Suppr超能文献

大鼠肋软骨连接处肋骨的生长

Growth of the ribs at the costochondral junction in the rat.

作者信息

Peltomäki T, Häkkinen L

机构信息

Institute of Dentistry, University of Turku, Finland.

出版信息

J Anat. 1992 Oct;181 ( Pt 2)(Pt 2):259-64.

Abstract

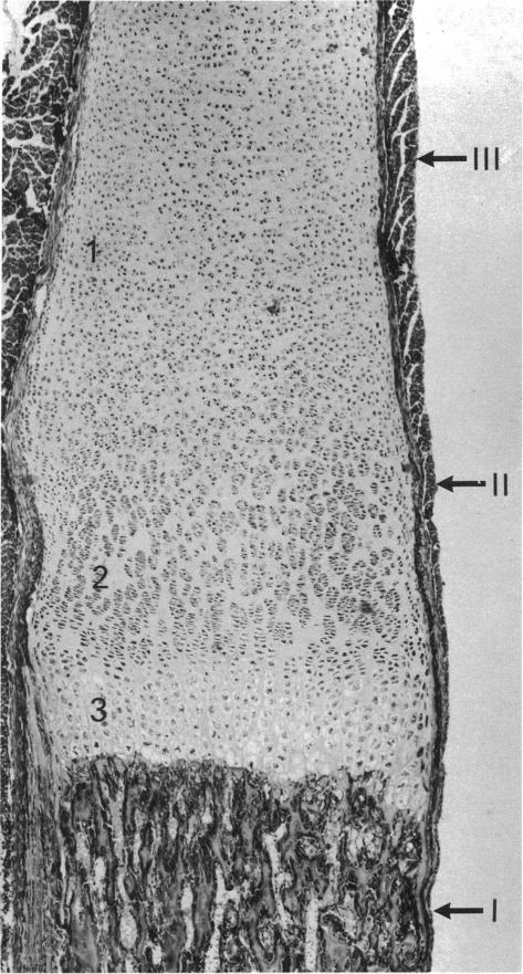
The in situ growth of the ribs at the costochondral junction was examined by 2 methods. In the first, 3 threads were tied around the 5th, 6th or 7th ribs of 20-d-old rats. The first thread was located around the bony part of the rib close to the costochondral junction, the second around the cartilaginous part the same distance away from the junction, and the third also around the cartilaginous part but further away. The distances between the threads were measured at 20 and 40 d and were found to have increased considerably. In the second part, an immunohistochemical method using bromodeoxyuridine was employed to detect proliferating cells at the costochondral junction. The most active cell proliferation was observed in the proliferative zone, but mitoses were also noticed in the germinative zone. The results provide further evidence that the growth potential of costochondral grafts used in reconstructive surgery is related to the length of their cartilaginous portion.

摘要

采用两种方法研究了肋软骨结合处肋骨的原位生长情况。第一种方法是,在20日龄大鼠的第5、6或7肋周围系3根线。第一根线位于靠近肋软骨结合处的肋骨骨质部分周围,第二根线位于距结合处相同距离的软骨部分周围,第三根线同样位于软骨部分周围但距离更远。在20天和40天时测量线之间的距离,发现其显著增加。在第二部分中,采用使用溴脱氧尿苷的免疫组织化学方法检测肋软骨结合处的增殖细胞。在增殖区观察到最活跃的细胞增殖,但在生发区也注意到有丝分裂。结果进一步证明,重建手术中使用的肋软骨移植物的生长潜力与其软骨部分的长度有关。

https://cdn.ncbi.nlm.nih.gov/pmc/blobs/256f/1259721/94b9db4c6cfb/janat00148-0078-a.jpg

文献检索

告别复杂PubMed语法,用中文像聊天一样搜索,搜遍4000万医学文献。AI智能推荐,让科研检索更轻松。

立即免费搜索

文件翻译

保留排版,准确专业,支持PDF/Word/PPT等文件格式,支持 12+语言互译。

免费翻译文档

深度研究

AI帮你快速写综述,25分钟生成高质量综述,智能提取关键信息,辅助科研写作。

立即免费体验