Haney C A, Sahenk Z, Li C, Lemmon V P, Roder J, Trapp B D
Department of Neuroscience, School of Medicine, Case Western Reserve University, Cleveland, Ohio 44106, USA.
J Cell Biol. 1999 Sep 6;146(5):1173-84. doi: 10.1083/jcb.146.5.1173.
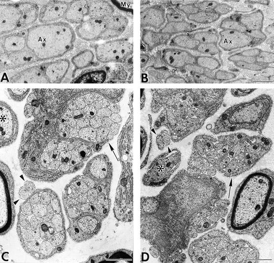
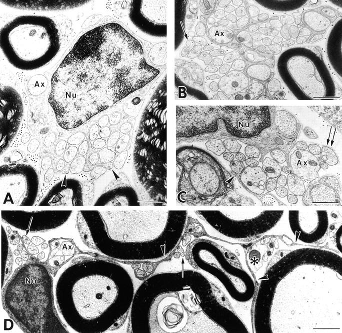
This study investigated the function of the adhesion molecule L1 in unmyelinated fibers of the peripheral nervous system (PNS) by analysis of L1- deficient mice. We demonstrate that L1 is present on axons and Schwann cells of sensory unmyelinated fibers, but only on Schwann cells of sympathetic unmyelinated fibers. In L1-deficient sensory nerves, Schwann cells formed but failed to retain normal axonal ensheathment. L1-deficient mice had reduced sensory function and loss of unmyelinated axons, while sympathetic unmyelinated axons appeared normal. In nerve transplant studies, loss of axonal-L1, but not Schwann cell-L1, reproduced the L1-deficient phenotype. These data establish that heterophilic axonal-L1 interactions mediate adhesion between unmyelinated sensory axons and Schwann cells, stabilize the polarization of Schwann cell surface membranes, and mediate a trophic effect that assures axonal survival.
本研究通过对L1基因缺陷小鼠的分析,探究了粘附分子L1在周围神经系统(PNS)无髓鞘纤维中的功能。我们证明,L1存在于感觉性无髓鞘纤维的轴突和施万细胞上,但仅存在于交感神经无髓鞘纤维的施万细胞上。在L1基因缺陷的感觉神经中,施万细胞形成,但未能保持正常的轴突包绕。L1基因缺陷小鼠的感觉功能降低,无髓鞘轴突丧失,而交感神经无髓鞘轴突外观正常。在神经移植研究中,轴突L1的缺失而非施万细胞L1的缺失再现了L1基因缺陷的表型。这些数据表明,异嗜性轴突-L1相互作用介导无髓鞘感觉轴突与施万细胞之间的粘附,稳定施万细胞表面膜的极化,并介导一种确保轴突存活的营养作用。