McDonald J, Murphy A V
Arch Dis Child. 1975 Dec;50(12):956-8. doi: 10.1136/adc.50.12.956.
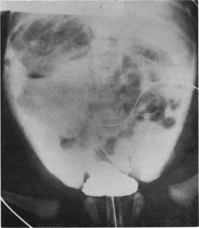
Two premature infants who presented with neonatal ascites due to apparent spontaneous rupture of the bladder are described. In both children the site of bladder rupture was clearly shown, but neither at time of presentation nor at subsequent review at age 7 years and 7 months, respectively, was any other renal tract abnormality detected.
本文描述了两名因膀胱明显自发性破裂而出现新生儿腹水的早产儿。在这两名儿童中,膀胱破裂部位均清晰可见,但在就诊时以及随后分别在7岁和7个月大时复查时,均未发现任何其他泌尿系统异常。