Suppr超能文献

AIM-1激酶的下调与人类造血细胞的巨核细胞多倍体化相关。

Downregulation of an AIM-1 kinase couples with megakaryocytic polyploidization of human hematopoietic cells.

作者信息

Kawasaki A, Matsumura I, Ezoe S, Tanaka H, Terada Y, Tatsuka M, Machii T, Miyazaki H, Furukawa Y, Kanakura Y

机构信息

Department of Hematology/Oncology, Osaka University Medical School, Osaka 565-0871, Japan.

出版信息

J Cell Biol. 2001 Jan 22;152(2):275-87. doi: 10.1083/jcb.152.2.275.

Abstract

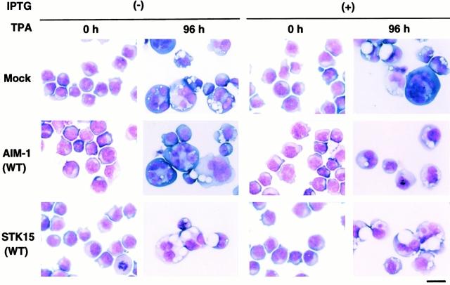
During the late phase of megakaryopoiesis, megakaryocytes undergo polyploidization, which is characterized by DNA duplication without concomitant cell division. However, it remains unknown by which mechanisms this process occurs. AIM-1 and STK15 belong to the Aurora/increase-in-ploidy (Ipl)1 serine/threonine kinase family and play key roles in mitosis. In a human interleukin-3-dependent cell line, F-36P, the expressions of AIM-1 and STK15 mRNA were specifically observed at G2/M phase of the cell cycle during proliferation. In contrast, the expressions of AIM-1 and STK15 were continuously repressed during megakaryocytic polyploidization of human erythro/megakaryocytic cell lines (F-36P, K562, and CMK) treated with thrombopoietin, activated ras (H-ras(G12V)), or phorbol ester. Furthermore, their expressions were suppressed during thrombopoietin-induced polyploidization of normal human megakaryocytes. Activation of AIM-1 by the induced expression of AIM-1(wild-type) canceled TPA-induced polyploidization of K562 cells significantly, whereas that of STK15 did not. Moreover, suppression of AIM-1 by the induced expression of AIM-1 (K/R, dominant-negative type) led to polyploidization in 25% of K562 cells, whereas STK15(K/R) showed no effect. Also, the induced expression of AIM-1(K/R) in CMK cells provoked polyploidization up to 32N. These results suggested that downregulation of AIM-1 at M phase may be involved in abortive mitosis and polyploid formation of megakaryocytes.

摘要

在巨核细胞生成的后期,巨核细胞经历多倍体化,其特征是DNA复制但无伴随的细胞分裂。然而,该过程通过何种机制发生仍不清楚。AIM-1和STK15属于极光/多倍体增加(Ipl)1丝氨酸/苏氨酸激酶家族,在有丝分裂中起关键作用。在人白细胞介素-3依赖细胞系F-36P中,在增殖过程中细胞周期的G2/M期特异性观察到AIM-1和STK15 mRNA的表达。相反,在用血小板生成素、活化的ras(H-ras(G12V))或佛波酯处理的人红系/巨核细胞系(F-36P、K562和CMK)的巨核细胞多倍体化过程中,AIM-1和STK15的表达持续受到抑制。此外,在血小板生成素诱导的正常人巨核细胞多倍体化过程中它们的表达也受到抑制。通过诱导表达AIM-1(野生型)激活AIM-1可显著消除TPA诱导的K562细胞多倍体化,而STK15则不能。此外,通过诱导表达AIM-1(K/R,显性负性型)抑制AIM-1导致25%的K562细胞发生多倍体化,而STK15(K/R)则无此作用。同样,在CMK细胞中诱导表达AIM-1(K/R)可使多倍体化达到高达32N。这些结果表明,M期AIM-1的下调可能与巨核细胞的有丝分裂失败和多倍体形成有关。

https://cdn.ncbi.nlm.nih.gov/pmc/blobs/4ff7/2199624/464a3edab052/JCB0003093.f1.jpg

文献检索

告别复杂PubMed语法,用中文像聊天一样搜索,搜遍4000万医学文献。AI智能推荐,让科研检索更轻松。

立即免费搜索

文件翻译

保留排版,准确专业,支持PDF/Word/PPT等文件格式,支持 12+语言互译。

免费翻译文档

深度研究

AI帮你快速写综述,25分钟生成高质量综述,智能提取关键信息,辅助科研写作。

立即免费体验