• 文献检索
  • 文档翻译
  • 深度研究
  • 学术资讯
  • Suppr Zotero 插件Zotero 插件
  • 邀请有礼
  • 套餐&价格
  • 历史记录
应用&插件
Suppr Zotero 插件Zotero 插件浏览器插件Mac 客户端Windows 客户端微信小程序
定价
高级版会员购买积分包购买API积分包
服务
文献检索文档翻译深度研究API 文档MCP 服务
关于我们
关于 Suppr公司介绍联系我们用户协议隐私条款
关注我们

Suppr 超能文献

核心技术专利:CN118964589B侵权必究
粤ICP备2023148730 号-1Suppr @ 2026

文献检索

告别复杂PubMed语法,用中文像聊天一样搜索,搜遍4000万医学文献。AI智能推荐,让科研检索更轻松。

立即免费搜索

文件翻译

保留排版,准确专业,支持PDF/Word/PPT等文件格式,支持 12+语言互译。

免费翻译文档

深度研究

AI帮你快速写综述,25分钟生成高质量综述,智能提取关键信息,辅助科研写作。

立即免费体验

核苷三磷酸二磷酸水解酶-1(NTPDase-1,即CD39)在异种移植排斥反应中的调节作用 [核苷酸误,应为核苷]

Modulation of nucleoside [correction of nucleotide] triphosphate diphosphohydrolase-1 (NTPDase-1)cd39 in xenograft rejection.

作者信息

Imai M, Takigami K, Guckelberger O, Enjyoji K, Smith R N, Lin Y, Csizmadia E, Sévigny J, Rosenberg R D, Bach F H, Robson S C

机构信息

Department of Surgery, Beth Israel Deaconess Medical Center, Harvard Medical School, Boston, MA, USA.

出版信息

Mol Med. 1999 Nov;5(11):743-52.

PMID:10656876
原文链接:https://pmc.ncbi.nlm.nih.gov/articles/PMC2230486/
Abstract

BACKGROUND

There is increasing evidence showing that extracellular nucleosides [corrected] may be important mediators of vascular inflammation. Nucleoside [corrected] triphosphate diphosphohydrolase-1 (NTPDase-1, identical to CD39), the major vascular endothelial ectonucleotidase, is responsible for the hydrolysis of both extracellular ATP and ADP in the blood plasma to AMP. Studies were therefore conducted to evaluate the role of vascular NTPDase-1/cd39 in modulating platelet activation and vascular injury in cardiac xenografts.

MATERIALS AND METHODS

Cardiac xenografts from both wild-type and cd39 knockout mice (C57BL/6 x 129 Svj) were transplanted into Lewis rats. Alterations in cd39 mRNA transcripts and NTPDase activity expression were evaluated in wild-type grafts in untreated rats and then following complement depletion and immunosuppression. Rejection responses were studied with both mutant and wild-type grafts in the following models: presensitization with or without complement depletion, complement depletion alone, and with chronic immunosuppression to induce long-term graft survival.

RESULTS

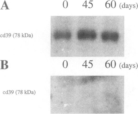
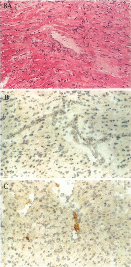
NTPDase biochemical activity in wild-type xenografts rapidly decreased after transplantation but soon rebounded with graft survival. Elevated levels of cd39 mRNA with associated increases in NTPDase activity were observed in all long-term surviving wild-type grafts. Hyperacute xenograft rejection times were comparable in wild-type and mutant grafts but cd39-deficient grafts were subject to more rapid rejection and exhibited pronounced vascular injury in complement-depleted, presensitized rats. The cd39-deficient grafts in immunosuppressed recipients were subject to increased intravascular platelet sequestration and fibrin deposition; this resulted in focal myocardial infarction in long-term surviving mutant xenografts.

CONCLUSIONS

Augmentation of NTPDase-1 activity may be an important adaptive response for graft survival. Our results suggest that NTPDase-1/cd39 influences pathways of vascular injury in cardiac xenografts.

摘要

背景

越来越多的证据表明,细胞外核苷可能是血管炎症的重要介质。核苷三磷酸二磷酸水解酶-1(NTPDase-1,等同于CD39)是主要的血管内皮外核苷酸酶,负责将血浆中的细胞外ATP和ADP水解为AMP。因此,开展了相关研究以评估血管NTPDase-1/CD39在调节心脏异种移植中血小板活化和血管损伤方面的作用。

材料与方法

将野生型和cd39基因敲除小鼠(C57BL/6×129 Svj)的心脏异种移植到Lewis大鼠体内。在未处理的大鼠的野生型移植物中,以及在补体耗竭和免疫抑制后,评估cd39 mRNA转录本和NTPDase活性表达的变化。在以下模型中,对突变型和野生型移植物的排斥反应进行了研究:有或无补体耗竭的预致敏、单独补体耗竭以及慢性免疫抑制以诱导长期移植物存活。

结果

野生型异种移植物中的NTPDase生化活性在移植后迅速下降,但随着移植物存活很快反弹。在所有长期存活的野生型移植物中,均观察到cd39 mRNA水平升高以及NTPDase活性相应增加。野生型和突变型移植物的超急性异种移植排斥时间相当,但在补体耗竭的预致敏大鼠中,cd39缺陷型移植物遭受更快速的排斥,并表现出明显的血管损伤。免疫抑制受体中的cd39缺陷型移植物血管内血小板扣押和纤维蛋白沉积增加;这导致长期存活的突变型异种移植物发生局灶性心肌梗死。

结论

NTPDase-1活性增强可能是移植物存活的重要适应性反应。我们的结果表明,NTPDase-1/CD39影响心脏异种移植中的血管损伤途径。

https://cdn.ncbi.nlm.nih.gov/pmc/blobs/dfe7/2230486/90a7dff3e665/molmed00011-0048-c.jpg
https://cdn.ncbi.nlm.nih.gov/pmc/blobs/dfe7/2230486/5d73de938192/molmed00011-0046-a.jpg
https://cdn.ncbi.nlm.nih.gov/pmc/blobs/dfe7/2230486/92f5bcaa2a3f/molmed00011-0046-b.jpg
https://cdn.ncbi.nlm.nih.gov/pmc/blobs/dfe7/2230486/211a0d5bdc54/molmed00011-0047-a.jpg
https://cdn.ncbi.nlm.nih.gov/pmc/blobs/dfe7/2230486/e47cb59e0cca/molmed00011-0048-a.jpg
https://cdn.ncbi.nlm.nih.gov/pmc/blobs/dfe7/2230486/c6af1ba43555/molmed00011-0048-b.jpg
https://cdn.ncbi.nlm.nih.gov/pmc/blobs/dfe7/2230486/90a7dff3e665/molmed00011-0048-c.jpg
https://cdn.ncbi.nlm.nih.gov/pmc/blobs/dfe7/2230486/5d73de938192/molmed00011-0046-a.jpg
https://cdn.ncbi.nlm.nih.gov/pmc/blobs/dfe7/2230486/92f5bcaa2a3f/molmed00011-0046-b.jpg
https://cdn.ncbi.nlm.nih.gov/pmc/blobs/dfe7/2230486/211a0d5bdc54/molmed00011-0047-a.jpg
https://cdn.ncbi.nlm.nih.gov/pmc/blobs/dfe7/2230486/e47cb59e0cca/molmed00011-0048-a.jpg
https://cdn.ncbi.nlm.nih.gov/pmc/blobs/dfe7/2230486/c6af1ba43555/molmed00011-0048-b.jpg
https://cdn.ncbi.nlm.nih.gov/pmc/blobs/dfe7/2230486/90a7dff3e665/molmed00011-0048-c.jpg

相似文献

1
Modulation of nucleoside [correction of nucleotide] triphosphate diphosphohydrolase-1 (NTPDase-1)cd39 in xenograft rejection.核苷三磷酸二磷酸水解酶-1(NTPDase-1,即CD39)在异种移植排斥反应中的调节作用 [核苷酸误,应为核苷]
Mol Med. 1999 Nov;5(11):743-52.
2
Ectonucleotidases of CD39 family modulate vascular inflammation and thrombosis in transplantation.CD39家族的外核苷酸酶调节移植中的血管炎症和血栓形成。
Semin Thromb Hemost. 2005 Apr;31(2):217-33. doi: 10.1055/s-2005-869527.
3
Beneficial effects of CD39/ecto-nucleoside triphosphate diphosphohydrolase-1 in murine intestinal ischemia-reperfusion injury.CD39/胞外核苷三磷酸二磷酸水解酶-1在小鼠肠道缺血再灌注损伤中的有益作用。
Thromb Haemost. 2004 Mar;91(3):576-86. doi: 10.1160/TH03-06-0373.
4
Recombinant adenoviral mediated CD39 gene transfer prolongs cardiac xenograft survival.重组腺病毒介导的CD39基因转移可延长心脏异种移植的存活时间。
Transplantation. 2000 Sep 27;70(6):864-70. doi: 10.1097/00007890-200009270-00003.
5
A study of the imbalance in B cell-expressed nucleoside triphosphate diphosphohydrolase 1-induced ADP degradation in graft injury during acute antibody-mediated rejection.研究在急性抗体介导的排斥反应中移植物损伤期间 B 细胞表达的核苷酸三磷酸二磷酸水解酶 1 诱导的 ADP 降解失衡。
Transpl Immunol. 2012 Dec;27(4):175-8. doi: 10.1016/j.trim.2012.07.004. Epub 2012 Aug 4.
6
CD39/ectonucleoside triphosphate diphosphohydrolase 1 provides myocardial protection during cardiac ischemia/reperfusion injury.CD39/外切核苷酸三磷酸二磷酸水解酶1在心脏缺血/再灌注损伤期间提供心肌保护。
Circulation. 2007 Oct 16;116(16):1784-94. doi: 10.1161/CIRCULATIONAHA.107.690180. Epub 2007 Oct 1.
7
Targeted disruption of cd39/ATP diphosphohydrolase results in disordered hemostasis and thromboregulation.CD39/ATP二磷酸水解酶的靶向破坏导致止血和血栓调节紊乱。
Nat Med. 1999 Sep;5(9):1010-7. doi: 10.1038/12447.
8
CD39 modulates endothelial cell activation and apoptosis.CD39调节内皮细胞的激活和凋亡。
Mol Med. 2000 Jul;6(7):591-603.
9
CD39/vascular ATP diphosphohydrolase modulates xenograft survival.CD39/血管ATP二磷酸水解酶调节异种移植的存活。
Transplant Proc. 2000 Aug;32(5):969. doi: 10.1016/s0041-1345(00)01065-4.
10
Targeting platelet aggregation: CD39 gene transfer augments nucleoside triphosphate diphosphohydrolase activity in injured rabbit arteries.靶向血小板聚集:CD39基因转移增强损伤兔动脉中的核苷三磷酸二磷酸水解酶活性。
Surgery. 2001 Aug;130(2):296-303. doi: 10.1067/msy.2001.116032.

引用本文的文献

1
K121Q polymorphism in the Ectonucleotide Pyrophosphatase/Phosphodiesterase 1 gene is associated with acute kidney rejection.Ectonucleotide Pyrophosphatase/Phosphodiesterase 1 基因中的 K121Q 多态性与急性肾排斥反应有关。
PLoS One. 2019 Jul 18;14(7):e0219062. doi: 10.1371/journal.pone.0219062. eCollection 2019.
2
Development of a novel strategy to target CD39 antithrombotic activity to the endothelial-platelet microenvironment in kidney ischemia-reperfusion injury.开发一种将CD39抗血栓活性靶向至肾脏缺血再灌注损伤中内皮细胞-血小板微环境的新策略。
Purinergic Signal. 2017 Jun;13(2):259-265. doi: 10.1007/s11302-017-9558-3. Epub 2017 Mar 25.
3

本文引用的文献

1
Suppression of ATP diphosphohydrolase/CD39 in human vascular endothelial cells.人血管内皮细胞中ATP二磷酸水解酶/CD39的抑制作用
Biochemistry. 1999 Oct 12;38(41):13473-9. doi: 10.1021/bi990543p.
2
Targeted disruption of cd39/ATP diphosphohydrolase results in disordered hemostasis and thromboregulation.CD39/ATP二磷酸水解酶的靶向破坏导致止血和血栓调节紊乱。
Nat Med. 1999 Sep;5(9):1010-7. doi: 10.1038/12447.
3
Factors in xenograft rejection.异种移植排斥反应的因素。
The Role of Ectonucleotidases CD39 and CD73 and Adenosine Signaling in Solid Organ Transplantation.
外核苷酸酶CD39和CD73以及腺苷信号在实体器官移植中的作用
Front Immunol. 2014 Feb 18;5:64. doi: 10.3389/fimmu.2014.00064. eCollection 2014.
4
Ectonucleotidases in solid organ and allogeneic hematopoietic cell transplantation.实体器官和异基因造血细胞移植中的外核苷酸酶
J Biomed Biotechnol. 2012;2012:208204. doi: 10.1155/2012/208204. Epub 2012 Oct 16.
5
Liver damage and systemic inflammatory responses are exacerbated by the genetic deletion of CD39 in total hepatic ischemia.在全肝缺血中,CD39 的基因缺失会加剧肝损伤和全身炎症反应。
Purinergic Signal. 2011 Dec;7(4):427-34. doi: 10.1007/s11302-011-9239-6. Epub 2011 Jun 9.
6
Which anti-platelet therapies might be beneficial in xenotransplantation?在异种移植中,哪些抗血小板治疗可能是有益的?
Xenotransplantation. 2011 Mar-Apr;18(2):79-87. doi: 10.1111/j.1399-3089.2011.00628.x.
7
Ectonucleotidases in the kidney.肾脏中的细胞外核苷酸酶。
Purinergic Signal. 2009 Dec;5(4):501-11. doi: 10.1007/s11302-009-9152-4. Epub 2009 Mar 31.
8
Coagulation dysregulation as a barrier to xenotransplantation in the primate.凝血功能失调作为灵长类动物异种移植的一个障碍。
Transpl Immunol. 2009 Jun;21(2):75-80. doi: 10.1016/j.trim.2008.10.008. Epub 2008 Nov 10.
9
Central role of Sp1-regulated CD39 in hypoxia/ischemia protection.Sp1 调控的 CD39 在缺氧/缺血保护中的核心作用
Blood. 2009 Jan 1;113(1):224-32. doi: 10.1182/blood-2008-06-165746. Epub 2008 Sep 23.
10
Overexpression of CD39/nucleoside triphosphate diphosphohydrolase-1 decreases smooth muscle cell proliferation and prevents neointima formation after angioplasty.CD39/核苷三磷酸二磷酸水解酶-1的过表达可减少平滑肌细胞增殖,并防止血管成形术后新生内膜形成。
J Thromb Haemost. 2008 Jul;6(7):1191-7. doi: 10.1111/j.1538-7836.2008.03019.x. Epub 2008 Jul 1.
Ann N Y Acad Sci. 1999 Jun 18;875:261-76. doi: 10.1111/j.1749-6632.1999.tb08509.x.
4
Structural elements and limited proteolysis of CD39 influence ATP diphosphohydrolase activity.CD39的结构元件和有限的蛋白水解作用影响ATP二磷酸水解酶活性。
Biochemistry. 1999 Feb 23;38(8):2248-58. doi: 10.1021/bi982426k.
5
Transient complement inhibition plus T-cell immunosuppression induces long-term survival of mouse-to-rat cardiac xenografts.短暂性补体抑制加T细胞免疫抑制可诱导小鼠到大鼠心脏异种移植的长期存活。
Transplantation. 1998 May 15;65(9):1210-5. doi: 10.1097/00007890-199805150-00012.
6
Xenotransplantation: problems and prospects.异种移植:问题与前景
Annu Rev Med. 1998;49:301-10. doi: 10.1146/annurev.med.49.1.301.
7
Pharmacological characterization of endothelial cell nitric oxide synthase inhibitors in isolated rabbit aorta.内皮细胞一氧化氮合酶抑制剂在离体兔主动脉中的药理学特性
Life Sci. 1998;62(6):479-90. doi: 10.1016/s0024-3205(97)01144-2.
8
Extracellular ATP triggers IL-1 beta release by activating the purinergic P2Z receptor of human macrophages.细胞外ATP通过激活人类巨噬细胞的嘌呤能P2Z受体触发白细胞介素-1β的释放。
J Immunol. 1997 Aug 1;159(3):1451-8.
9
Modulation of vascular ATP diphosphohydrolase by fatty acids.脂肪酸对血管ATP二磷酸水解酶的调节作用。
Blood Coagul Fibrinolysis. 1997 Jan;8(1):21-7. doi: 10.1097/00001721-199701000-00005.
10
The endothelial cell ecto-ADPase responsible for inhibition of platelet function is CD39.负责抑制血小板功能的内皮细胞外ADP酶是CD39。
J Clin Invest. 1997 Mar 15;99(6):1351-60. doi: 10.1172/JCI119294.