Suppr超能文献

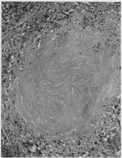
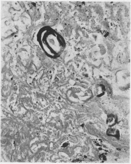
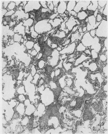
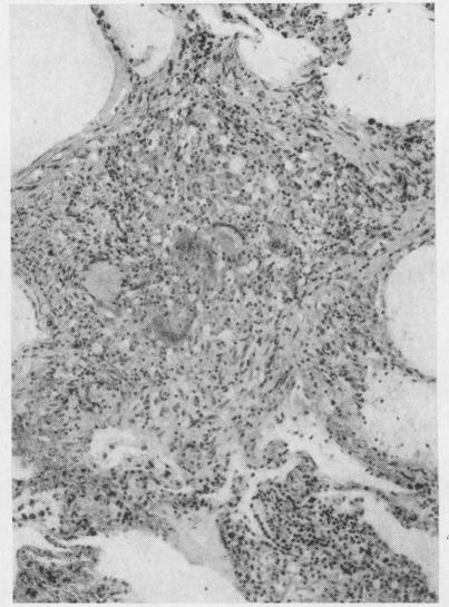
A histological study of the lungs in 52 cases of chronic beryllium disease.

作者信息

WILLIAMS W J

出版信息

Br J Ind Med. 1958 Apr;15(2):84-91. doi: 10.1136/oem.15.2.84.

Abstract
摘要
https://cdn.ncbi.nlm.nih.gov/pmc/blobs/f8bf/1037835/dce6728439c4/brjindmed00214-0013-a.jpg

文献AI研究员

20分钟写一篇综述,助力文献阅读效率提升50倍。

立即体验

用中文搜PubMed

大模型驱动的PubMed中文搜索引擎

马上搜索

文档翻译

学术文献翻译模型,支持多种主流文档格式。

立即体验