• 文献检索
  • 文档翻译
  • 深度研究
  • 学术资讯
  • Suppr Zotero 插件Zotero 插件
  • 邀请有礼
  • 套餐&价格
  • 历史记录
应用&插件
Suppr Zotero 插件Zotero 插件浏览器插件Mac 客户端Windows 客户端微信小程序
定价
高级版会员购买积分包购买API积分包
服务
文献检索文档翻译深度研究API 文档MCP 服务
关于我们
关于 Suppr公司介绍联系我们用户协议隐私条款
关注我们

Suppr 超能文献

核心技术专利:CN118964589B侵权必究
粤ICP备2023148730 号-1Suppr @ 2026

文献检索

告别复杂PubMed语法,用中文像聊天一样搜索,搜遍4000万医学文献。AI智能推荐,让科研检索更轻松。

立即免费搜索

文件翻译

保留排版,准确专业,支持PDF/Word/PPT等文件格式,支持 12+语言互译。

免费翻译文档

深度研究

AI帮你快速写综述,25分钟生成高质量综述,智能提取关键信息,辅助科研写作。

立即免费体验

间质性肺炎;一个病理学概念。

Interstitial pneumonia; a pathologic concept.

作者信息

WRIGHT R R

出版信息

Calif Med. 1959 Jan;90(1):14-6.

PMID:13618737
原文链接:https://pmc.ncbi.nlm.nih.gov/articles/PMC1577500/
Abstract

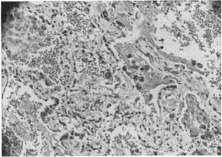
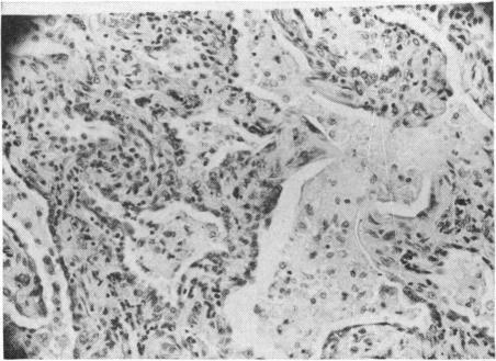
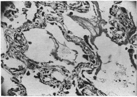
Interstitial pneumonias present a pulmonary inflammatory reaction pattern that is common to a wide variety of noxious agents and disease processes. These include viruses, Rickettsiae, hypersensitivity reactions, the "collagen disease," x-irradiation, uremia, certain chemicals, early histoplasmosis, toxoplasmosis and possibly unknown substances and diseases. Interstitial pneumonia is characterized histologically by interalveolar exudate, hyaline membranes, epithelialization of alveolar walls and lack of polymorphonuclear response. Histologic features that aid in differentiating among cases of varying etiology are few. It is postulated that the basic pathogenic mechanism of the interstitial inflammatory reaction is primary damage to pulmonary capillary endothelium that brings about increased capillary permeability.

摘要

间质性肺炎呈现出一种肺部炎症反应模式,这种模式在多种有害因子和疾病过程中很常见。这些包括病毒、立克次氏体、超敏反应、“胶原病”、X线照射、尿毒症、某些化学物质、早期组织胞浆菌病、弓形虫病以及可能的未知物质和疾病。间质性肺炎在组织学上的特征是肺泡内渗出、透明膜形成、肺泡壁上皮化以及缺乏多形核反应。有助于区分不同病因病例的组织学特征很少。据推测,间质性炎症反应的基本致病机制是肺毛细血管内皮的原发性损伤,这导致毛细血管通透性增加。

https://cdn.ncbi.nlm.nih.gov/pmc/blobs/68cf/1577500/293192aee745/califmed00109-0088-b.jpg
https://cdn.ncbi.nlm.nih.gov/pmc/blobs/68cf/1577500/86670c9ad5c1/califmed00109-0087-a.jpg
https://cdn.ncbi.nlm.nih.gov/pmc/blobs/68cf/1577500/b87c3e8ef5d5/califmed00109-0088-a.jpg
https://cdn.ncbi.nlm.nih.gov/pmc/blobs/68cf/1577500/293192aee745/califmed00109-0088-b.jpg
https://cdn.ncbi.nlm.nih.gov/pmc/blobs/68cf/1577500/86670c9ad5c1/califmed00109-0087-a.jpg
https://cdn.ncbi.nlm.nih.gov/pmc/blobs/68cf/1577500/b87c3e8ef5d5/califmed00109-0088-a.jpg
https://cdn.ncbi.nlm.nih.gov/pmc/blobs/68cf/1577500/293192aee745/califmed00109-0088-b.jpg

相似文献

1
Interstitial pneumonia; a pathologic concept.间质性肺炎;一个病理学概念。
Calif Med. 1959 Jan;90(1):14-6.
2
[On pathological anatomy of Pneumocystis carinii pneumonia associated with interstitial lymphplasmocytic pneumonia in young children and infants].[关于婴幼儿卡氏肺孢子虫肺炎合并间质性淋巴细胞-浆细胞性肺炎的病理解剖]
Pediatriia. 1959 Sep;37:25-30.
3
[On the problem of morphological changes in the lungs in Pneumocystis carinii pneumonia].
Pediatriia. 1959 Sep;37:31-2.
4
[Contribution to the pathogenesis of interstitial Pneumocystis pneumonias].[对间质性肺孢子菌肺炎发病机制的贡献]
Cesk Pediatr. 1960 Apr 5;15:303-13.
5
[Certain aspects of the initial stages of interstitial Pneumocystis pneumonias].间质性肺孢子菌肺炎初期的某些方面
Cesk Pediatr. 1960 Apr 5;15:314-9.
6
Pneumocystis carinii pneumonia.
Am J Roentgenol Radium Ther Nucl Med. 1961 Apr;85:706-13.
7
[Calcium metabolism disorders associated with interstitial Pneumocystis carinii pneumonia].
Arch Fr Pediatr. 1962 Dec;19:1377-87.
8
Interstitial plasma cellular pneumonia due to pneumocystis carinii.
Can Med Assoc J. 1957 Feb 15;76(4):299-302.
9
[On the problem of the histological demonstration of pneumocysts in interstitial pneumonia].[关于间质性肺炎中肺囊虫组织学显示的问题]
Monatsschr Kinderheilkd (1902). 1960 Mar;108:142-4.
10
Subclinical pneumocystis pneumonitis.亚临床型肺孢子菌肺炎
AMA J Dis Child. 1959 Mar;97(3):287-97. doi: 10.1001/archpedi.1959.02070010289005.

引用本文的文献

1
Organizing interstitial pneumonia. Definition of the lesion and attempts to devise an experimental model.机化性间质性肺炎。病变的定义及建立实验模型的尝试。
Yale J Biol Med. 1968 Apr-Jun;40(5-6):352-63.

本文引用的文献

1
Experiments with Jaagsiekte.绵羊肺腺瘤病实验。
Am J Pathol. 1946 Jul;22(4):737-59.
2
The "Masson Body" in Rheumatic Pneumonia.风湿性肺炎中的“马松小体”
Am J Pathol. 1945 Jul;21(4):741-51.
3
A Comparative Study of the Pathology of Scrub Typhus (Tsutsugamushi Disease) and Other Rickettsial Diseases.恙虫病(丛林斑疹伤寒)与其他立克次体病病理学的比较研究
Am J Pathol. 1945 Jul;21(4):603-81.
4
The Pulmonary Alveolar Lining under Various Pathologic Conditions in Man and Animals.人和动物在各种病理条件下的肺泡内衬
Am J Pathol. 1943 Nov;19(6):913-37.
5
The pneumonitis and granulomatosis peculiar to beryllium workers.铍作业工人特有的肺炎和肉芽肿病。
Am J Pathol. 1948 Nov;24(6):1137-65.
6
Poisoning due to petroleum products.石油产品中毒
Arch Pediatr (N Y). 1955 Feb;72(2):35-50.
7
Uremic pneumonitis.尿毒症肺炎
Am J Pathol. 1955 Mar-Apr;31(2):261-73.
8
The Hamman-Rich syndrome: review of the literature and analysis of 15 cases.
Medicine (Baltimore). 1957 Dec;36(4):397-463. doi: 10.1097/00005792-195712000-00001.
9
Pulmonary manifestations in the diffuse collagen diseases.弥漫性胶原病的肺部表现。
Thorax. 1954 Mar;9(1):46-57. doi: 10.1136/thx.9.1.46.