Suppr超能文献

从人肝素后血浆中纯化得到的耐盐脂肪酶和脂蛋白脂肪酶的特性

Properties of salt-resistant lipase and lipoprotein lipase purified from human post-heparin plasma.

作者信息

Ostlund-Lindqvist A M

出版信息

Biochem J. 1979 Jun 1;179(3):555-9. doi: 10.1042/bj1790555.

Abstract

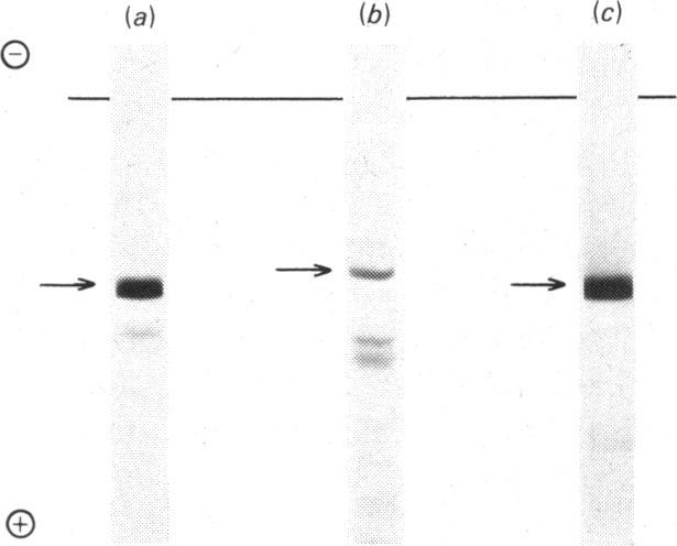
Lipoprotein lipase and salt-resistant lipase were isolated from human post-heparin plasma. The proteins of human post-plasma lipoprotein lipase and salt-resistant lipase were identified and demonstrated to be immunologically different. Significant differences between the two enzymes in their relative amino acid composition were demonstrated, which indicates that the two enzymes are different proteins. When analysed by sodium dodecyl sulphate/polyacrylamide-gel electrophoresis, the enzymes seemed to have monomer molecular weights similar to that of lipoprotein lipase purified from bovine milk.

摘要

脂蛋白脂肪酶和耐盐脂肪酶是从人肝素后血浆中分离出来的。人血浆后脂蛋白脂肪酶和耐盐脂肪酶的蛋白质得到了鉴定,并证明在免疫学上是不同的。这两种酶在相对氨基酸组成上存在显著差异,这表明这两种酶是不同的蛋白质。当通过十二烷基硫酸钠/聚丙烯酰胺凝胶电泳进行分析时,这两种酶的单体分子量似乎与从牛乳中纯化的脂蛋白脂肪酶相似。

https://cdn.ncbi.nlm.nih.gov/pmc/blobs/b038/1186663/6b42bb20bbc2/biochemj00463-0109-a.jpg

文献AI研究员

20分钟写一篇综述,助力文献阅读效率提升50倍。

立即体验

用中文搜PubMed

大模型驱动的PubMed中文搜索引擎

马上搜索

文档翻译

学术文献翻译模型,支持多种主流文档格式。

立即体验