Murphy L C, Leygue E, Niu Y, Snell L, Ho S-M, Watson P H
Manitoba Institute of Cell Biology, University of Manitoba, Faculty of Medicine, Winnipeg, Manitoba, Canada, R3E OW3.
Br J Cancer. 2002 Dec 2;87(12):1411-6. doi: 10.1038/sj.bjc.6600654.
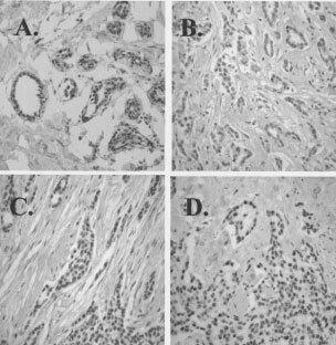
This study addresses the hypothesis that altered expression of oestrogen receptor-beta and/or altered relative expression of coactivators and corepressors of oestrogen receptors are associated with and may be mechanisms of de novo tamoxifen resistance in oestrogen receptor positive breast cancer. All cases were oestrogen receptor +, node negative, primary breast tumours from patients who later had no disease progression (tamoxifen sensitive) or whose disease progressed while on tamoxifen (tamoxifen resistant). Using an antibody to oestrogen receptor-beta that detects multiple forms of this protein (total) but not an antibody that detects only full-length oestrogen receptor-beta 1, it was found that high total oestrogen receptor beta protein expressors were more frequently observed in tamoxifen sensitive tumours than resistant tumours (Fisher's exact test, P=0.046). However, no significant differences in the relative expression of oestrogen receptor beta2, oestrogen receptor beta5 and full-length oestrogen receptor beta1 RNA in the tamoxifen sensitive and resistant groups were found. Also, when the relative expression of two known coactivators, steroid receptor RNA activator and amplified in breast cancer 1 RNA to the known corepressor, repressor of oestrogen receptor activity RNA, was examined, no significant differences between the tamoxifen sensitive and resistant groups were found. Altogether, there is little evidence for altered coregulators expression in breast tumours that are de novo tamoxifen resistant. However, our data provide preliminary evidence that the expression of oestrogen receptor beta protein isoforms may differ in primary tumours of breast cancer patients who prove to have differential sensitivity to tamoxifen therapy.
雌激素受体-β表达改变和/或雌激素受体共激活因子与共抑制因子的相对表达改变与雌激素受体阳性乳腺癌的原发性他莫昔芬耐药相关,且可能是其机制。所有病例均为雌激素受体阳性、无淋巴结转移的原发性乳腺肿瘤,患者随后未出现疾病进展(他莫昔芬敏感)或在服用他莫昔芬期间疾病进展(他莫昔芬耐药)。使用一种能检测该蛋白多种形式(总量)的雌激素受体-β抗体,而非仅能检测全长雌激素受体-β1的抗体,发现他莫昔芬敏感肿瘤中高总雌激素受体β蛋白表达者比耐药肿瘤更常见(Fisher精确检验,P = 0.046)。然而,在他莫昔芬敏感组和耐药组中,雌激素受体β2、雌激素受体β5和全长雌激素受体β1 RNA的相对表达无显著差异。此外,当检测两种已知共激活因子,即类固醇受体RNA激活剂和乳腺癌中扩增1 RNA与已知共抑制因子雌激素受体活性抑制RNA的相对表达时,他莫昔芬敏感组和耐药组之间也未发现显著差异。总体而言,几乎没有证据表明原发性他莫昔芬耐药的乳腺肿瘤中辅调节因子表达改变。然而,我们的数据提供了初步证据,表明雌激素受体β蛋白异构体的表达在对他莫昔芬治疗有不同敏感性的乳腺癌患者的原发性肿瘤中可能存在差异。