Suppr超能文献

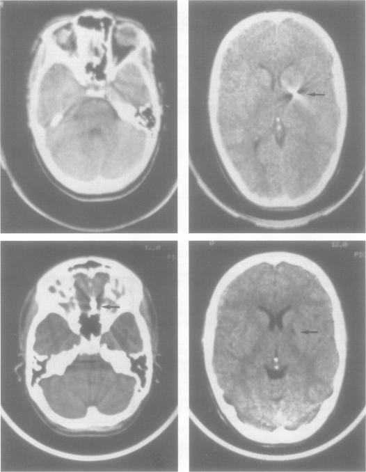
Spontaneous migration of airgun pellet in the brain.

作者信息

Guazzo E P

机构信息

University of Cambridge Department of Neurosurgery, Addenbrooke's Hospital, UK.

出版信息

J Neurol Neurosurg Psychiatry. 1994 Apr;57(4):404. doi: 10.1136/jnnp.57.4.404.

Abstract
摘要
https://cdn.ncbi.nlm.nih.gov/pmc/blobs/fcf4/1072866/3c3b33bafee0/jnnpsyc00034-0004-a.jpg

文献AI研究员

20分钟写一篇综述,助力文献阅读效率提升50倍。

立即体验

用中文搜PubMed

大模型驱动的PubMed中文搜索引擎

马上搜索

文档翻译

学术文献翻译模型,支持多种主流文档格式。

立即体验