Suppr超能文献

脑内出血的扩散加权磁共振成像

Diffusion-weighted MR imaging of intracerebral hemorrhage.

作者信息

Kang B K, Na D G, Ryoo J W, Byun H S, Roh H G, Pyeun Y S

机构信息

Department of Diagnostic Radiology, Samsung Medical Center, Sungkyun-kwan University School of Medicine, Seoul, Korea.

出版信息

Korean J Radiol. 2001 Oct-Dec;2(4):183-91. doi: 10.3348/kjr.2001.2.4.183.

Abstract

OBJECTIVE

To document the signal characteristics of intracerebral hemorrhage (ICH) at evolving stages on diffusion-weighted images (DWI) by comparison with conventional MR images.

MATERIALS AND METHODS

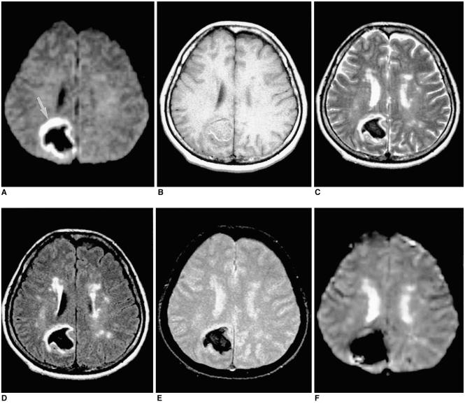
In our retrospective study, 38 patients with ICH underwent a set of imaging sequences that included DWI, T1-and T2-weighted imaging, and fluid-attenuated inversion recovery (FLAIR). In 33 and 10 patients, respectively, conventional and echo-planar T2* gradient-echo images were also obtained. According to the time interval between symptom onset and initial MRI, five stages were categorized: hyperacute (n=6); acute (n=7); early subacute (n=7); late subacute (n=10); and chronic (n=8). We investigated the signal intensity and apparent diffusion coefficient (ADC) of ICH and compared the signal intensities of hematomas at DWI and on conventional MR images.

RESULTS

DWI showed that hematomas were hyperintense at the hyperacute and late subacute stages, and hypointense at the acute, early subacute and chronic stages. Invariably, focal hypointensity was observed within a hyperacute hematoma. At the hyperacute, acute and early subacute stages, hyperintense rims that corresponded with edema surrounding the hematoma were present. The mean ADC ratio was 0.73 at the hyperacute stage, 0.72 at the acute stage, 0.70 at the early subacute stage, 0.72 at the late subacute stage, and 2.56 at the chronic stage.

CONCLUSION

DWI showed that the signal intensity of an ICH may be related to both its ADC value and the magnetic susceptibility effect. In patients with acute stroke, an understanding of the characteristic features of ICH seen at DWI can be helpful in both the characterization of intracranial hemorrhagic lesions and the differentiation of hemorrhage from ischemia.

摘要

目的

通过与传统磁共振成像(MRI)比较,记录脑内出血(ICH)在扩散加权成像(DWI)上不同演变阶段的信号特征。

材料与方法

在我们的回顾性研究中,38例ICH患者接受了一系列成像序列检查,包括DWI、T1加权成像、T2加权成像和液体衰减反转恢复(FLAIR)序列。分别有33例和10例患者还获得了传统的和回波平面T2*梯度回波图像。根据症状发作与首次MRI检查之间的时间间隔,分为五个阶段:超急性期(n = 6);急性期(n = 7);早期亚急性期(n = 7);晚期亚急性期(n = 10);慢性期(n = 8)。我们研究了ICH的信号强度和表观扩散系数(ADC),并比较了DWI和传统MRI图像上血肿的信号强度。

结果

DWI显示血肿在超急性期和晚期亚急性期呈高信号,在急性期、早期亚急性期和慢性期呈低信号。在超急性期血肿内总是可见局灶性低信号。在超急性期、急性期和早期亚急性期,可见与血肿周围水肿相对应的高信号边缘。超急性期平均ADC比值为0.73,急性期为0.72,早期亚急性期为0.70,晚期亚急性期为0.72,慢性期为2.56。

结论

DWI显示ICH的信号强度可能与其ADC值和磁化率效应有关。对于急性卒中患者,了解DWI上ICH的特征有助于颅内出血性病变的特征描述以及出血与缺血的鉴别。

https://cdn.ncbi.nlm.nih.gov/pmc/blobs/5664/2718119/90b156743ea7/kjr-2-183-g001.jpg

文献AI研究员

20分钟写一篇综述,助力文献阅读效率提升50倍。

立即体验

用中文搜PubMed

大模型驱动的PubMed中文搜索引擎

马上搜索

文档翻译

学术文献翻译模型,支持多种主流文档格式。

立即体验