Suppr超能文献

甲型肝炎病毒3C蛋白酶在大肠杆菌中克隆表达后对多聚蛋白进行顺式和反式加工。

Polyprotein processing in cis and in trans by hepatitis A virus 3C protease cloned and expressed in Escherichia coli.

作者信息

Harmon S A, Updike W, Jia X Y, Summers D F, Ehrenfeld E

机构信息

Department of Cellular, Viral, and Molecular Biology, University of Utah, School of Medicine, Salt Lake City 84132.

出版信息

J Virol. 1992 Sep;66(9):5242-7. doi: 10.1128/JVI.66.9.5242-5247.1992.

Abstract

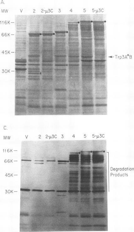
To determine the P3 region protein-processing sites cleaved by the hepatitis A virus 3C protease, a nested set of constructs containing a portion of 3A (3A* [the asterisk denotes an incomplete protein]), 3B and 3C and various amounts of 3D, fused in frame to Escherichia coli TrpE-coding sequences under control of the tryptophan promoter, was made. Additional plasmids that encoded a portion of 2C (2C*) and the P3 proteins, including complete or incomplete 3D sequences, were constructed. After induction, E. coli containing these recombinant plasmids produced high levels of fusion proteins as insoluble aggregates. 3C-mediated cleavage products were identified by comparison of expression with a matching set of plasmids, containing an engineered mutation in 3C. Cleavage products were detected by immunoblot analyses by using antisera against the TrpE protein, against 3D*, and against 3CD*. Scissile bonds were determined by N-terminal amino acid sequencing of the proteins formed by cleavage. The results showed that when a portion of 2C was present, the primary cleavage by the 3C protease was between 2C and 3A, and the cleavage site was QG, as predicted by J. I. Cohen, J. R. Ticehurst, R. H. Purcell, A. Buckler-White, and B. M. Baroudy, J. Virol. 61:50-59, 1987. Very little further cleavage of the released P3 protein was detected. When the fusion protein contained no 2C and included only 3A*-to-3D sequences, efficient cleavage occurred between 3B and 3C, at the QS pair, also as predicted by Cohen et al. (J. Virol. 61:50-59, 1987). The latter proteins were also cleaved between 3C and 3D, but less efficiently than between 3B and 3C. Extracts of bacteria expressing proteins from 3A* to 3D also cleaved a radiolabelled hepatitis A virus substrate containing VP12ABC sequences in trans.

摘要

为确定甲型肝炎病毒3C蛋白酶切割的P3区域蛋白加工位点,构建了一套嵌套的构建体,其包含部分3A(3A*[星号表示不完整蛋白])、3B和3C以及不同量的3D,与大肠杆菌色氨酸启动子控制下的色氨酸E编码序列框内融合。构建了另外一些编码部分2C(2C*)和P3蛋白的质粒,包括完整或不完整的3D序列。诱导后,含有这些重组质粒的大肠杆菌产生高水平的融合蛋白,以不溶性聚集体形式存在。通过与一组在3C中含有工程突变的匹配质粒的表达进行比较,鉴定出3C介导的切割产物。使用针对色氨酸E蛋白、3D和3CD的抗血清,通过免疫印迹分析检测切割产物。通过对切割形成的蛋白进行N端氨基酸测序确定可切割键。结果表明,当存在部分2C时,3C蛋白酶的主要切割发生在2C和3A之间,切割位点为QG,正如J.I.科恩、J.R.蒂瑟赫斯特、R.H.珀塞尔、A.巴克勒-怀特和B.M.巴鲁迪在《病毒学杂志》1987年第61卷第50 - 59页所预测的那样。未检测到释放的P3蛋白有进一步的切割。当融合蛋白不含2C且仅包含3A至3D序列时,在3B和3C之间、QS对处发生有效切割,同样如科恩等人(《病毒学杂志》1987年第61卷第50 - 59页)所预测的那样。后一种蛋白在3C和3D之间也被切割,但效率低于在3B和3C之间的切割。表达从3A到3D蛋白的细菌提取物也能反式切割含有VP12ABC序列的放射性标记甲型肝炎病毒底物。

https://cdn.ncbi.nlm.nih.gov/pmc/blobs/fcb4/289077/0c385aabcdce/jvirol00167-0079-a.jpg

文献AI研究员

20分钟写一篇综述,助力文献阅读效率提升50倍。

立即体验

用中文搜PubMed

大模型驱动的PubMed中文搜索引擎

马上搜索

文档翻译

学术文献翻译模型,支持多种主流文档格式。

立即体验