介素-1α(IL-1α)和转化生长因子-β(TGF-β)的局部动力学产生及细胞分布之间的关系。组织病理学和免疫学研究显示该疾病有两个阶段:急性或早期阶段以及慢性或晚期阶段。急性期的特征是肺泡-毛细血管间质、血管和支气管壁出现炎性浸润并形成肉芽肿。在这个持续1至28天的急性期,主要在间质-肺泡炎性浸润和肉芽肿中观察到高比例的TNF-α和IL-1α免疫染色活化巨噬细胞。对这些细胞的电子显微镜研究显示有广泛的粗面内质网、大量溶酶体以及偶尔可见的分枝杆菌。用胶体金双重标记显示TNF-α和IL-1α存在于同一细胞中,但局限于高尔基体区域附近的不同液泡中,并在靠近细胞膜的较大液泡中混合。TNF-α和IL-1α的浓度及其各自的mRNA在早期升高,特别是在第3天细菌计数下降时。在第14天以及第21至28天出现第二个峰值,此时肉芽肿出现并发展至完全成熟。相比之下,与疾病的晚期阶段相比,TGF-β的产生及免疫反应性细胞数量较低。慢性期的特征是组织病理学变化显示病情更严重(即肺炎、局灶性坏死和广泛的间质纤维化),同时TNF-α和IL-1α的产生减少,而此时TGF-β达到最高水平。随着巨噬细胞变成大的、空泡化的泡沫细胞并含有大量对分枝杆菌脂质和脂阿拉伯甘露聚糖(LAM)有免疫反应性的杆菌,细菌计数最高。这些巨噬细胞显示出较弱且稀少的TNF-α和IL-1α免疫染色,但对TGF-β仍有较强的免疫反应性。这些细胞因子的产生动力学以及免疫染色细胞与肺部病变之间的空间关系证实了TNF-α和IL-1α在感染早期肉芽肿形成和免疫保护中的重要作用,也表明TGF-β在晚期肺结核免疫发病机制中即使不是主要作用也是重要作用。

https://cdn.ncbi.nlm.nih.gov/pmc/blobs/3c00/1456699/72b29e12ad5e/immunology00026-0150-a.jpg

文献AI研究员

20分钟写一篇综述,助力文献阅读效率提升50倍。

立即体验

用中文搜PubMed

大模型驱动的PubMed中文搜索引擎

马上搜索

文档翻译

学术文献翻译模型,支持多种主流文档格式。

立即体验