Suppr超能文献

Solitary pulmonary hypertension.

作者信息

BEDFORD D E, EVANS W, SHORT D S

出版信息

Br Heart J. 1957 Jan;19(1):93-116. doi: 10.1136/hrt.19.1.93.

Abstract
摘要
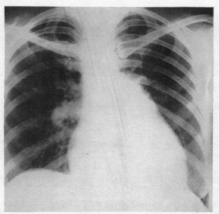
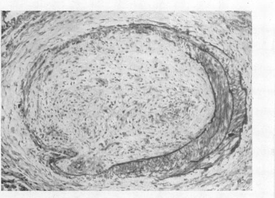
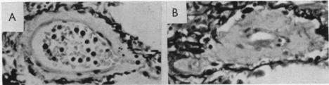
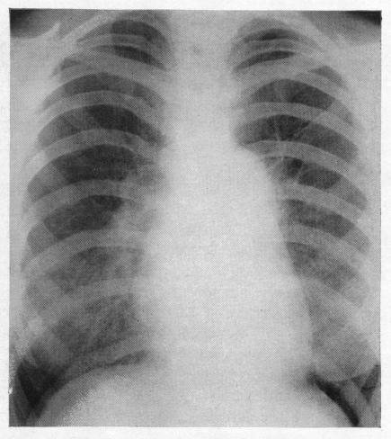
https://cdn.ncbi.nlm.nih.gov/pmc/blobs/2d85/503367/988a187c5e80/brheartj00379-0101-a.jpg

文献AI研究员

20分钟写一篇综述,助力文献阅读效率提升50倍。

立即体验

用中文搜PubMed

大模型驱动的PubMed中文搜索引擎

马上搜索

文档翻译

学术文献翻译模型,支持多种主流文档格式。

立即体验