Suppr超能文献

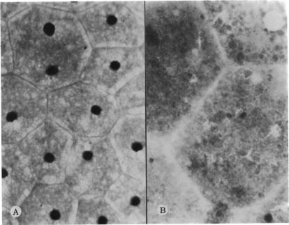
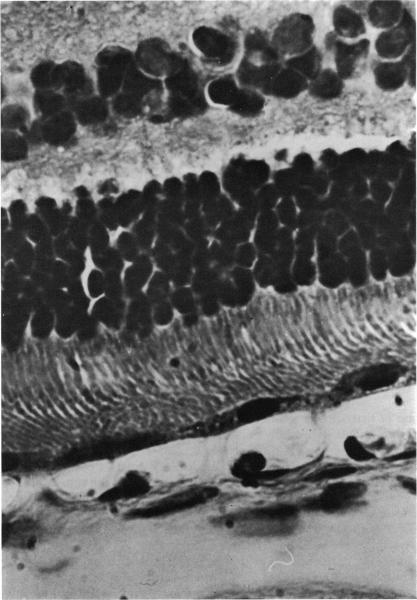
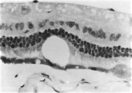
Reaction of the rabbit retinal pigment ipithelium to systemic lead poisoning.

作者信息

Brown D V

出版信息

Trans Am Ophthalmol Soc. 1974;72:404-47.

Abstract
摘要
https://cdn.ncbi.nlm.nih.gov/pmc/blobs/3a80/1311407/241976cd4f8d/taos00027-0442-a.jpg

文献AI研究员

20分钟写一篇综述,助力文献阅读效率提升50倍。

立即体验

用中文搜PubMed

大模型驱动的PubMed中文搜索引擎

马上搜索

文档翻译

学术文献翻译模型,支持多种主流文档格式。

立即体验