Suppr超能文献

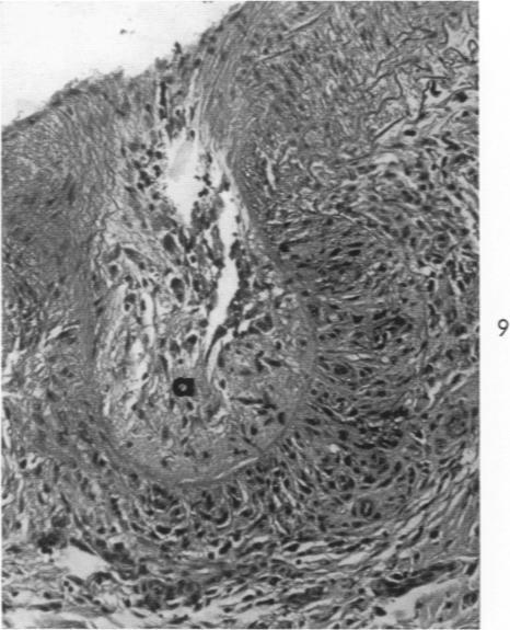
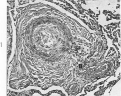
Hypertension of the pulmonary circulation due to congenital glomoid obstruction of the pulmonary arteries.

作者信息

MOSCHCOWITZ E, RUBIN E, STRAUSS L

出版信息

Am J Pathol. 1961 Jul;39(1):75-93.

Abstract
摘要
https://cdn.ncbi.nlm.nih.gov/pmc/blobs/600f/1942376/4d10bc616e3e/amjpathol00332-0096-a.jpg

文献AI研究员

20分钟写一篇综述,助力文献阅读效率提升50倍。

立即体验

用中文搜PubMed

大模型驱动的PubMed中文搜索引擎

马上搜索

文档翻译

学术文献翻译模型,支持多种主流文档格式。

立即体验