• 文献检索
  • 文档翻译
  • 深度研究
  • 学术资讯
  • Suppr Zotero 插件Zotero 插件
  • 邀请有礼
  • 套餐&价格
  • 历史记录
应用&插件
Suppr Zotero 插件Zotero 插件浏览器插件Mac 客户端Windows 客户端微信小程序
定价
高级版会员购买积分包购买API积分包
服务
文献检索文档翻译深度研究API 文档MCP 服务
关于我们
关于 Suppr公司介绍联系我们用户协议隐私条款
关注我们

Suppr 超能文献

核心技术专利:CN118964589B侵权必究
粤ICP备2023148730 号-1Suppr @ 2026

文献检索

告别复杂PubMed语法,用中文像聊天一样搜索,搜遍4000万医学文献。AI智能推荐,让科研检索更轻松。

立即免费搜索

文件翻译

保留排版,准确专业,支持PDF/Word/PPT等文件格式,支持 12+语言互译。

免费翻译文档

深度研究

AI帮你快速写综述,25分钟生成高质量综述,智能提取关键信息,辅助科研写作。

立即免费体验

辐照和/或白细胞滤除对红细胞储存损伤的影响。

Effect of irradiation and/or leucocyte filtration on RBC storage lesions.

机构信息

Department of Blood Transfusion, Xinqiao Hospital, Third Military Medical University, Shapingba District, Chongqing, China.

出版信息

PLoS One. 2011 Mar 31;6(3):e18328. doi: 10.1371/journal.pone.0018328.

DOI:10.1371/journal.pone.0018328
PMID:21483835
原文链接:https://pmc.ncbi.nlm.nih.gov/articles/PMC3069078/
Abstract

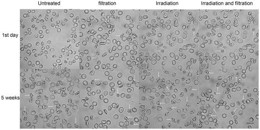
Red blood cell (RBC) storage lesions have been shown to be associated with some adverse reactions; numerous studies have focused on the lesions caused by storage, and few data on the RBC storage lesions caused by prestorage treatments of leucocyte filtration and irradiation. In this study, we examined the changes related with the RBC storage lesions, including 2,3-diphosphatidylglyceric acid (2,3-DPG), pH, free hemoglobin (Hb), supernatant free K+ and Na+ concentration, mean corpuscular volume (MCV), mean corpuscular hemoglobin (MCH). Along with the increasing storage time, decreases in 2, 3-DPG levels, pH and Na+ concentration, increases in K+ and free Hb concentrations, and significant morphological changes in RBC in all groups were found. The changes in the groups of irradiation, leucocyte filtration and the combined irradiation and leucocyte filtration were more significant than those in the untreated group. Meanwhile, the MCV levels of the three treated groups were significantly lower than those in the untreated group, while the MCH variations were significantly higher. Our results suggest that irradiation and leucocyte filtration before storage may aggravate blood storage lesions.

摘要

红细胞(RBC)储存损伤与一些不良反应有关;许多研究都集中在储存引起的损伤上,而关于白细胞过滤和辐照预处理引起的 RBC 储存损伤的数据较少。在这项研究中,我们检查了与 RBC 储存损伤相关的变化,包括 2,3-二磷酸甘油酸(2,3-DPG)、pH 值、游离血红蛋白(Hb)、上清液游离 K+和 Na+浓度、平均红细胞体积(MCV)、平均红细胞血红蛋白(MCH)。随着储存时间的延长,我们发现 2,3-DPG 水平、pH 值和 Na+浓度降低,K+和游离 Hb 浓度升高,所有组的 RBC 形态发生显著变化。辐照组、白细胞过滤组和联合辐照及白细胞过滤组的变化比未处理组更为显著。同时,三个处理组的 MCV 水平明显低于未处理组,而 MCH 的变化明显更高。我们的结果表明,储存前的辐照和白细胞过滤可能会加重血液储存损伤。

https://cdn.ncbi.nlm.nih.gov/pmc/blobs/581b/3069078/2d99057d75d9/pone.0018328.g008.jpg
https://cdn.ncbi.nlm.nih.gov/pmc/blobs/581b/3069078/1635a044d868/pone.0018328.g001.jpg
https://cdn.ncbi.nlm.nih.gov/pmc/blobs/581b/3069078/29b7509f6d60/pone.0018328.g002.jpg
https://cdn.ncbi.nlm.nih.gov/pmc/blobs/581b/3069078/3e35618702b7/pone.0018328.g003.jpg
https://cdn.ncbi.nlm.nih.gov/pmc/blobs/581b/3069078/f49e5967c7c9/pone.0018328.g004.jpg
https://cdn.ncbi.nlm.nih.gov/pmc/blobs/581b/3069078/b2edfc5cd704/pone.0018328.g005.jpg
https://cdn.ncbi.nlm.nih.gov/pmc/blobs/581b/3069078/807622d71096/pone.0018328.g006.jpg
https://cdn.ncbi.nlm.nih.gov/pmc/blobs/581b/3069078/51a9d3f3886b/pone.0018328.g007.jpg
https://cdn.ncbi.nlm.nih.gov/pmc/blobs/581b/3069078/2d99057d75d9/pone.0018328.g008.jpg
https://cdn.ncbi.nlm.nih.gov/pmc/blobs/581b/3069078/1635a044d868/pone.0018328.g001.jpg
https://cdn.ncbi.nlm.nih.gov/pmc/blobs/581b/3069078/29b7509f6d60/pone.0018328.g002.jpg
https://cdn.ncbi.nlm.nih.gov/pmc/blobs/581b/3069078/3e35618702b7/pone.0018328.g003.jpg
https://cdn.ncbi.nlm.nih.gov/pmc/blobs/581b/3069078/f49e5967c7c9/pone.0018328.g004.jpg
https://cdn.ncbi.nlm.nih.gov/pmc/blobs/581b/3069078/b2edfc5cd704/pone.0018328.g005.jpg
https://cdn.ncbi.nlm.nih.gov/pmc/blobs/581b/3069078/807622d71096/pone.0018328.g006.jpg
https://cdn.ncbi.nlm.nih.gov/pmc/blobs/581b/3069078/51a9d3f3886b/pone.0018328.g007.jpg
https://cdn.ncbi.nlm.nih.gov/pmc/blobs/581b/3069078/2d99057d75d9/pone.0018328.g008.jpg

相似文献

1
Effect of irradiation and/or leucocyte filtration on RBC storage lesions.辐照和/或白细胞滤除对红细胞储存损伤的影响。
PLoS One. 2011 Mar 31;6(3):e18328. doi: 10.1371/journal.pone.0018328.
2
Storage of whole blood overnight in different blood bags preceding preparation of blood components: in vitro effects on red blood cells.在制备血液成分之前,将全血在不同血袋中过夜储存:对红细胞的体外影响。
Blood Transfus. 2009 Jul;7(3):210-5. doi: 10.2450/2009.0074-08.
3
[Effect of human plasma on preservation of red blood cells].[人血浆对红细胞保存的影响]
Zhongguo Shi Yan Xue Ye Xue Za Zhi. 2005 Aug;13(4):692-7.
4
Prolonged maintenance of 2,3-diphosphoglycerate acid and adenosine triphosphate in red blood cells during storage.储存期间红细胞中2,3-二磷酸甘油酸和三磷酸腺苷的长期维持。
Transfusion. 2008 Jun;48(6):1081-9. doi: 10.1111/j.1537-2995.2008.01689.x. Epub 2008 Mar 26.
5
A comparison of biochemical and functional alterations of rat and human erythrocytes stored in CPDA-1 for 29 days: implications for animal models of transfusion.储存于CPDA-1中29天的大鼠和人类红细胞的生化及功能改变比较:对输血动物模型的启示
Transfus Med. 2000 Dec;10(4):291-303. doi: 10.1046/j.1365-3148.2000.00267.x.
6
Prestorage WBC filtration of RBC units with soft-shell filters: filtration performance and impact on RBCs during storage for 42 days.使用软壳过滤器对红细胞单位进行储存前白细胞过滤:过滤性能及对储存42天期间红细胞的影响
Transfusion. 2002 Feb;42(2):153-8. doi: 10.1046/j.1537-2995.2002.00035.x.
7
The in vitro quality of washed, prestorage leucocyte-depleted red blood cell concentrates.洗涤后的储存前白细胞去除红细胞浓缩液的体外质量。
Vox Sang. 2004 Jul;87(1):19-26. doi: 10.1111/j.1423-0410.2004.00526.x.
8
Evaluation of two distinct cryoprotectants for cryopreservation of human red blood cell concentrates.用于人类红细胞浓缩物冷冻保存的两种不同冷冻保护剂的评估。
Cryo Letters. 2014 Jan-Feb;35(1):15-21.
9
Influence of irradiation on in vitro red-blood-cell (RBC) storage variables of leucoreduced RBCs in additive solution PAGGS-M.辐照对添加液 PAGGS-M 中去白细胞红细胞(RBC)体外 RBC 储存变量的影响。
Vox Sang. 2011 Jul;101(1):21-7. doi: 10.1111/j.1423-0410.2010.01455.x. Epub 2010 Dec 14.
10
Biochemical storage lesions occurring in nonirradiated and irradiated red blood cells: a brief review.非辐照和辐照红细胞中发生的生化储存损伤:简要综述。
Biomed Res Int. 2015;2015:968302. doi: 10.1155/2015/968302. Epub 2015 Jan 29.

引用本文的文献

1
Effects of pre-storage leukoreduction on erythrocyte concentrates and performance of newer generation leuko-filters at a tertiary care oncology hospital in Western India.印度西部一家三级肿瘤专科医院中,储存前白细胞滤除对红细胞浓缩物的影响以及新一代白细胞滤器的性能
Afr J Lab Med. 2025 Jun 25;14(1):2723. doi: 10.4102/ajlm.v14i1.2723. eCollection 2025.
2
Impact of Different Red Blood Cell Storage Solutions and Conditions on Cell Function and Viability: A Systematic Review.不同红细胞储存液和条件对细胞功能和活力的影响:系统评价。
Biomolecules. 2024 Jul 8;14(7):813. doi: 10.3390/biom14070813.
3
Human leukocyte antigen alloimmunization prevention mechanisms in blood transfusion.

本文引用的文献

1
Preventing platelet-derived microparticle formation--and possible side effects-with prestorage leukofiltration of whole blood.通过全血储存前白细胞滤除来预防血小板衍生的微颗粒形成——以及可能的副作用。
Arch Pathol Lab Med. 2010 May;134(5):771-5. doi: 10.5858/134.5.771.
2
Changes in Band 3 oligomeric state precede cell membrane phospholipid loss during blood bank storage of red blood cells.在红细胞血库储存过程中,带3寡聚状态的变化先于细胞膜磷脂的丢失。
Transfusion. 2009 Jul;49(7):1435-42. doi: 10.1111/j.1537-2995.2009.02133.x. Epub 2009 Mar 23.
3
Erythrocyte ageing in vivo and in vitro: structural aspects and implications for transfusion.
输血中人类白细胞抗原同种免疫的预防机制
Asian J Transfus Sci. 2023 Jul-Dec;17(2):264-272. doi: 10.4103/ajts.ajts_144_21. Epub 2022 Sep 28.
4
Leukoreduced red cell concentrates: Are they meeting the quality standards?白细胞滤除红细胞浓缩液:它们是否符合质量标准?
Asian J Transfus Sci. 2023 Jul-Dec;17(2):151-156. doi: 10.4103/ajts.ajts_126_21. Epub 2022 Sep 28.
5
Effect of donor and red blood cells concentrate characteristics on recipient hemoglobin increment following red blood cells transfusion in pediatric patients.儿科患者输注红细胞后供体及红细胞浓缩物特征对受者血红蛋白增量的影响。
Pak J Med Sci. 2022 Jul-Aug;38(6):1420-1425. doi: 10.12669/pjms.38.6.5739.
6
Donor genetic and nongenetic factors affecting red blood cell transfusion effectiveness.影响红细胞输注效果的供体遗传和非遗传因素。
JCI Insight. 2022 Jan 11;7(1):e152598. doi: 10.1172/jci.insight.152598.
7
Increased Oxidative Stress in Acute Myeloid Leukemia Patients after Red Blood Cell Transfusion, but Not Platelet Transfusion, Results Mainly from the Oxidative/Nitrative Protein Damage: An Exploratory Study.红细胞输血而非血小板输血后急性髓系白血病患者氧化应激增加,主要源于氧化/硝化蛋白损伤:一项探索性研究
J Clin Med. 2021 Mar 25;10(7):1349. doi: 10.3390/jcm10071349.
8
Methodological considerations for linked blood donor-component-recipient analyses in transfusion medicine research.输血医学研究中关联献血者-血液成分-受血者分析的方法学考量
ISBT Sci Ser. 2020 Feb;15(1):185-193. doi: 10.1111/voxs.12518. Epub 2019 Aug 28.
9
Additive effects of blood donor smoking and gamma irradiation on outcome measures of red blood cell transfusion.献血者吸烟和γ射线辐照对红细胞输血结局指标的累加效应。
Transfusion. 2020 Jun;60(6):1175-1182. doi: 10.1111/trf.15833. Epub 2020 May 1.
10
Effect of donor, component, and recipient characteristics on hemoglobin increments following red blood cell transfusion.供者、成分和受者特征对红细胞输注后血红蛋白增加的影响。
Blood. 2019 Sep 26;134(13):1003-1013. doi: 10.1182/blood.2019000773. Epub 2019 Jul 26.
体内和体外红细胞衰老:结构方面及其对输血的影响
Transfus Med. 2008 Dec;18(6):335-47. doi: 10.1111/j.1365-3148.2008.00892.x.
4
Influence of prestorage leukoreduction and subsequent irradiation on in vitro red blood cell (RBC) storage variables of RBCs in additive solution saline-adenine-glucose-mannitol.储存前白细胞滤除及随后的辐照对添加溶液(生理盐水-腺嘌呤-葡萄糖-甘露醇)中红细胞体外储存变量的影响
Transfusion. 2009 Jan;49(1):75-80. doi: 10.1111/j.1537-2995.2008.01920.x. Epub 2008 Sep 16.
5
RBC-derived vesicles during storage: ultrastructure, protein composition, oxidation, and signaling components.储存期间红细胞衍生的囊泡:超微结构、蛋白质组成、氧化及信号成分
Transfusion. 2008 Sep;48(9):1943-53. doi: 10.1111/j.1537-2995.2008.01794.x. Epub 2008 Jun 28.
6
Evolution of adverse changes in stored RBCs.储存红细胞中不良变化的演变
Proc Natl Acad Sci U S A. 2007 Oct 23;104(43):17063-8. doi: 10.1073/pnas.0708160104. Epub 2007 Oct 11.
7
Deformability and viability of irradiated red cells.辐照红细胞的变形能力与生存能力。
Ann Ist Super Sanita. 2007;43(2):176-85.
8
Red blood cell (RBC) age at collection and storage influences RBC membrane-associated carbohydrates and lectin binding.采集和储存时红细胞(RBC)的年龄会影响与RBC膜相关的碳水化合物和凝集素结合。
Transfusion. 2007 Jun;47(6):966-8. doi: 10.1111/j.1537-2995.2007.01230.x.
9
Storage of equine red blood cells as a concentrate.马红细胞浓缩物的储存。
Vet J. 2008 May;176(2):227-31. doi: 10.1016/j.tvjl.2007.02.015. Epub 2007 Apr 20.
10
Progressive oxidation of cytoskeletal proteins and accumulation of denatured hemoglobin in stored red cells.储存红细胞中细胞骨架蛋白的渐进性氧化和变性血红蛋白的积累。
J Cell Mol Med. 2007 Jan-Feb;11(1):148-55. doi: 10.1111/j.1582-4934.2007.00008.x.