Suppr超能文献

Spontaneous thymoma in a 10-week-old sprague-dawley rat.

作者信息

Tanaka Hideki, Suzuki Satoshi, Ninomiya Fumiko, Matsubara Kenji, Hakoi Kazuo

出版信息

J Toxicol Pathol. 2012 Mar;25(1):37-40. doi: 10.1293/tox.25.37.

Abstract

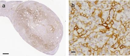
Spontaneous thymoma was found in the left lobe of the thymus of a male 10-week-old Sprague-Dawley (SD) rat. Microscopically, the thymic mass showed a sheet of dark area with multiple pale foci. The dark area mainly consisted of densely compacted small lymphoid cells with sporadic large epithelioid cells and mitotic figures. The epithelioid cells and mitotic figures were more frequent than those of the normal thymic cortex in this animal. The multiple pale foci were similar to the normal thymic medulla and occasionally had Hassall's corpuscles; thus, they were regarded as medullary differentiation areas. Furthermore, some perivascular spaces recognized as characteristics of thymoma were present in the center of the mass. Immunohistochemically, the epithelioid cells in the dark area were positive for cytokeratin. Ultrastructurally, desmosomes and tonofilaments were observed in the epithelioid cells. Thus, this tumor was diagnosed as a thymoma. This is a rare case of thymoma occurring spontaneously in young adult SD rat.

摘要
https://cdn.ncbi.nlm.nih.gov/pmc/blobs/02c7/3320155/ed67071db710/tox-25-037-g001.jpg

文献AI研究员

20分钟写一篇综述,助力文献阅读效率提升50倍。

立即体验

用中文搜PubMed

大模型驱动的PubMed中文搜索引擎

马上搜索

文档翻译

学术文献翻译模型,支持多种主流文档格式。

立即体验