Suppr超能文献

1型神经纤维瘤病——光学相干断层扫描血管造影可检测到的视网膜改变

Neurofibromatosis Type 1-Retinal Alterations Detectable with Optical Coherence Tomography Angiography.

作者信息

Târtea Anca Elena, Mocanu Carmen Luminița, Ștefănescu Dima Alin Ștefan, Tănasie Andreea Cornelia, Maria Veronica, Dan Alexandra Oltea, Bălășoiu Andrei Theodor

机构信息

Department of Neurology, University of Medicine and Pharmacy of Craiova, 200349 Craiova, Romania.

Department of Ophthalmology, University of Medicine and Pharmacy of Craiova, 200349 Craiova, Romania.

出版信息

Diagnostics (Basel). 2024 Jul 6;14(13):1447. doi: 10.3390/diagnostics14131447.

Abstract

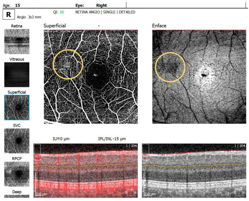
Neurofibromatosis type 1 (NF 1) is a multisystemic genetic disorder involving aberrant proliferation of multiple tissues of a neural crest origin. It represents a tumor predisposition syndrome characterized by a wide range of clinical manifestations, such as benign tumors, which primarily affect the skin and the nervous system. The most frequent clinical signs of NF 1 include café-au-lait spots all over the surface of the skin and axillary freckling; however, these signs can be accompanied by more severe manifestations such as the growth of both benign and malignant nervous system tumors and skeletal dysplasia, as well as a wide range of ocular manifestations. We report the rare case of retinal microvascular alterations and choroidal nodules in a 15 year old male patient with NF 1, detectable on optical coherence tomography angiography (OCTA). The hyperreflective choroidal nodules modified the profile of the choroidal vasculature. The retinal microvascular alterations in the form of clustered capillaries were detected in the superficial capillary plexus located nasally to the macular region. Retinal vascular abnormalities undetectable on fundus photography or fundoscopy can be present in patients with NF 1. Indirect ophthalmoscopy of our study patient was unremarkable. However, retinal vascular abnormalities were seen on OCTA scans in the superficial capillary plexus and choroidal nodules were detected on raster OCT scans. OCTA represents a useful imaging technique for detecting retinal microvascular abnormalities, which can be considered additional distinctive signs of NF 1.

摘要

1型神经纤维瘤病(NF 1)是一种多系统遗传性疾病,涉及神经嵴起源的多个组织异常增殖。它是一种肿瘤易感性综合征,具有广泛的临床表现,如主要影响皮肤和神经系统的良性肿瘤。NF 1最常见的临床体征包括遍布皮肤表面的咖啡牛奶斑和腋窝雀斑;然而,这些体征可能伴有更严重的表现,如良性和恶性神经系统肿瘤的生长、骨骼发育异常以及广泛的眼部表现。我们报告了一例15岁男性NF 1患者视网膜微血管改变和脉络膜结节的罕见病例,这些在光学相干断层扫描血管造影(OCTA)上可检测到。高反射性脉络膜结节改变了脉络膜血管的形态。在黄斑区鼻侧的浅表毛细血管丛中检测到呈簇状毛细血管形式的视网膜微血管改变。NF 1患者可能存在眼底照相或检眼镜检查无法检测到的视网膜血管异常。我们研究的患者间接检眼镜检查无异常。然而,在OCTA扫描中可见浅表毛细血管丛的视网膜血管异常,在光栅OCT扫描中检测到脉络膜结节。OCTA是一种用于检测视网膜微血管异常的有用成像技术,可被视为NF 1的额外独特体征。

https://cdn.ncbi.nlm.nih.gov/pmc/blobs/ca6c/11240892/53d61bc5c7b9/diagnostics-14-01447-g001.jpg

文献检索

告别复杂PubMed语法,用中文像聊天一样搜索,搜遍4000万医学文献。AI智能推荐,让科研检索更轻松。

立即免费搜索

文件翻译

保留排版,准确专业,支持PDF/Word/PPT等文件格式,支持 12+语言互译。

免费翻译文档

深度研究

AI帮你快速写综述,25分钟生成高质量综述,智能提取关键信息,辅助科研写作。

立即免费体验