Suppr超能文献

半胱氨酸诱变揭示了IIa型钠/磷酸盐共转运蛋白预测的第三个细胞外环内的新结构-功能特征。

Cysteine mutagenesis reveals novel structure-function features within the predicted third extracellular loop of the type IIa Na(+)/P(i) cotransporter.

作者信息

Lambert G, Forster I C, Stange G, Köhler K, Biber J, Murer H

机构信息

the Institute for Physiology, University of Zürich, CH-8057, Zürich, Switzerland.

出版信息

J Gen Physiol. 2001 Jun;117(6):533-46. doi: 10.1085/jgp.117.6.533.

Abstract

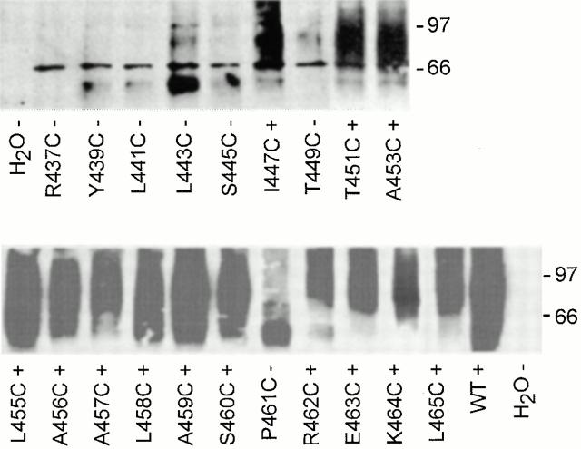
The transport function of the rat type IIa Na(+)/P(i) cotransporter is inhibited after binding the cysteine modifying reagent 2-aminoethyl methanethiosulfonate hydrobromide (MTSEA) to a cysteine residue substituted for a serine at position 460 (S460C) in the predicted third extracellular loop. This suggests that Ser-460 lies in a functionally important region of the protein. To establish a "structure-function" profile for the regions that flank Ser-460, the substituted cysteine accessibility method was employed. 18 mutants were constructed in which selected amino acids from Arg-437 through Leu-465 were substituted one by one for a cysteine. Mutants were expressed in Xenopus oocytes and transport function (cotransport and slippage) and kinetics were assayed by electrophysiology with or without prior treatment with cysteine modifying (methanethiosulfonate, MTS) reagents. Except for mutant I447C, mutants with cysteines at sites from Arg-437 through Thr-449, as well as Pro-461, were inactive. Cotransport function of mutants with Cys substitutions at sites Arg-462 through Leu-465 showed low sensitivity to MTS reagents. The preceding mutants (Cys substitution at Thr-451 to Ser-460) showed a periodic accessibility pattern that would be expected for an alpha-helix motif. Apart from loss of transport function, exposure of mutants A453C and A455C to MTSEA or 2-(triethylammonium)ethyl MTS bromide (MTSET) increased the uncoupled slippage current, which implicated the mutated sites in the leak pathway. Mutants from Ala-453 through Ala-459 showed less pH dependency, but generally stronger voltage dependency compared with the wild type, whereas those flanking this group were more sensitive to pH and showed weaker voltage dependence of cotransport mode kinetics. Our data indicate that parts of the third extracellular loop are involved in the translocation of the fully loaded carrier and show a membrane-associated alpha-helical structure.

摘要

大鼠IIa型Na(+)/P(i)共转运体的转运功能在半胱氨酸修饰试剂氢溴酸2-氨基乙硫代磺酸甲酯(MTSEA)与预测的第三个细胞外环中第460位丝氨酸被半胱氨酸取代的半胱氨酸残基结合后受到抑制。这表明Ser-460位于该蛋白质的一个功能重要区域。为了建立Ser-460两侧区域的“结构-功能”图谱,采用了取代半胱氨酸可及性方法。构建了18个突变体,其中从Arg-437到Leu-465的选定氨基酸逐个被半胱氨酸取代。突变体在非洲爪蟾卵母细胞中表达,通过电生理学测定转运功能(共转运和滑移)和动力学,无论是否事先用半胱氨酸修饰(甲硫代磺酸酯,MTS)试剂处理。除了突变体I447C外,在Arg-437到Thr-449以及Pro-461位点带有半胱氨酸的突变体均无活性。在Arg-462到Leu-465位点进行半胱氨酸取代的突变体的共转运功能对MTS试剂表现出低敏感性。前面的突变体(在Thr-451到Ser-460位点进行半胱氨酸取代)显示出α-螺旋基序预期的周期性可及性模式。除了转运功能丧失外,突变体A453C和A455C暴露于MTSEA或2-(三乙铵)乙硫代磺酸甲酯溴化物(MTSET)会增加未偶联的滑移电流,这表明突变位点参与了泄漏途径。与野生型相比,从Ala-453到Ala-459的突变体表现出较低的pH依赖性,但通常具有更强的电压依赖性,而该组两侧的突变体对pH更敏感,并且共转运模式动力学的电压依赖性较弱。我们的数据表明,第三个细胞外环的部分区域参与了满载载体的转运,并呈现出与膜相关的α-螺旋结构。

https://cdn.ncbi.nlm.nih.gov/pmc/blobs/20de/2232404/9225b26015ff/JGP8362.f1.jpg

文献AI研究员

20分钟写一篇综述,助力文献阅读效率提升50倍。

立即体验

用中文搜PubMed

大模型驱动的PubMed中文搜索引擎

马上搜索

文档翻译

学术文献翻译模型,支持多种主流文档格式。

立即体验