Suppr超能文献

哺乳动物核孔复合体的蛋白质组学分析。

Proteomic analysis of the mammalian nuclear pore complex.

作者信息

Cronshaw Janet M, Krutchinsky Andrew N, Zhang Wenzhu, Chait Brian T, Matunis Michael J

机构信息

Department of Biochemistry and Molecular Biology, Bloomberg School of Public Health, Johns Hopkins University, Baltimore, MD 21205, USA.

出版信息

J Cell Biol. 2002 Sep 2;158(5):915-27. doi: 10.1083/jcb.200206106. Epub 2002 Aug 26.

Abstract

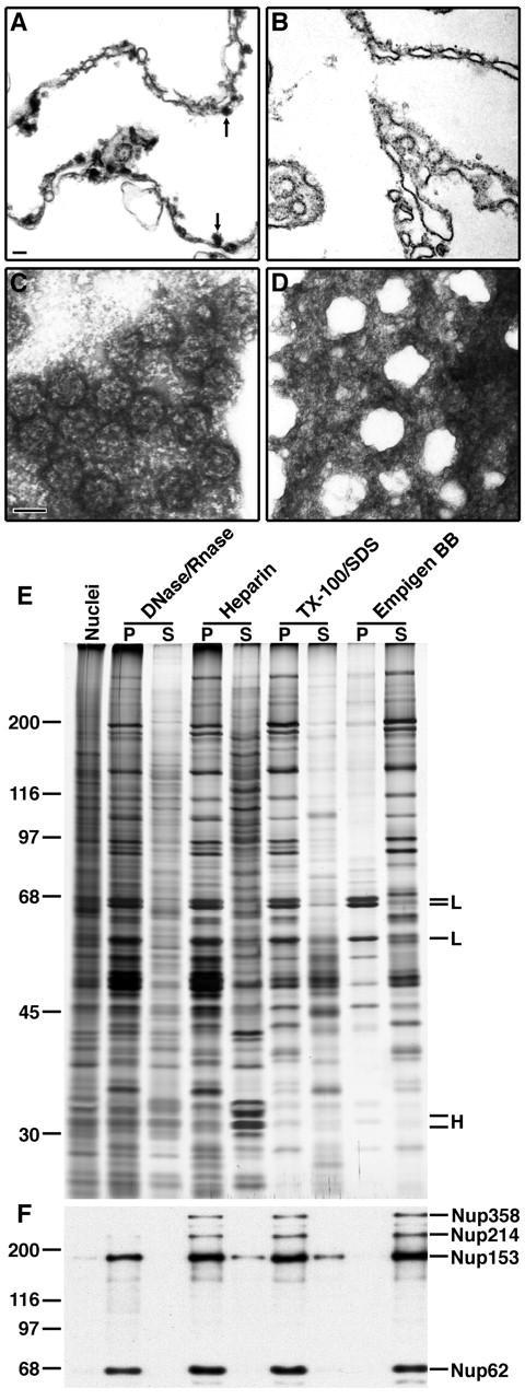
As the sole site of nucleocytoplasmic transport, the nuclear pore complex (NPC) has a vital cellular role. Nonetheless, much remains to be learned about many fundamental aspects of NPC function. To further understand the structure and function of the mammalian NPC, we have completed a proteomic analysis to identify and classify all of its protein components. We used mass spectrometry to identify all proteins present in a biochemically purified NPC fraction. Based on previous characterization, sequence homology, and subcellular localization, 29 of these proteins were classified as nucleoporins, and a further 18 were classified as NPC-associated proteins. Among the 29 nucleoporins were six previously undiscovered nucleoporins and a novel family of WD repeat nucleoporins. One of these WD repeat nucleoporins is ALADIN, the gene mutated in triple-A (or Allgrove) syndrome. Our analysis defines the proteome of the mammalian NPC for the first time and paves the way for a more detailed characterization of NPC structure and function.

摘要

作为核质运输的唯一通道,核孔复合体(NPC)在细胞中起着至关重要的作用。然而,关于NPC功能的许多基本方面仍有许多有待了解。为了进一步了解哺乳动物NPC的结构和功能,我们完成了一项蛋白质组学分析,以识别和分类其所有蛋白质成分。我们使用质谱法鉴定了生化纯化的NPC组分中存在的所有蛋白质。根据先前的特征、序列同源性和亚细胞定位,其中29种蛋白质被分类为核孔蛋白,另有18种被分类为NPC相关蛋白。在这29种核孔蛋白中,有6种是先前未发现的核孔蛋白和一个新的WD重复核孔蛋白家族。这些WD重复核孔蛋白之一是ALADIN,它是三A(或奥尔格罗夫)综合征中发生突变的基因。我们的分析首次定义了哺乳动物NPC的蛋白质组,为更详细地描述NPC的结构和功能铺平了道路。

https://cdn.ncbi.nlm.nih.gov/pmc/blobs/f4e0/2173148/5fe00d1f0359/200206106f1.jpg

文献检索

告别复杂PubMed语法,用中文像聊天一样搜索,搜遍4000万医学文献。AI智能推荐,让科研检索更轻松。

立即免费搜索

文件翻译

保留排版,准确专业,支持PDF/Word/PPT等文件格式,支持 12+语言互译。

免费翻译文档

深度研究

AI帮你快速写综述,25分钟生成高质量综述,智能提取关键信息,辅助科研写作。

立即免费体验