Suppr超能文献

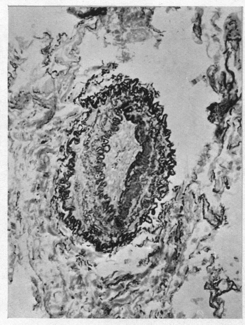
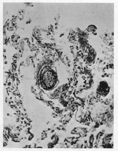
Eisenmenger's complex.

作者信息

BROWN J W, HEATH D, WHITAKER W

出版信息

Br Heart J. 1955 Jul;17(3):273-84. doi: 10.1136/hrt.17.3.273.

Abstract
摘要
https://cdn.ncbi.nlm.nih.gov/pmc/blobs/c0f4/479556/5b9da629289a/brheartj00389-0002-a.jpg

相似文献

1
Eisenmenger's complex.
Br Heart J. 1955 Jul;17(3):273-84. doi: 10.1136/hrt.17.3.273.
2
EISENMENGER'S complex.
Am Pract Dig Treat. 1953 May;4(5):345-7.
3
[Eisenmenger's complex; presentation of a case].
Arch Med Infant. 1952 Jul-Sep;21(3):187-203.
4
Eisenmenger's complex; a clinical and pathologic study of four cases.
Am Heart J. 1956 Feb;51(2):284-97. doi: 10.1016/0002-8703(56)90088-6.
6
Eisenmenger's complex: report of two cases and review of cases with autopsy study.
Am Heart J. 1951 Sep;42(3):424-35. doi: 10.1016/0002-8703(51)90137-8.
7
Pulmonary vascular changes in Eisenmenger's complex.
J Pathol Bacteriol. 1959 Jan;77(1):141-7. doi: 10.1002/path.1700770115.
10
Absent left pulmonary artery and right-sided aortic arch in Eisenmenger's complex.
Thorax. 1958 Dec;13(4):272-6. doi: 10.1136/thx.13.4.272.

引用本文的文献

1
Pulmonary hypertension in congenital heart disease.
Br Heart J. 1958 Oct;20(4):529-51. doi: 10.1136/hrt.20.4.529.
2
The small pulmonary blood vessels in atrial septal defect.
Br Heart J. 1957 Jul;19(3):327-32. doi: 10.1136/hrt.19.3.327.
3
Diffuse progressive interstitial fibrosis of the lungs in childhood.
Arch Dis Child. 1957 Jun;32(163):199-207. doi: 10.1136/adc.32.163.199.
4
Influence of acetylcholine on the pulmonary arterial pressure.
Br Heart J. 1957 Apr;19(2):272-8. doi: 10.1136/hrt.19.2.272.
5
Idiopathic pulmonary hypertension.
Br Heart J. 1957 Jan;19(1):83-92. doi: 10.1136/hrt.19.1.83.
6
Tricuspid atresia.
Br Heart J. 1956 Oct;18(4):499-518. doi: 10.1136/hrt.18.4.499.
7
Muscular defects in the ventricular septum.
Br Heart J. 1956 Jan;18(1):1-7. doi: 10.1136/hrt.18.1.1.
8
The initiation of an interest in the pulmonary circulation.
Thorax. 1994;49 Suppl(Suppl):S2-4. doi: 10.1136/thx.49.suppl.s2.
9
Exploration of the pulmonary circulation. Festschrift to Professor Donald Heath.
Thorax. 1994;49 Suppl(Suppl):S1-62. doi: 10.1136/thx.49.suppl.s1.
10
Radio-iodine in treatment of congenital heart disease with severe pulmonary hypertension.
Br Heart J. 1967 Nov;29(6):838-42. doi: 10.1136/hrt.29.6.838.

本文引用的文献

2
EISENMENGER'S COMPLEX.
Br Heart J. 1943 Jul;5(3):147-51. doi: 10.1136/hrt.5.3.147.
4
Visible pulsation in relation to blood flow and pressure in the pulmonary artery.
Br Heart J. 1951 Oct;13(4):438-56. doi: 10.1136/hrt.13.4.438.
5
Eisenmenger's complex: report of two cases and review of cases with autopsy study.
Am Heart J. 1951 Sep;42(3):424-35. doi: 10.1016/0002-8703(51)90137-8.
9
Patent ductus arteriosus with pulmonary hypertension.
Br Heart J. 1955 Apr;17(2):121-37. doi: 10.1136/hrt.17.2.121.

文献AI研究员

20分钟写一篇综述,助力文献阅读效率提升50倍。

立即体验

用中文搜PubMed

大模型驱动的PubMed中文搜索引擎

马上搜索

文档翻译

学术文献翻译模型,支持多种主流文档格式。

立即体验