Suppr超能文献

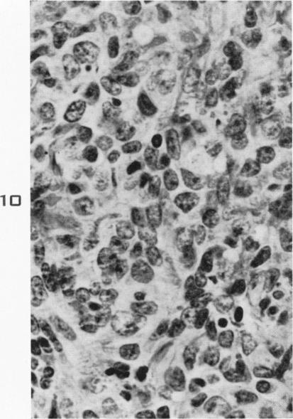
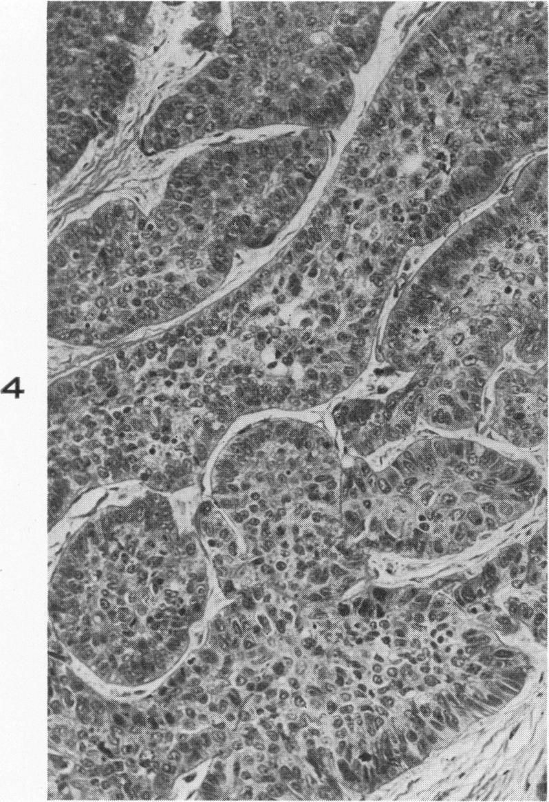
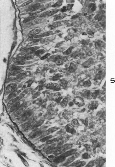
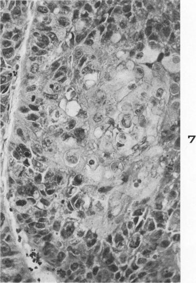
Muco-epidermoid tumors of the bronchus arising from surface epithelium.

作者信息

SNIFFEN R C, SOUTTER L, ROBBINS L L

出版信息

Am J Pathol. 1958 Jul-Aug;34(4):671-83.

Abstract
摘要
https://cdn.ncbi.nlm.nih.gov/pmc/blobs/5b5a/1934780/5a48d1887eb5/amjpathol00582-0083-a.jpg

相似文献

引用本文的文献

1
THE HISTOLOGICAL CLASSIFICATION OF LOWER RESPIRATORY TRACT TUMOURS.
Br J Cancer. 1963 Jun;17(2):213-21. doi: 10.1038/bjc.1963.30.
2
Respiratory tract adenomas. A ten-year survey.
Ann Surg. 1961 Dec;154(6):898-902.
3
[On an unusual tumor of the bronchus].
Z Krebsforsch. 1968;70(4):320-4.
4
Peripheral mucoepidermoid tumour of the lung.
Thorax. 1991 Jan;46(1):65-6. doi: 10.1136/thx.46.1.65.

本文引用的文献

1
Muco-Epidermoid Tumors of Salivary Glands.
Ann Surg. 1945 Nov;122(5):820-44. doi: 10.1097/00000658-194511000-00005.
2
Tumors of the salivary glands; a clinicopathological study of 160 cases.
Cancer. 1950 May;3(3):445-58. doi: 10.1002/1097-0142(1950)3:3<445::aid-cncr2820030305>3.0.co;2-u.

文献AI研究员

20分钟写一篇综述,助力文献阅读效率提升50倍。

立即体验

用中文搜PubMed

大模型驱动的PubMed中文搜索引擎

马上搜索

文档翻译

学术文献翻译模型,支持多种主流文档格式。

立即体验