Charuk J H, Guerin C, Holland P C
Department of Neurology and Neurosurgery, Montreal Neurological Institute, Quebec, Canada.
Biochem J. 1992 Mar 1;282 ( Pt 2)(Pt 2):399-407. doi: 10.1042/bj2820399.
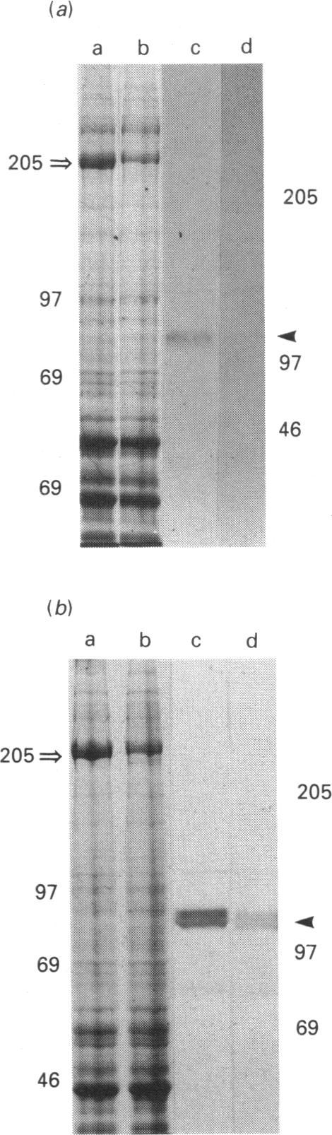
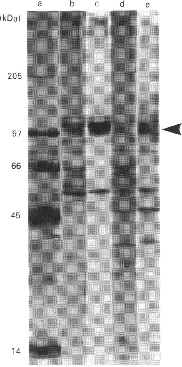
We have previously shown that inhibition of the spontaneous contractile activity of cultured embryonic-chick skeletal-muscle fibres with tetrodotoxin (TTX) leads to decreased sarcoplasmic-reticulum Ca(2+)-transport rates and steady-state concentrations of the high-energy Ca(2+)-ATPase phosphoenzyme intermediate [Charuk & Holland (1983) Exp. Cell Res. 144, 143-157]. In the present study we used a monoclonal antibody to the Ca(2+)-ATPase to show that there is a decreased amount of enzyme accumulated by contraction-inhibited myotubes. Indirect immunofluorescence microscopy using the monoclonal antibody to the Ca(2+)-ATPase also revealed a disordered subcellular organization of the sarcotubular system in contraction-inhibited myotubes. The biogenesis of sarcoplasmic-reticulum proteins in TTX-paralysed myofibres was studied by labelling cells with [35S]methionine before isolation of the active Ca(2+)-pump membrane fraction. Protein turnover was selectively increased in that fraction from TTX-treated muscle cultures. Electrophoretic analysis and quantitative fluorography confirmed that decreased accumulation of the Ca(2+)-ATPase enzyme in contraction-inhibited myotubes was associated with increased turnover of this protein. The present results demonstrate that biogenesis of the sarcoplasmic-reticulum Ca(2+)-ATPase is regulated by the contractile activity of skeletal-muscle fibres.
我们之前已经表明,用河豚毒素(TTX)抑制培养的胚胎鸡骨骼肌纤维的自发收缩活性会导致肌浆网Ca(2+)转运速率降低以及高能Ca(2+)-ATP酶磷酸化酶中间体的稳态浓度降低[查鲁克和霍兰德(1983年)《实验细胞研究》144, 143 - 157]。在本研究中,我们使用针对Ca(2+)-ATP酶的单克隆抗体来表明,收缩受抑制的肌管积累的酶量减少。使用针对Ca(2+)-ATP酶的单克隆抗体进行间接免疫荧光显微镜检查还揭示了收缩受抑制的肌管中肌管系统的亚细胞组织紊乱。在用[35S]甲硫氨酸标记细胞后,在分离活性Ca(2+)泵膜部分之前,研究了TTX麻痹的肌纤维中肌浆网蛋白的生物合成。来自TTX处理的肌肉培养物的该部分中蛋白质周转选择性增加。电泳分析和定量荧光自显影证实,收缩受抑制的肌管中Ca(2+)-ATP酶的积累减少与该蛋白的周转增加有关。目前的结果表明,肌浆网Ca(2+)-ATP酶的生物合成受骨骼肌纤维收缩活性的调节。