• 文献检索
  • 文档翻译
  • 深度研究
  • 学术资讯
  • Suppr Zotero 插件Zotero 插件
  • 邀请有礼
  • 套餐&价格
  • 历史记录
应用&插件
Suppr Zotero 插件Zotero 插件浏览器插件Mac 客户端Windows 客户端微信小程序
定价
高级版会员购买积分包购买API积分包
服务
文献检索文档翻译深度研究API 文档MCP 服务
关于我们
关于 Suppr公司介绍联系我们用户协议隐私条款
关注我们

Suppr 超能文献

核心技术专利:CN118964589B侵权必究
粤ICP备2023148730 号-1Suppr @ 2026

文献检索

告别复杂PubMed语法,用中文像聊天一样搜索,搜遍4000万医学文献。AI智能推荐,让科研检索更轻松。

立即免费搜索

文件翻译

保留排版,准确专业,支持PDF/Word/PPT等文件格式,支持 12+语言互译。

免费翻译文档

深度研究

AI帮你快速写综述,25分钟生成高质量综述,智能提取关键信息,辅助科研写作。

立即免费体验

髓母细胞瘤放疗10年后放射性脑膜瘤与烟雾病综合征并存:一例报告

Coexistence of Radiation-Induced Meningioma and Moyamoya Syndrome 10 Years after Irradiation against Medulloblastoma: a Case Report.

作者信息

Han Ji Yeon, Choi Jung Won, Wang Kyu Chang, Phi Ji Hoon, Lee Ji Yeoun, Chae Jong Hee, Park Sung Hye, Cheon Jung Eun, Kim Seung Ki

机构信息

Department of Pediatrics, Seoul National University Children's Hospital, Seoul National University College of Medicine, Seoul, Korea.

Division of Pediatric Neurosurgery, Seoul National University Children's Hospital, Seoul National University College of Medicine, Seoul, Korea.

出版信息

J Korean Med Sci. 2017 Nov;32(11):1896-1902. doi: 10.3346/jkms.2017.32.11.1896.

DOI:10.3346/jkms.2017.32.11.1896
PMID:28960048
原文链接:https://pmc.ncbi.nlm.nih.gov/articles/PMC5639076/
Abstract

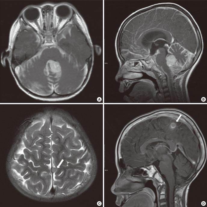
Radiotherapy is one of the standard treatments for medulloblastoma. However, therapeutic central nervous system irradiation in children may carry delayed side effects, such as radiation-induced tumor and vasculopathy. Here, we report the first case of coexisting meningioma and moyamoya syndrome, presenting 10 years after radiotherapy for medulloblastoma. A 13-year-old boy presented with an enhancing mass at the cerebral falx on magnetic resonance imaging (MRI) after surgery, radiotherapy (30.6 Gy craniospinal axis, 19.8 Gy posterior fossa) and chemotherapy against medulloblastoma 10 years ago, previously. The second tumor was meningioma. On postoperative day 5, he complained of right-sided motor weakness, motor dysphasia, dysarthria, and dysphagia. MRI revealed acute cerebral infarction in the left frontal lobe and both basal ganglia. MR and cerebral angiography confirmed underlying moyamoya syndrome. Four months after the meningioma surgery, the patient presented with headaches, dysarthria, and dizziness. Indirect bypass surgery was performed. He has been free from headaches since one month after the surgery. For patients who received radiotherapy for medulloblastoma at a young age, clinicians should consider the possibility of the coexistence of several complications. Careful follow up for development of secondary tumor and delayed vasculopathy is required.

摘要

放射治疗是髓母细胞瘤的标准治疗方法之一。然而,儿童中枢神经系统放射治疗可能会带来延迟性副作用,如放射性肿瘤和血管病变。在此,我们报告首例在髓母细胞瘤放疗10年后同时出现脑膜瘤和烟雾病综合征的病例。一名13岁男孩10年前曾接受髓母细胞瘤手术、放疗(全脑全脊髓轴30.6 Gy,后颅窝19.8 Gy)及化疗,此次磁共振成像(MRI)检查发现大脑镰处有一强化肿块。第二个肿瘤为脑膜瘤。术后第5天,他出现右侧肢体运动无力、运动性失语、构音障碍和吞咽困难。MRI显示左侧额叶及双侧基底节区急性脑梗死。磁共振血管造影和脑血管造影证实存在潜在的烟雾病综合征。脑膜瘤手术后4个月,患者出现头痛、构音障碍和头晕。遂进行了间接搭桥手术。术后1个月起患者头痛症状消失。对于幼年接受髓母细胞瘤放疗的患者,临床医生应考虑多种并发症并存的可能性。需要对继发性肿瘤和延迟性血管病变的发生进行密切随访。

https://cdn.ncbi.nlm.nih.gov/pmc/blobs/b9a4/5639076/11bcf8d828da/jkms-32-1896-g003.jpg
https://cdn.ncbi.nlm.nih.gov/pmc/blobs/b9a4/5639076/f39276f96ed5/jkms-32-1896-g001.jpg
https://cdn.ncbi.nlm.nih.gov/pmc/blobs/b9a4/5639076/3a260b9aeb34/jkms-32-1896-g002.jpg
https://cdn.ncbi.nlm.nih.gov/pmc/blobs/b9a4/5639076/11bcf8d828da/jkms-32-1896-g003.jpg
https://cdn.ncbi.nlm.nih.gov/pmc/blobs/b9a4/5639076/f39276f96ed5/jkms-32-1896-g001.jpg
https://cdn.ncbi.nlm.nih.gov/pmc/blobs/b9a4/5639076/3a260b9aeb34/jkms-32-1896-g002.jpg
https://cdn.ncbi.nlm.nih.gov/pmc/blobs/b9a4/5639076/11bcf8d828da/jkms-32-1896-g003.jpg