Leppard K, Crawford L
Laboratory of Molecular Virology, Imperial Cancer Research Fund, London, UK.
EMBO J. 1983;2(9):1457-64. doi: 10.1002/j.1460-2075.1983.tb01608.x.
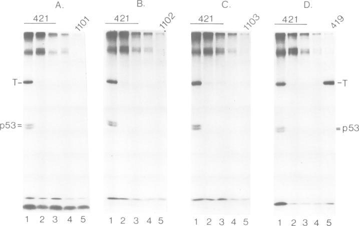
SV40 large T antigen associates with a cellular phosphoprotein, p53, in virus-transformed cells. We have raised three new monoclonal antibodies, PAb1101, PAb1102 and PAb1103, to this cellular protein, derived from SV40-transformed human fibroblasts. These define at least two non-overlapping determinants on human p53 that are in different areas of the molecule from those recognised by previously available antibodies. Unlike those antibodies, PAb1102 and PAb1103 do not react with rodent p53. PAb1101 reacts far more weakly with rodent p53 than with primate p53. All three antibodies show a preference for binding to the large T-associated form of p53, an effect that is particularly marked with PAb1102. The novel specificity of these antibodies allows further probing of the nature and function of the large T/p53 complex in human cells.
在病毒转化的细胞中,SV40大T抗原与一种细胞磷蛋白p53相关联。我们针对这种源自SV40转化的人成纤维细胞的细胞蛋白,制备了三种新的单克隆抗体,即PAb1101、PAb1102和PAb1103。这些抗体确定了人p53上至少两个不重叠的决定簇,它们位于分子中与先前可用抗体所识别的区域不同的部位。与那些抗体不同,PAb1102和PAb1103不与啮齿动物的p53发生反应。PAb1101与啮齿动物p53的反应比对灵长类p53的反应弱得多。所有这三种抗体都表现出优先结合大T相关形式的p53的倾向,这种效应在PAb1102中尤为明显。这些抗体的新特异性使得能够进一步探究人细胞中大T/p53复合物的性质和功能。