Suppr超能文献

相似文献

1
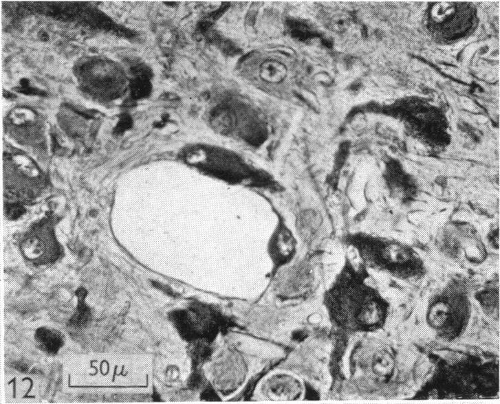
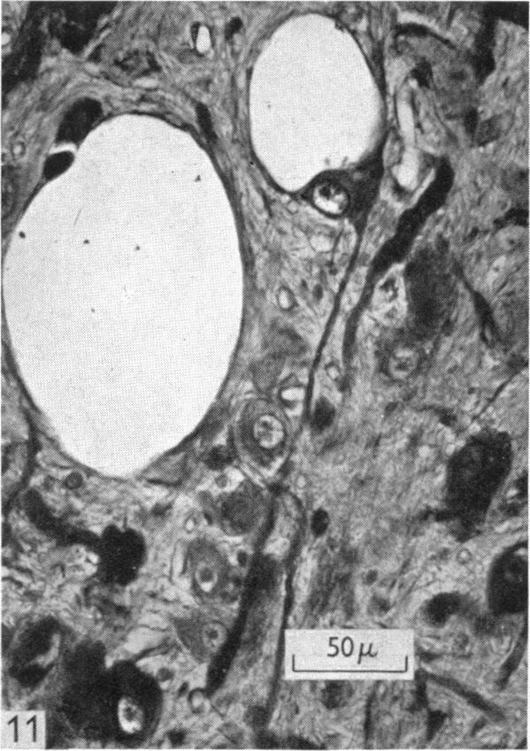
The occurrence of vesiculated neurones in the hypothalamus of the dog.
J Physiol. 1953 Jul;121(1):167-81. doi: 10.1113/jphysiol.1953.sp004938.
2
[Intracellular neurofibrils in ganglion cells of the nucleus supraopticus in man and dog].
Acta Neuroveg (Wien). 1954;8(4):437-45. doi: 10.1007/BF01227028.
3
Secretory granules and Nissl substance in fresh supraoptic neurones of the rabbit.
Anat Rec. 1953 Jul;116(3):301-13. doi: 10.1002/ar.1091160307.
4
Studies on vesiculated and non-vesiculated hypothalamic neurosecretory cells in the dog.
Experientia. 1972 May 15;28(5):578-9. doi: 10.1007/BF01931888.
8
On the presence of neurons with granulated vesicles in the median eminence of rat and dog.
Neuroendocrinology. 1968;3(3):141-55. doi: 10.1159/000121704.
9
[Cytology of the nervous cells of the hypothalamus].
Acta Anat (Basel). 1953;18(1):74-9.

本文引用的文献

1
Experiments on the hypothalamic-pituitary control of water excretion in dogs.
J Physiol. 1945 Oct 15;104(2):105-28. doi: 10.1113/jphysiol.1945.sp004110.
3
The normal interphase in the polyuria which follows section of the supraoptico-hypophysial tracts in the dog.
Q J Exp Physiol Cogn Med Sci. 1952;37(1):1-10. doi: 10.1113/expphysiol.1952.sp000976.

文献AI研究员

20分钟写一篇综述,助力文献阅读效率提升50倍。

立即体验

用中文搜PubMed

大模型驱动的PubMed中文搜索引擎

马上搜索

文档翻译

学术文献翻译模型,支持多种主流文档格式。

立即体验