Gonçalves Débora Cristina Gaspar, Santos Tiago Soares, Silva Vera Claúdia Miranda, Costa Hugo Narcy Amaral Amorim, Carvalho Carlos Magalhães Ferreira
Clinic of Otorhinolaryngology, Centro Hospitalar de Entre o Douro e Vouga, Santa Maria da Feira, Porto, Portugal.
Department of Otorhinolaryngology, Unit for Multidisciplinary Research in Biomedicine, "Abel Salazar" School of Medicine, Biomedical Sciences - University of Porto, Porto, Portugal.
Turk Arch Otorhinolaryngol. 2022 Dec;60(4):234-237. doi: 10.4274/tao.2022.2022-7-7. Epub 2023 Jul 7.
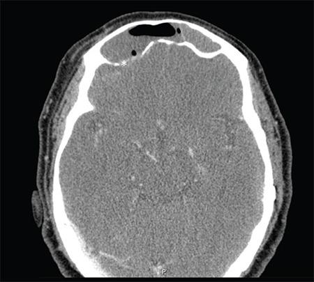
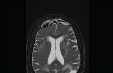
Frontal sinus keratoma or cholesteatoma is a rare disease of paranasal sinuses and presents as a slow-growing mass that becomes symptomatic as it grows to the surrounding structures. Intracranial complications are not a common presentation and are potentially life-threatening. Frequently the final diagnosis is only made intraoperatively because several other frontal sinus tumors behave likewise. Definitive treatment requires complete removal of the keratoma, and a combined endoscopic and external frontal sinus approach is a good treatment option. In this report, we presented a 68-year-old female with frontal sinus cholesteatoma with diagnostic and therapeutic features of this pathology with the review of the literature.
额窦角化瘤或胆脂瘤是一种罕见的鼻窦疾病,表现为生长缓慢的肿块,随着其向周围结构生长而出现症状。颅内并发症并不常见,但可能危及生命。由于其他几种额窦肿瘤也有类似表现,所以最终诊断往往只能在术中做出。明确的治疗需要彻底切除角化瘤,联合内镜和额窦外入路是一种很好的治疗选择。在本报告中,我们介绍了一名68岁患有额窦胆脂瘤的女性患者,阐述了该病理的诊断和治疗特点,并对相关文献进行了综述。