Suppr超能文献

强力霉素通过 MMP-9 和 p38 对 PMA 诱导的 NCI-H292 细胞 MUC5B 表达的影响。

The Effect of Doxycycline on PMA-Induced MUC5B Expression via MMP-9 and p38 in NCI-H292 Cells.

机构信息

Department of Otorhinolaryngology-Head and Neck Surgery, Yeungnam University College of Medicine, Daegu, Korea.

出版信息

Clin Exp Otorhinolaryngol. 2011 Dec;4(4):177-83. doi: 10.3342/ceo.2011.4.4.177. Epub 2011 Dec 15.

Abstract

OBJECTIVES

Doxycycline is commonly used in medicine for its bacteriostatic antimicrobial properties. Recent studies have reported that doxycycline also has anti-inflammatory effects. Matrix metalloproteinase (MMP)-9 has been found to be involved in the physiological and pathological process of inflammatory airway disease. Phorbol 12-myristate 13-acetate (PMA), a protein kinase C activator, is known to stimulate the expression of MMP and mucin genes in the airway and intestinal epithelial cells. Therefore, the effects and signal pathways of doxycycline on PMA-induced MUC5B expression dependent MMP-9 in human airway epithelial cells were investigated.

METHODS

In human NCI-H292 airway epithelial cells, MUC5B and MMP-9 mRNA expression, MUC5B protein expression, and MMP-9 protein activity after the treatment with PMA, MMP-9 or doxycycline were determined by reverse transcriptase-polymerase chain reaction, enzyme immunoassay, gelatin zymography, and Western blot analysis.

RESULTS

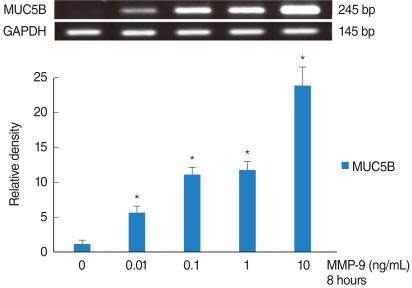
PMA increased MMP-9 and MUC5B expression. MMP-9 increased MUC5B expression. Doxycycline inhibited PMA-induced MUC5B expression, and PMA-induced MMP-9 mRNA expression and protein activity. Doxycycline inhibited phosphorylation of p38 induced by PMA and MMP-9.

CONCLUSION

The results of this study suggest that doxycycline inhibited PMA-induced MUC5B mRNA expression and protein production through the MMP-9 and p38 pathways in human NCI-H292 airway epithelial cells.

摘要

目的

多西环素因其抑菌抗菌特性在医学中被广泛应用。最近的研究表明,多西环素还具有抗炎作用。基质金属蛋白酶(MMP)-9 已被发现参与炎症性气道疾病的生理和病理过程。佛波醇 12-肉豆蔻酸 13-乙酸酯(PMA),一种蛋白激酶 C 激活剂,已知可刺激气道和肠上皮细胞中 MMP 和粘蛋白基因的表达。因此,研究了多西环素对 PMA 诱导的人气道上皮细胞中 MMP-9 依赖性 MUC5B 表达的作用及其信号通路。

方法

在人 NCI-H292 气道上皮细胞中,通过逆转录聚合酶链反应、酶免疫测定、明胶酶谱和 Western blot 分析,检测 PMA、MMP-9 或多西环素处理后 MUC5B 和 MMP-9 mRNA 表达、MUC5B 蛋白表达和 MMP-9 蛋白活性。

结果

PMA 增加了 MMP-9 和 MUC5B 的表达。MMP-9 增加了 MUC5B 的表达。多西环素抑制了 PMA 诱导的 MUC5B 表达,以及 PMA 诱导的 MMP-9 mRNA 表达和蛋白活性。多西环素抑制了 PMA 诱导的 p38 的磷酸化以及 MMP-9。

结论

本研究结果表明,多西环素通过人 NCI-H292 气道上皮细胞中的 MMP-9 和 p38 途径抑制了 PMA 诱导的 MUC5B mRNA 表达和蛋白产生。

https://cdn.ncbi.nlm.nih.gov/pmc/blobs/bf24/3250581/fa2961b6a9e8/ceo-4-177-g001.jpg

文献AI研究员

20分钟写一篇综述,助力文献阅读效率提升50倍。

立即体验

用中文搜PubMed

大模型驱动的PubMed中文搜索引擎

马上搜索

文档翻译

学术文献翻译模型,支持多种主流文档格式。

立即体验