Yang P S, Lee K S, Lee S J, Kim T S, Choo I W, Shim Y M, Kim K, Kim Y
Department of Radiology, Samsung Medical Center, Sungkyunkwan University School of Medicine, Seoul, Korea.
Korean J Radiol. 2001 Jul-Sep;2(3):132-7. doi: 10.3348/kjr.2001.2.3.132.
The aim of our study was to describe and compare the radiologic findings of esophageal leiomyomas.
The chest radiographic (n = 12), esophagographic (n = 12), CT (n = 12), and MR (n = 1) findings of surgically proven esophageal leiomyomas in 12 consecutive patients [ten men and two women aged 34 - 47 (mean, 39) years] were retrospectively reviewed.
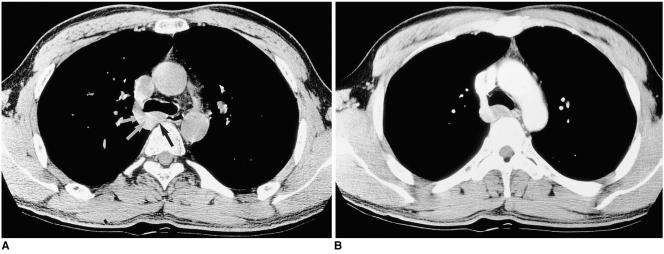
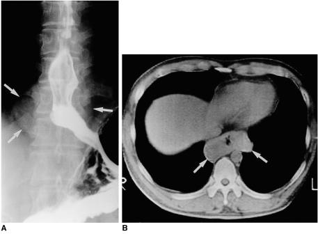
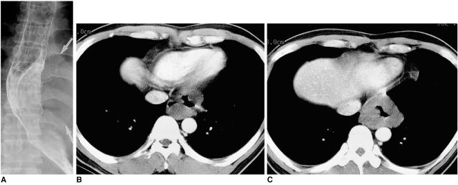
The tumors, surgical specimens of which ranged from 9 to 90 mm in diameter, were located in the upper (n = 1), middle (n = 5), or lower esophagus (n = 6). In ten of the 12 patients, chest radiography revealed the tumors as mediastinal masses. Esophagography showed them as eccentric, smoothly elevated filling defects in 11 patients and a multilobulated encircling filling defect in one. In 11 of the 12 patients, enhanced CT scans revealed a smooth (n = 9) or lobulated (n = 2) tumor margin, and attenuation was homogeneously low (n = 7) or iso (n = 4). In one patient, the tumor signal seen on T2-weighted MR images was slightly high.
Esophageal leiomyomas, located mainly in the middle or distal esophagus, are consistently shown by esophagography to be mainly eccentrically elevated filling defects and at CT, lesions showing homogeneous low or isoattenuation are demonstrated.
本研究旨在描述并比较食管平滑肌瘤的影像学表现。
回顾性分析12例经手术证实的食管平滑肌瘤患者(10例男性,2例女性,年龄34 - 47岁,平均39岁)的胸部X线(n = 12)、食管造影(n = 12)、CT(n = 12)及MR(n = 1)表现。
肿瘤直径9至90毫米,位于食管上段(n = 1)、中段(n = 5)或下段(n = 6)。12例患者中,10例胸部X线表现为纵隔肿块。食管造影显示,11例为偏心性、边缘光滑的充盈缺损,1例为分叶状环绕性充盈缺损。12例患者中,11例增强CT扫描显示肿瘤边缘光滑(n = 9)或呈分叶状(n = 2),密度均匀减低(n = 7)或等密度(n = 4)。1例患者T2加权MR图像上肿瘤信号略高。
食管平滑肌瘤主要位于食管中下段,食管造影表现主要为偏心性隆起的充盈缺损,CT表现为密度均匀减低或等密度的病变。